AOTRAUMA.ORG Центр Илизарова  

Ортопедия и травматология Общие вопросы/General questions Help Информационные технологии в медицине
 ВХОД ДЛЯ ПАЦИЕНТОВ
 вверх
 поиск
 админ
 главная


Огнестрельный перелом бедра
Ортопедия и травматология Прислано Никита Заднепровский 10 Октябрь 2009, 01:34
из
Уважаемые коллеги, по приглашению Сент Луисского Университета, я прохожу стажировку в университетском госпитале (St. Louis University Hospital).
Мне представился очень интересный случай, где довелось стать ассистентом на операции, которую проводил всеми нами уважаемый, профессор Джолдас Кульджанов.

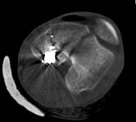
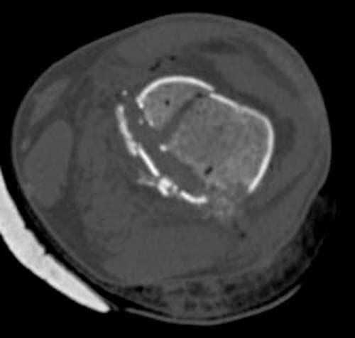
У молодого человека огнестрельное слепое ранение н/3 правого бедра. Поступил в клинику с внутрисуставным многооскольчатым Т-отразным переломом дистального отдела бедренной кости. Дополнительно на СТ-исследовании обнаружен перелом внутреннего мыщелка Hoffa со смещением.

Больной взят в операционную на второй день, где из небольшого медиального доступа выполнена артротомия коленного сустава. Произведена репозиция отломков, фиксация винтами. Попутно удалена пуля. Первым делом была достигнута репозиция медиального мыщелка (перелома Hoffa, где коронарная плоскость перелома трудно поддается закрытой репозиции и фиксации. ) Затем была достигнута идеальная репозиция суставной поверхности бедра и фиксация компрессирующими headless screws.

Дистальный отдел бедра был дополнительно фиксирован buttress пластиной с медиальной стороны из того же разреза. Для усиления фиксации латеральной колонны - с латеральной стороны закрытым способом из минидоступа установлена еще buttress plate. Пулевой канал дополнительно не подвергался хирургической обработке.

Итак, пациент поступает 04 октября, оперирован 05 октября, выписан сегодня 08 октября на амбулаторное долечивание. 5 суток на все про все.

Заднепровский Никита

Послать ответ

Имя
Email
Уведомление Сообщить мне по e-mail об ответах на это сообщение
Название
Комментарий
(Проверьте URL! Не забудьте написать http://!)
Кодировка
Если не знаете, что выбрать, выберите "Просто текст"!
Приложение
Можно приложить к сообщению файл c изображением, который затем будет доступен увидевшим сообщение.
Подготовка иллюстраций:
  • Рентгенограммы: черно-белые полутоновые изображения в формате JPEG (8 bit, greyscale) с разрешением от 300х200 до 1024х768 пикселов;
  • Клинические фотографии: полноцветные изображения в формате JPEG (24 bit, truecolor) с разрешением от 300х200 до 1024х768 пикселов;
  • Схемы и рисунки: черно-белые (2 bit) штриховые (line-art) изображения в формате GIF или compressed TIFF
  • Подберите степень сжатия файла JPEG и размер изображения таким образом, чтобы необходимые детали были различимы, но размер файла не превышал 75 кб.
  • Учтите, что текущая версия программного обеспечения Форума позволяет приложить к одному сообщению лишь один файл-вложение. Поэтому, если необходимо отправить несколько изображений, можно либо послать каждое как отдельное сообщение, либо в графическом редакторе объединить изображения в одно (сделать коллаж).
  • Если при подготовке изображений встречаются трудности, не стесняйтесь обратиться к координатору Форума.

  • Введите видимые символы в обратном порядке. Enter the above characters in reverse order (*Обязательно)
    В тексте сообщения можно использовать теги HTML <B> <I> <P> <A> <LI> <OL> <UL> <EM> <BR> <TT> <HR> <STRONG> <BLOCKQUOTE> <DIV .*> <DIV> <P .*>
  • Обратите внимание: Поля с жирными названиями обязательны.
  • Старайтесь отвечать в рамках обсуждаемой темы, а не начинать новые обсуждения.
  • Указывайте адекватную тему сообщения, чтобы было ясно, о чем оно.
  • Не послайте сообщений не по теме (оффтопик), раздраженных, грубых или обидных комментариев. Здесь это неуместно.
  • Powered by Zope  Squishdot Powered MedLink
    Посетитель: 0000101
      "По форме правильно, а по существу - издевательство" В.И.Ленин
    ©2001-2019Orthoforum Coordinator.
    [ Главная | Отправить сообщение | Поиск | Админ ]