AOTRAUMA.ORG Центр Илизарова  

Ортопедия и травматология Общие вопросы/General questions Help Информационные технологии в медицине
 вверх
 отправить
 поиск
 админ
 главная


Сросшийся со смещением чрез-подвертельный перелом
Ортопедия и травматология Отправлено Gleb Korobushkin 01 Ноябрь 2009, 12:57
Коллеги!
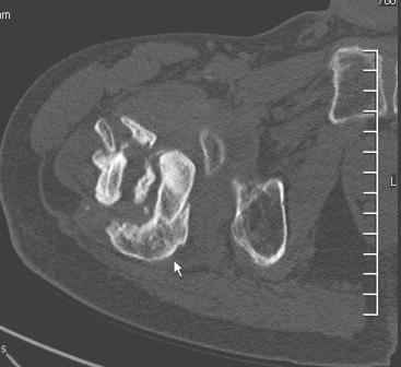
Больной Н. 44 года травма 1,5 года назад июнь 2008 года чрез-под вертельный перелом правого бедра. Во время лечения у больного развился алк. делирий, проводилось консервативное лечение перелома.
Осмотрен 30.10.09.
Беспокоят боли, укорочение конечности.Укорочение 3 см. Ногу поднимает, сгибание ограничено, ротационные движения в полном объеме.На КТ перелом сросся за счет костной мозоли.Что делать?
Протез? Если «да» Можно ли обойтись стандартной ножкой Corail?
Или межвертельная остеотомия?
С ув Коробушкин Г

<  |  >

 

  • Сообщения о Ортопедия и травматология
  • Также Gleb Korobushkin
  • Связаться с автором
  • Ответить

    Re: Сросшийся со смещением чрез-подвертельный перелом
    Alexander Artemiev 01 Ноябрь 2009, 13:22
    Удлините голень на 3 см - и половина проблем решена.
    [ Ответить ]

    Re: Сросшийся со смещением чрез-подвертельный перелом
    Максим Агалаков 01 Ноябрь 2009, 13:24
    мне кажется перелом не сросся, думаю,вальгизирующая остеотомия. возможно с последующим удлинением решит проблему. Эндопротезировать в такой ситуации не нужно.

    [ Ответить ]

    Re: Сросшийся со смещением чрез-подвертельный перелом
    Андрей Каминский 01 Ноябрь 2009, 13:30
    Уважаемый Глеб, боли из-за ложного сустава шейки бедра. Сращения там нет.
    Тазобедренный сустав сохранный и возраст пациента позволяет побороться. Согласен с Максимом, попробуйте остеотостеотомию.
    С "кораем" в этой ситуации будет ох как не просто. Если вдруг надумаете, то типа Цваймюллера нога, (Цераверовский церафит) или другое дистальное с офсетом побольше.
    Удачи.
    Каминский А.В. г.Курган.
    [ Ответить ]

    Re: Сросшийся со смещением чрез-подвертельный перелом
    Филипчук Виктор 02 Ноябрь 2009, 02:18
    Уважаемый Глеб! Укорочение наверное побольше, да и наружно-ротационная установка скорее всего присутствует. Суставная щель прекрасная, головка живее всех живых. Ратую за подвертельную с латерализацией: исключает нарушение механической оси («исключает вальгус в коленe»), максимально удлиняет без натяжения m.iliacus. Для иллюстрации остеотомия-переделка (слава богу не автопеределка) у мужчины 65 лет.
    Филипчук.
    PS. Извините за качество последнего снимка, рентгенограмма выполнена по м. жительства, там где был проведен синтез. Последний снимок выполнен через 2 мес. п\о, больной без разрешения начал наступать, слава богу все обошлось.

    Кликните для загрузки файла 1.jpg
    69KB (70959 bytes)

    [ Ответить ]

    Re: Сросшийся со смещением чрез-подвертельный перелом
    Устьянцев Ибрагимов 02 Ноябрь 2009, 09:02
    Уважаемый Коробушкин Г.
    На наш взгляд необходимо произвести коррегирующую остеотомию с медиализацией бедра по Илизарову.В результате компенсируется примерно 1.5 см.(относительного) укорочения бедра,а абсолютное укорочение устранить методикой пролонгированной регионарной гиперваскуляризации.
    [ Ответить ]

    Re: Сросшийся со смещением чрез-подвертельный перелом
    Евгений Д 04 Ноябрь 2009, 13:30
    Уважаемый Глеб, а вы уверены, что ваш пациент будет соблюдать предписанный режим после оперативного лечения, учитывая прошлые психические расстройства?
    Может для него конкретно в этом случае коррекция ортезами?
    [ Ответить ]


    ( Ответить )

    Powered by Zope  Squishdot Powered MedLink
    Посетитель: 0254047
      "По форме правильно, а по существу - издевательство" В.И.Ленин
    ©2001-2019Orthoforum Coordinator.
    [ Главная | Отправить сообщение | Поиск | Админ ]