ВХОД ДЛЯ ПАЦИЕНТОВ
вверх
поиск
админ
главная
исходное
|
Re: Клинковые пластины или DHS? / Blade-plates or DHS?
послал Филипчук Виктор 02 Ноябрь 2009, 17:28
|

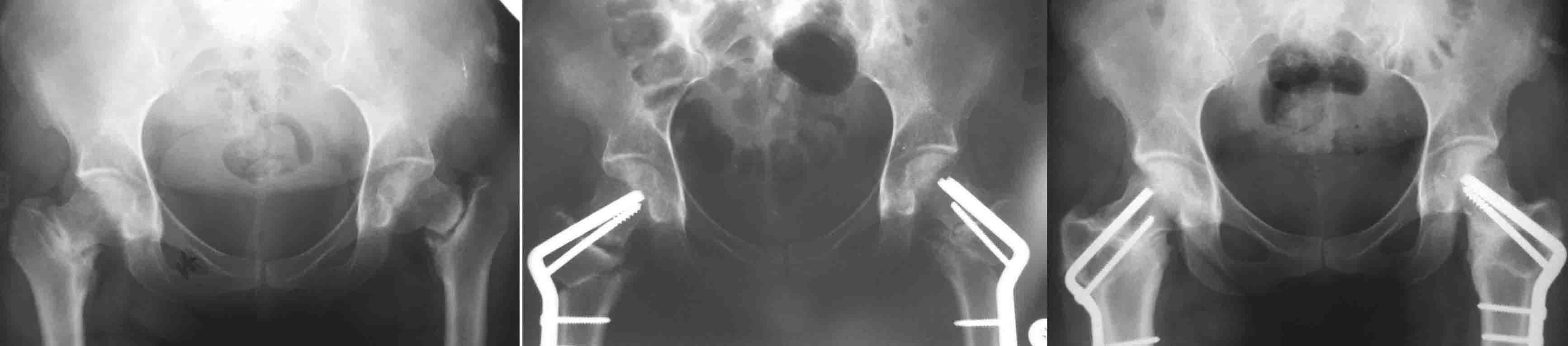
И клинковые и DHS, это всего лишь способ остеосинтеза, хотя, наверное, клинковые дают большую ротационную стабильность (по оси шейки), менее травматичны. Но это не постулат (1943 J Bone Joint Surg Am.;25:319-339. W. P. Blount BLADE-PLATE INTERNAL FIXATION FOR HIGH FEMORAL OSTEOTUMIES). При подвертельных остеотомиях с латерализацией клинковые пластины метод выбора (по другому латерализацию дистального не выполнишь). Оптимальними являються рассчеты СORA по Dror Paley (centr rotation and angulation). Взяты из книги Principles of Deformity Correction by Dror Paley. Для примера межвертельные при двусторонних ложных cуставах шеек.
Филипчук
|
| Послать ответ |
Обратите внимание: Поля с жирными названиями обязательны.
Старайтесь отвечать в рамках обсуждаемой темы, а не начинать новые обсуждения.
Указывайте адекватную тему сообщения, чтобы было ясно, о чем оно.
Не послайте сообщений не по теме (оффтопик), раздраженных, грубых или обидных комментариев. Здесь это неуместно.
|