ВХОД ДЛЯ ПАЦИЕНТОВ
вверх
поиск
админ
главная
исходное
|
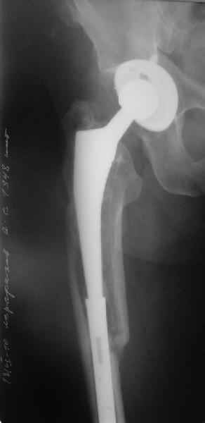
Re: Перипротезный перелом
послал Alexander Chelnokov 30 Октябрь 2010, 06:29
|

Пациента удалось осмотреть недавно. Достигнутый результат сохраняется. Перелом бедра сросся. Конечность опорная и безболезненная, ходит без трости. Ножка, похоже, реинтегрировалась, как и надеялись. Снимки и фото в приложении. Комментарии приветствуются.
Надо ли что-то делать дальше, как полагаете? Убрать винты? Убрать "удлинитель ножки"? Или оставить все, как есть? Спасибо заранее.
|
| Послать ответ |
Обратите внимание: Поля с жирными названиями обязательны.
Старайтесь отвечать в рамках обсуждаемой темы, а не начинать новые обсуждения.
Указывайте адекватную тему сообщения, чтобы было ясно, о чем оно.
Не послайте сообщений не по теме (оффтопик), раздраженных, грубых или обидных комментариев. Здесь это неуместно.
|