ВХОД ДЛЯ ПАЦИЕНТОВ
вверх
поиск
админ
главная
исходное
|
Остеопороз (продолжение 1)
послал Юрий Алексеевич Булахтин 02 Ноябрь 2009, 15:55
|
Уважаемые коллеги!
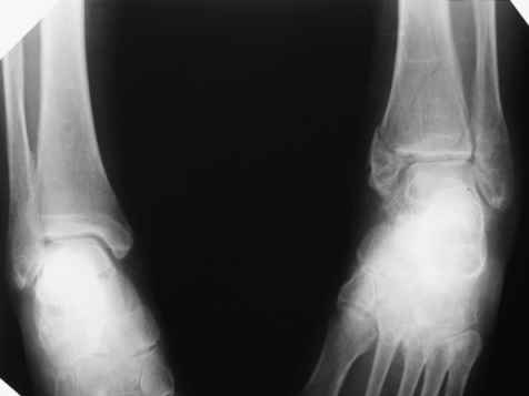
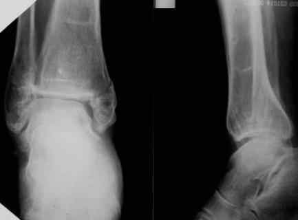
Огромное спасибо всем, кто участвует в обсуждении случая! Приношу глубочайшие извинения и участникам дискуссии и тем, чье внимание просто отвлек своим сообщением. В цейтноте получилось так, что на форум, необоснованно, отправил свои предварительные соображения. Хронология событий следующая. Пришла больная, на руках тот снимок в гипсе, который я выложил. Рассказала, что в 1999г. ломала на этой-же голени обе кости в средней 1/3. Травма тоже была неадекватно низкоэнергетическая - стояла на остановке, шагнула, оступилась - оскольчатые переломы обеих костей. Пластина на большеберцовую. Сросталось долго, линии перелома прослеживались на протяжении 5 лет. Теперешний перелом после того как оступилась в квартире.
Я порассуждал о том, что у нее есть, видимо, системные проблемы с прочностью костей и это МОЖЕТ СУЩЕСТВЕННО ПОВЛИЯТЬ НА ВЫБОР МЕТОДА ОПЕРАТИВНОГО ЛЕЧЕНИЯ, вплоть до артродеза. Предложил начать с замены гипсовой повязки и репозиции для уменьшения отека, столь ее беспокоившего. Которую и выполнил. При попытке R-контроля выяснилось, что кабинет в данный момент обесточен на неопределенный срок. Отправив больную домой я, некорректно по форме, материализовал свои соображения в виде предыдущего сообщения на Форуме.

|
| Послать ответ |
Обратите внимание: Поля с жирными названиями обязательны.
Старайтесь отвечать в рамках обсуждаемой темы, а не начинать новые обсуждения.
Указывайте адекватную тему сообщения, чтобы было ясно, о чем оно.
Не послайте сообщений не по теме (оффтопик), раздраженных, грубых или обидных комментариев. Здесь это неуместно.
|