ВХОД ДЛЯ ПАЦИЕНТОВ
вверх
поиск
админ
главная
|
Повторный разрыв связки надколенника |
 |
 |
 |
Прислано Артём 19 Октябрь 2009, 13:55
из
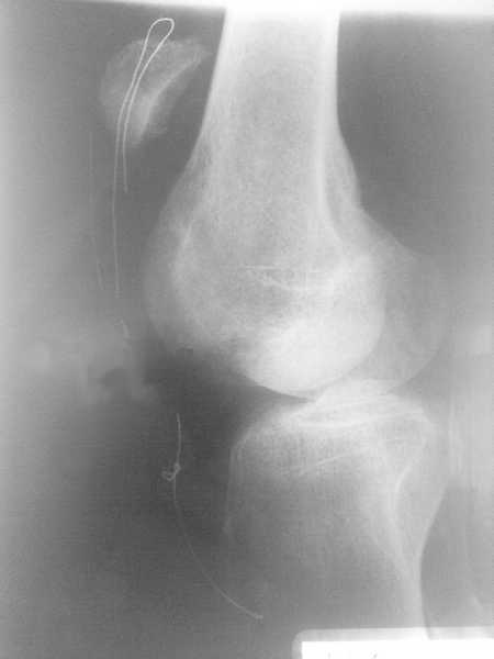
Пациент О 49 лет. получил многооскольчатый перелом н/полюса надколенника 17.06.09.
по поводу чего была выполнена резекция полюса и наложена проволочная петля. 8 октября повторная травма. Уважаемые коллеги, подскажите что делать.
Обратите внимание: Поля с жирными названиями обязательны.
Старайтесь отвечать в рамках обсуждаемой темы, а не начинать новые обсуждения.
Указывайте адекватную тему сообщения, чтобы было ясно, о чем оно.
Не послайте сообщений не по теме (оффтопик), раздраженных, грубых или обидных комментариев. Здесь это неуместно.
|