Ответить
|
Re: высокая тибиальная остеотомия
Юрий Алексеевич Булахтин 07 Ноябрь 2009, 12:16
|
Я пользуюсь синтезовской TomoFix - нравится.
С уважением, Ю.А.Булахтин
|
[
Ответить ]
|
Re: высокая тибиальная остеотомия
Батал Шушания 07 Ноябрь 2009, 12:27
|
http://www.arthrex.ru/
Я пользуюсь набором и пластинами данной фирмы, в эту пятницу выполнил высокую остеотомию большеберцовой кости данным набором инструментов,и установил пластину Puddu 11 ММ.
Инструмент мне очень нравится, очень простой.
Правда дилерская компания не очень профессиональна, как мне показалось, они в основном артроскопией занимаютя....потому этот инструмент и данную технику не очень знают. (мне так кажется)
С уважением Шушания Б.А.
ФГУ "3 ЦВКГ имени А.А. Вишневского Минобороны России"
|
[
Ответить ]
|
Re: высокая тибиальная остеотомия
Отправитель: Maxim Agalakov 07 Ноябрь 2009, 15:12
|
может быть, но зарегистрироваться на их сайте у меня никак не получается.
|
[
Ответить ]
|
|
Re: высокая тибиальная остеотомия
Odessky Jacob M.D. 07 Ноябрь 2009, 13:04
|
Уважаемые коллеги! предлагаю расширить эту тему и обсудить HTO более подробно.
Буду признателен, если коллеги приведут клинические примеры.
С Уважением!
|
[
Ответить ]
|
Re: высокая тибиальная остеотомия
Отправитель: Maxim Agalakov 07 Ноябрь 2009, 14:33
|
Собственного опыта пока нет, так что интересует любая информация по этому вопросу, если у кого есть -поделитесь. Заранее спасибо.
|
[
Ответить ]
|
|
Re: высокая тибиальная остеотомия
Батал Шушания 08 Ноябрь 2009, 13:06
|
Пока я могу выложить данный файл.
 PDF, 260 Kb
Картинки по пациенту который был прооперирован мною недавно выложу в ближайшее время, они на рабочем месте.
|
[
Ответить ]
|
Re: высокая тибиальная остеотомия
Отправитель: Батал Шушания 10 Ноябрь 2009, 00:35
|

картинки оперированного пациента 40 лет, травма в 2006 году.
оперирован 06.11.2009г - корригирующая остеотомия большеберцовой кости.
|
[
Ответить ]
|
Re: высокая тибиальная остеотомия
Отправитель: Alexander Artemiev 10 Ноябрь 2009, 09:51
|
Здравствуйте, Батал.
Скажите, действительно ли эта остеотомия высокая?
С уважением Александр Артемьев
|
[
Ответить ]
|
Re: высокая тибиальная остеотомия
Отправитель: Батал Шушания 11 Ноябрь 2009, 02:37
|
Согласен с Вами, эта "скажем" не высокая остеотомия
нужно было выше.....
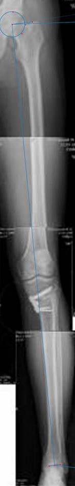
Я картинку собрал с некоторыми погрешностями, если провести отвес от центра вращения головки бедра до середины голени (на пациенте),то имеется небольшой вальгус (гиперкоррекция)конечно она (гиперкоррекция) не достигает 10 гр, но 5 гр она достигает.
Проблема как сделать рентгеновские снимки а потом их совместить правильно, кто знает как решить этот вопрос. Ведь стандартные размеры рентгенкассет, оснащенные наши стационары отснять всю конечность с трех попыток!
С уважением Шушания Батал.
|
[
Ответить ]
|
Re: высокая тибиальная остеотомия
Отправитель: Андрей Каминский 11 Ноябрь 2009, 17:13
|
Можно длинную планку с дырками (от аппарата Илизарова) положить рядом с ногой, так, чтобы ее часть попала на 2 снимка. Потом совместить дырки на рентгенограммах, совпадет и длинник кости. Можно просто метки на столе сделать, снимать, совмещать, обрезать, клеить. Не очень большая сложность. Только больной не должен по столу скакать.
