вверх
отправить
поиск
админ
главная
Предыдущее
|
Re: Перипротезный перелом
Alexander Chelnokov 25 Октябрь 2009, 08:56
|
Закрытый остеосинтез-удлинение ножки (подход далеко не общепринятый, и пока даже не общеизвестный)- наименее инвазивный вариант, который обеспечивает немедленное восстановление опороспособности. Конечно, хотелось бы, чтобы эта операция решила проблему окончательно, т.е. в
ближайшие годы других больших операций не потребовалось бы.
Есть ли возможность увидеть снимки до перелома? Не сильно ли просела ножка, не будет ли импинджмента, если оставить ее так?
Что сейчас с длиной конечности? Как сам пациент - общий статус, ддвигательная активность, функциональные потребности?
|
|
|
Ответить
|
Re: Перипротезный перелом
Maxim Agalakov 25 Октябрь 2009, 11:29
|
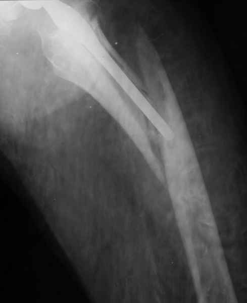
ножка просела немного (вопрос, много - это сколько?)перечисленные проблемы - не самое важное сейчас, на них можно закрыть глаза. Ножка явно нестабильна, проксимальный отломок с б/вертелом к гвоздю не прицепить, срастется ли он с ножкой
|
[
Ответить ]
|
Re: Перипротезный перелом
Отправитель: Alexander Chelnokov 25 Октябрь 2009, 11:35
|
Можно уверенно рассчитывать на сращение фрагментов бедра между собой. Можно ли рассчитывать на реинтеграцию имеющейся ножки в проксимальном отделе - действительно вопрос открытый. Но во всяком случае ножка будет заметное время стабильной за счет дистальной фиксации. Будет ли это время достаточно на всю оставшуюся жизнь пациента - трудно предугадать.
Но, как Александр Виноградский справедливо заметил, после сращения бедра появляется возможность поставить даже обычную ножку большего размера.
|
[
Ответить ]
|
Re: Перипротезный перелом
Отправитель: Рашид Муртузалиевич Тихилов 09 Ноябрь 2009, 12:25
|
Уважаемые коллеги, продолжая дискуссию, начатую на "Вреденовских чтениях", хочу сказать, что принципиально сущестует два возможных варианта лечения.
1.Остеосинтез на ножке. Мне кажется, что применительно к этому случаю малоперспективный вариант. Синтез хорош, когда можно его выполнить в малоинвазивном исполнении и достигнуть стабильности. Действительно, если ножка б/цементной фиксации после этого не будет иметь фиксации, то ревизия не будет иметь проблем. В представленном случае стабильность синтеза сомнительная, а проведение доп.иммобилизации приведет к контрактуре суставов.
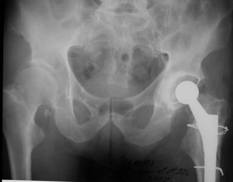
2. Применение ножки дистальной фиксации, мы отдаем предпочтение ножке Вагнера с фиксацией проксимального отдела на ножке. Более травматичное вмешательство, но при стабильной фиксации ножки реабилитация идет в обычном режиме.
Хочется показать два подобных случая, П-ка З. 72 лет и п-т Г. 80 лет. Сразу принимаю замечание, что это были ножки цементной фиксации, просто под руками не было бесцементника.

С уважением, Р.Тихилов
|
[
Ответить ]
|
|
( Ответить )
|
|