ВХОД ДЛЯ ПАЦИЕНТОВ
вверх
поиск
админ
главная
исходное
|
Re: Дистальный перелом бедра
послал Djoldas Kuldjanov 23 Сентябрь 2009, 22:41
|
>Пациент - доктор хотелось бы помочь по максимуму.
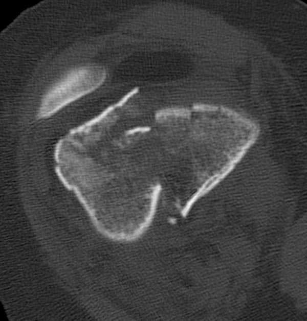
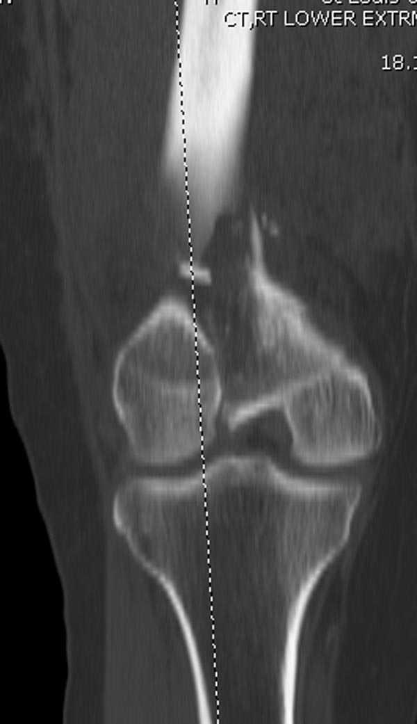
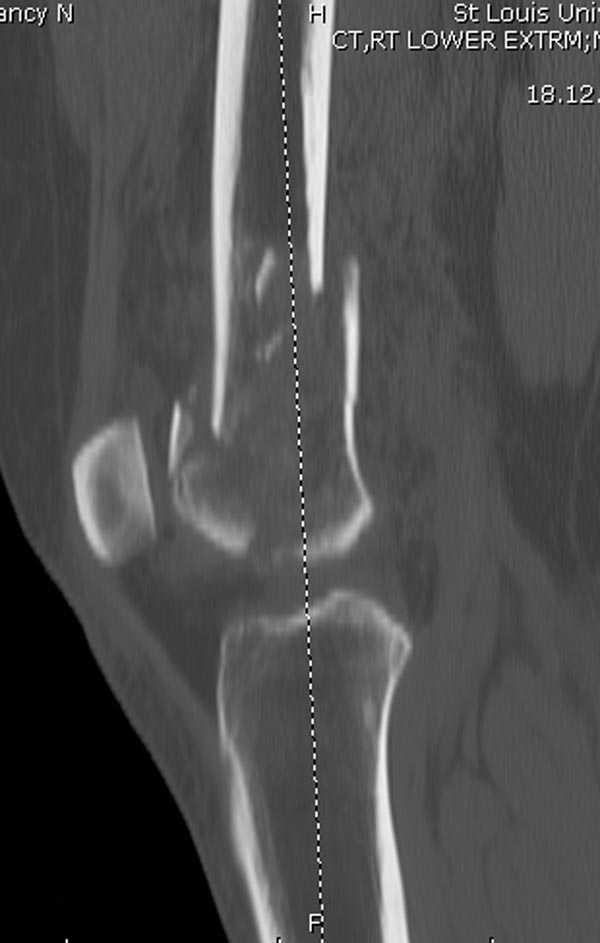
Бесспорно, предлагаемый ретроградный метод имеет свои преимущества, но имеется опасность при манипуляции интрамедуллярным гвоздем расколоть мыщелки.
Раскол можно предупредить шурупами, но короткий дистальный фрагмент навряд ли позволит добиться адекватной стабильности конструкции. Стандартные гвозди не рассчитаны для таких переломов, и если все таки желаете провести фиксацию гвоздем, тогда надо заказывать специальный custom made nail т.е. с расширенной возможностью дистальной блокировки.
Легко для Челнокова, который даже самые дистальные переломы бедра лечит антеградным путем, но такой опыт не у всех.
Без собственного опыта и по подсказке трудно в первый раз лечить такой сложный перелом, тем более, больной ваш коллега, требующий максимум внимания.
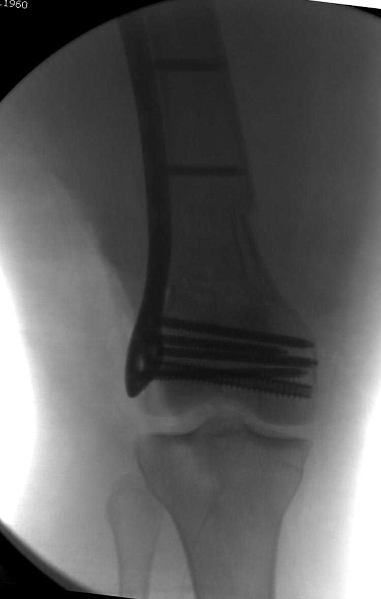
Почти все компании имеют пластины с угловой стабильностью, начиная от Stryker, Zimmer NCB и DePuy Polyaxial Plate . Если у NCB шуруп блокируется специальной шайбой, то Polyaxial Plate имеет вариабельный угол введения шурупов.
Поэтому такие меж и над- мыщелковые переломы более предпочтительным считается фиксировать мыщелковыми пластинами
Устанавливается из малого разреза "не вскрывая сустав" со стороны латерального мыщелка, и Insertion Jig позволяет установить пластину "мостовидно" перкутанно в проксимальном отделе, "не вскрывая и не трогая" место перелома.

Djoldas Kuldjanov, MD
Department of Orthopedic Surgery
St. Louis University Medical Center
|
| Послать ответ |
Обратите внимание: Поля с жирными названиями обязательны.
Старайтесь отвечать в рамках обсуждаемой темы, а не начинать новые обсуждения.
Указывайте адекватную тему сообщения, чтобы было ясно, о чем оно.
Не послайте сообщений не по теме (оффтопик), раздраженных, грубых или обидных комментариев. Здесь это неуместно.
|