Уважаемые коллеги, продолжая дискуссию, начатую на "Вреденовских чтениях", хочу сказать, что принципиально сущестует два возможных варианта лечения.
1.Остеосинтез на ножке. Мне кажется, что применительно к этому случаю малоперспективный вариант. Синтез хорош, когда можно его выполнить в малоинвазивном исполнении и достигнуть стабильности. Действительно, если ножка б/цементной фиксации после этого не будет иметь фиксации, то ревизия не будет иметь проблем. В представленном случае стабильность синтеза сомнительная, а проведение доп.иммобилизации приведет к контрактуре суставов.
2. Применение ножки дистальной фиксации, мы отдаем предпочтение ножке Вагнера с фиксацией проксимального отдела на ножке. Более травматичное вмешательство, но при стабильной фиксации ножки реабилитация идет в обычном режиме.
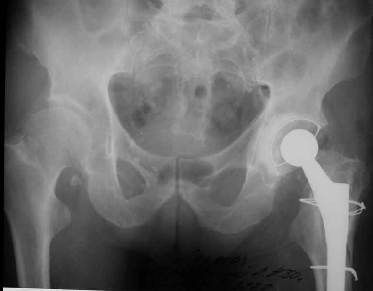
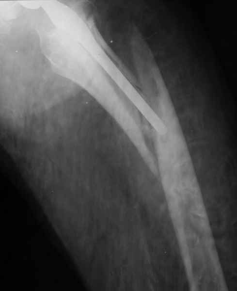
Хочется показать два подобных случая, П-ка З. 72 лет и п-т Г. 80 лет. Сразу принимаю замечание, что это были ножки цементной фиксации, просто под руками не было бесцементника.

С уважением, Р.Тихилов
|