вверх
отправить
поиск
админ
главная
|
Нужена консультация н/хирурга, вертебролога |
 |
 |
 |
Отправлено Алексей 19 Сентябрь 2009, 01:16
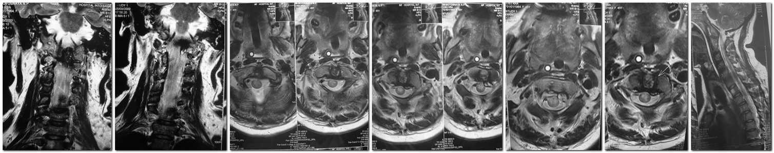
Здраствуйте Уважаемые колеги, нужна консультация высококвалифицырованого н/хирурга, вертебролога. Тяжолый клинический случай...Женщина 45 лет 12 дней назад ощутила повышения давления - потеря сознания. Доставлена в реанимационное отделения ЦРБ на Украине. Самостоятельно дихание и давление поддерживать не могла только на ИВЛ и вазопресорах.В сознании. Появилса тетрапарез. Переведина в обласное отделение реанимации. Конкретного диагноза нету. Через 7-8 дней тетрапарез постепенно начал исчезать, начала самостоятильно поддерживать давления но самостоятельное дыхание отсутствует.Предполагаемый диагноз: Новообразование зубообразного отростка 2 шейного позвонка.Сейчас на ИВЛ (установили трахеостому), прогресируют застойные явления лёгких.Может ктото слышал о подобных случаях, или может порекомендовани соответствующих специалистов.
<
|
>
|
|
Ответить
|
Re: Нужена консультация н/хирурга, вертебролога
Ivan Petrov 20 Сентябрь 2009, 14:17
|
К сожалению размеры фототомограмм не позволяют детально рассмотреть характер изменений в зубовидном отростке, однако в сочетании с клиническими данными предсталяется абсолютно четкая картина острой передней нетраматической компрессии верхнешейно-нижнестволового отделов ЦНС образованием, исходящим из верхушки зубовидного отростка. Кроме того на МРТ видна аномалия развития 2-го шейного позвонка (рудимент диска между телом и зубом), что может свидетельствовать о эмбриональном характере опухоли (хордома?), а также выраженные ишемические изменения в верхнешейном отделе спинного мозга, что позволяет говорить о неблагоприятном для хорошего функционального восстановления прогнозе (компрессия более 12 суток, судя по анамнезу). Крайне желательно выполнить цифровую субтракционную илии МР-ангиографию и оценить вовлеченность в процесс позвоночных артерий.
В плане лечения больной показана срочная хиругическая декопрессия, желательно передняя, скорее всего трансоральным доступом, с задней стабилизацией краниовертебрального перехода. Операция не оправдана лишь в случае абсолютно нестабильной гемодинамики и крайне тяжелого состоятния больной.
Думаю, что на Украине подобные операции должны выполнятся в НИИ нейрохирургии им. Ромоданова.
|
[
Ответить ]
|
Re: Нужена консультация н/хирурга, вертебролога
Юрий Алексеевич Булахтин 20 Сентябрь 2009, 20:40
|
Здравствуйте, Алексей.
Снимки слишком мелкие, трудно судить о диагнозе. Но в любом случае
зуб увеличен в размерах (опухоль, ревматоид и т.д.). Был отек
ствола, возможно, вследствие подвывиха этой штуки. Надо переводить
туда, где занимаются позвоночником. В Украине знаю только
Е.Педаченко (Киев). У соседей в Минске БелНИИТО, очень хорошая клиника.
Можно в Россию, вариантов множество, например С.Т. Ветрилэ (Москва, ЦИТО), отделение
в последнее время специализируется на кранио-вертебральной патологии. Координаты
найти просто - у всех институтов есть сайты.
С уважением, Юрий Алексеевич Булахтин,
главный травматолог Камчатского Военно-морского госпиталя
|
[
Ответить ]
|
Re: Нужена консультация н/хирурга, вертебролога
Djoldas Kuldjanov, M.D. 22 Сентябрь 2009, 18:46
|
Снимки осмотрен одним из наших нейрохирургов кто практикует у основании патологии черепа и вот его ответ.
HI, Dr Kuldjanov
I had to magnify the images to see the sellar region.
There was one image where the sellar region seems enlarged surrounded by CSF (?) but am not really sure...
I hope they do have some images where the sellar region is clearly visualized, anyways,
What I would recommend with possible sellar lesion:
1. obtain fine MRI cuts of sellar region with and without contrast
2. if not done yet, at least screening evaluation by an ophthalmology
3. if not done yet, endocrine work-up / evaluation by endocrinology
Thank you for involving me in this case.
Best regards,
Ben Baronia
P.S. just my curiosity, are they planning to do something with the C-spine specifically, the odontoid region?
thanks again
|
[
Ответить ]
|
Re: Нужена консультация н/хирурга, вертебролога
Отправитель: Ivan Petrov 23 Сентябрь 2009, 18:11
|
Уважаемый Джолдас. По-моему, искать патологию в хиазмально-селлярном регионе - это слишком глубокий анализ ситуации, к тому же это никак не объяснит нарушения гемодинамики, дыхания и тетрапарез. На схеме, нарушения имеющиеся у больной могут быть представлены так (см. вложенный файл). При детальном изучении оригиналов МРТ, можно предположительно уставновить тип образования (оно гипоинтенсивное и на Т1 и неоднородное (с гиперденсивными в ключениями) на Т2) - ревматоидный панус? хордома с распадом? Механизмом патологического воздействия мне представляется чистая компрессия растущим образованием, хотя возможны и подвивих и "псевдобазиллярная импрессия". В общем,не могу согласиться с Ben Baronia.
С1.jpg
51KB (52892 bytes)
|
[
Ответить ]
|
|
( Ответить )
|
|