AOTRAUMA.ORG Центр Илизарова  

Ортопедия и травматология Общие вопросы/General questions Help Информационные технологии в медицине
 вверх
 отправить
 поиск
 админ
 главная


выбор тактики лечения
Ортопедия и травматология Отправлено Александр 05 Ноябрь 2009, 22:41
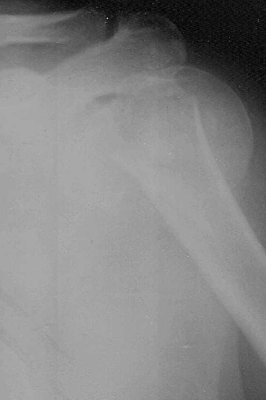
Доброго времени суток,коллеги.Больная 51 год травма 2,11,09 в 20:00 сосудистых,неврологических расстройств нет
3,11,09 выполнена попытка закрытой репозиции,безуспешно. Планируем накостный синтез Т-образной пластиной.Буду крайне признателен за дельные советы.

<  |  >

 

  • Сообщения о Ортопедия и травматология
  • Также Александр
  • Связаться с автором
  • Ответить

    Re: выбор тактики лечения
    дмитрий бондарь 06 Ноябрь 2009, 00:41
    хотелость бы посмотреть вторую проекцию, а вообще, в чём проблема? Тактика леченния подобных переломов достаточно подробно описана во многих руководствах, как в русских, так и в зарубежных. Может какой то подвох? ;)
    С уважением Д.Б.
    [ Ответить ]

    Re: выбор тактики лечения
    Юхимчук Олег 06 Ноябрь 2009, 03:10
    Увожаемый коллега, однозначно показан накостный МОС. Но в данном случае я бы применил пластину numlook "STRYKER" или Filos "SYNTES". Попробуйте-идеальная фиксация,чего не скажешь о Т-образной пластине. Удачи!!!
    [ Ответить ]

    • Re: выбор тактики лечения
      Отправитель: Александр А. 06 Ноябрь 2009, 16:37
      Уважаемый колега, почему однозначно накостный МОС? А я могу прооперировать в аналогичном случае и с блокированным проксимальным плечевым стержнем (тот же "STRYKER" T2 PHN, или аналоги реконструктивный ChM и т.д.) думаю будет более оптимально; как вариант напряжённый остеосинтез конструкциями из "Никелида Титана"; а возможно репозиция, фиксация спицами и гипс; всё будет зависеть от возможности пациента, других в нашем лечебном учереждении возможностей нет, к сожалению таких пока большинство, я не говорю уже о рутинной КТ, не во всех обл.больницах ЭОПы есть. Так, что думаю грамотно выполненый МОС Т-образной пластиной тоже даст положительный результат, хотя объективной информации о переломе действительно маловато. Но всё-таки рекомендовал бы подумать о БИОСе.
      Удачи и с уважением Сан Саныч.

      [ Ответить ]
    Re: выбор тактики лечения
    Бережной С.Ю. 06 Ноябрь 2009, 12:40
    Phylos отличная, но очень дорогая пластинка. В данном случае, скорее всего, можно обойтись LPHP. Хотя, информации по одной проекции может оказаться недостаточно. КТ при таких переломах должна быть рутинным исследованием.
    [ Ответить ]

    Re: выбор тактики лечения
    Женя 06 Ноябрь 2009, 20:55
    Добрый вечер!
    Ну зачем вторая проекция, ради академизма? Такие переломы приводят к смещению дистального отломка вперед и вверх, вызывая, иногда, угрозу перфорации кожи. Поэтому, как можно быстрее чем-нибудь прооперировать - хоть пучком спиц, Т-, L- образной пластиной, никелидом титана и т.п. Эта зона "неприхотлива" для сращения. А пока вы ждете от дельруса нумелок или филос - внутренний пролежень будет!
    [ Ответить ]

    • Re: выбор тактики лечения
      Отправитель: дмитрий бондарь 08 Ноябрь 2009, 19:16
      Не, не в академизме дело ;) лет пять назад интораоперационно нашёл фрагмент головки под большой грудной мышцей науровне средне-ключичной линии (на прямых снимках примерно такого же качества не было и подозрений на это) И фрагмент тот был весьма приличных размеров , около 30 % головки. Казуистика? может быть, но чем больше информации перед операцией, тем лучше планирование, не так ли?
      С уважением Д.Б.

      [ Ответить ]
    Re: выбор тактики лечения
    Александр 06 Ноябрь 2009, 22:07
    Спасибо за предложения.
    [ Ответить ]


    ( Ответить )

    Powered by Zope  Squishdot Powered MedLink
    Посетитель: 0131457
      "По форме правильно, а по существу - издевательство" В.И.Ленин
    ©2001-2019Orthoforum Coordinator.
    [ Главная | Отправить сообщение | Поиск | Админ ]