Каминский А.В. Курган.
|
[
Ответить ]
|
Re: высокая тибиальная остеотомия
Отправитель: Рашид Муртузалиевич Тихилов 10 Ноябрь 2009, 13:45
|
Уважаемый д-р Батал Шушания,
К сожалению, не очень удачный пример. Если верить Р-граммам, имеет место быть дисплазия мыщелков бедренной кости с наклоном суставной линии. Это уже создает сложности получения хороших отдаленных результатов. Кроме того, по классике, необходима гиперкоррекция с созданием вальгуса 7-10 градусов для максимальной разгрузки медиального отдела КС. Если верить укладке, то линия сустава имеет четкий варусный наклон, поэтому результат операции м.б. кратковременным. В этих случаях показана двойная остеотомия бедра и тибии.
С уважением, Р.Тихилов
|
[
Ответить ]
|
Re: высокая тибиальная остеотомия
Отправитель: Alexander Artemiev 10 Ноябрь 2009, 15:54
|
Здравствуйте, дорогие коллеги.
Позволю высказать своё мнение.
Впечатление искажает неправильная укладка.
Если сделать правильно, то видно, что бедренная кость в порядке, а цель остеотомии (низкой, кстати), не достигнута вовсе.
Сохраняется варус. Для того, чтобы создать вальгусную гиперкоррекцию, не моделируя при этом откровенный Х голени, можно сделать медиализирующую остеотомию.
Хотя это, видимо, создаст трудности для потенциально возможного эндопротезирования.
Исчерпывающим образом правила укладки, оценки углов и выбора уровня и направления высоких остеотомий представлены у Dror Paley в Принципах коррекции дефрмаций.
Очень интересная книжка.
С уважением Александр Артемьев
|
[
Ответить ]
|
Re: высокая тибиальная остеотомия
Отправитель: Владимир Худобин 11 Ноябрь 2009, 01:55
|
Ув.Александр.Как раз бедренная кость и не в порядке. Абсолютно прав проф.Р.М.Тихилов - "имеет место быть дисплазия мыщелков бедренной кости с наклоном суставной линии". Именно это определяет патомеханику процесса в суставе и пути её устранения. Тибиальная остеотомия - палеотив, ещё менее эффективна медиализация. Только двойная(или на двух уровнях) остеотомия исправит положение сустава и при данном (рентгенологическом) состоянии сустава, протез понадабиться глядишь лет через двадцать, а может вообще не понадобиться.
С ув. Владимир Худрбин.
|
[
Ответить ]
|
Re: высокая тибиальная остеотомия
Отправитель: Alexander Artemiev 11 Ноябрь 2009, 17:14
|
Здравствуйте, Владимир.
Честно говоря, обсуждаемый случай не представляется чрезвычайно интересным. Рашида Муртазалиевича я и так уважаю.
Но коль уж пошла такая дискуссия...
Покажите, где Вы видите наклон суставной щели и в какую сторону?
Расчертите углы, пожалуйста.
С уважением Александр Артемьев
|
[
Ответить ]
|
Re: высокая тибиальная остеотомия
Отправитель: Maxim Agalakov 11 Ноябрь 2009, 21:01
|
присоединяюсь, если бы были проблемы с бедром, скорее был бы вальгус, все проекционно.
|
[
Ответить ]
|
|
Re: высокая тибиальная остеотомия
Alexander Chelnokov 10 Ноябрь 2009, 16:50
|
Максим, а какие проблемы есть намерение решать с помощью этой остеотомии? Можно снимок увидеть?
|
[
Ответить ]
|
Re: высокая тибиальная остеотомия
Отправитель: Maxim Agalakov 10 Ноябрь 2009, 19:11
|
можно, но не сейчас (пациент еще не поступил). Посттравматический гонартроз с преимущественным вовлечением медиального компартмента, варусная деформация. движения почти в полном объеме. Пациенту около 35-40 лет.
|
[
Ответить ]
|
|
Re: ╛с╛М╛Ц╛Ю╛э╛я╛Я ╛Д╛з╛р╛з╛я╛щ╛Н╛ъ╛я╛Я ╛Ю╛Ц╛Д╛ж╛Ю╛Д╛Ю╛ч╛з╛Я
╛╗╛ж╛ъ╛Я 11 Ноябрь 2009, 17:55
|
╛╞╛я ╛║╛╟ ╛э╛Ю╛ъ╛т╛Б╛ж╛Ц╛Ц╛ж ╛с 2005 ╛т. ╛у-╛Б ╛╒╛я╛ч╛ж╛Б╛Д ╛з╛ы ╛т. ╛╘╛Ю╛щ╛Ю╛Д╛Е╛Б╛ъ (╛╨╛с╛ж╛ш╛Х╛я╛Б╛з╛Я) ╛у╛Ю╛э╛щ╛я╛у╛М╛с╛я╛щ ╛Ю ╛╞╛╢╛╟ ╛Ц ╛з╛Ц╛А╛Ю╛щ╛Н╛ы╛Ю╛с╛я╛ъ╛з╛ж╛ч ╛А╛Ю╛щ╛Е╛Д╛Б╛Е╛р╛И╛я╛Д╛Ю╛ш ╛А╛щ╛я╛Ц╛Д╛з╛ъ╛э╛з ╛Ц 5-╛П ╛Ю╛Д╛с╛ж╛Б╛Ц╛Д╛з╛Я╛ч╛з, S-╛Ю╛р╛Б╛я╛ы╛ъ╛Ю ╛з╛ы╛Ю╛т╛ъ╛Е╛Д╛Ю╛ш ╛А╛Ю 2-╛ш ╛у╛М╛Б╛э╛ж. ╛ё ╛А╛Б╛з╛щ╛Ю╛ь╛ж╛ъ╛з╛з 2 ╛Ф╛Ю╛Д╛Ю ╛Ц╛щ╛я╛ш╛у╛Ю╛с ╛з╛ы ╛О╛Д╛Ю╛т╛Ю ╛у╛Ю╛э╛щ╛я╛у╛я. ╛╠╛Ю ╛А╛Ю╛с╛Ю╛у╛Е ╛А╛щ╛я╛ъ╛з╛Б╛Ю╛с╛я╛ъ╛з╛Я ╛э╛Ю╛Б╛Б╛ж╛э╛Х╛з╛з, ╛с ╛Д╛Ю╛ч ╛ь╛ж ╛у╛Ю╛э╛щ╛я╛у╛ж ╛т╛Ю╛с╛Ю╛Б╛з╛щ╛Ю╛Ц╛Н (╛ъ╛ж╛у╛Ю╛Ц╛щ╛Ю╛с╛ъ╛Ю): ╛з╛Ц╛Ц╛щ╛ж╛у╛Ю╛с╛я╛с ╛Ц ╛з╛Ц╛А╛Ю╛щ╛Н╛ы╛Ю╛с╛я╛ъ╛з╛ж╛ч ╛я╛Б╛Д╛Б╛Ю╛Ц╛э╛Ю╛А╛я 54 ╛Ц╛Е╛Ц╛Д╛я╛с╛я, Fujisawa et al (1979) ╛А╛Б╛Ю╛у╛ж╛ч╛Ю╛ъ╛Ц╛Д╛Б╛з╛Б╛Ю╛с╛я╛щ, ╛И╛Д╛Ю ╛ъ╛ж╛у╛Ю╛Ц╛Д╛я╛Д╛Ю╛И╛ъ╛я╛Я ╛щ╛я╛Д╛ж╛Б╛я╛щ╛з╛ы╛я╛Х╛з╛Я ╛ч╛ж╛Г╛я╛ъ╛з╛И╛ж╛Ц╛э╛Ю╛ш ╛Ю╛Ц╛з ╛А╛Б╛з╛с╛Ю╛у╛з╛Д ╛э ╛у╛я╛щ╛Н╛ъ╛ж╛ш╛Й╛ж╛ч╛Е ╛Е╛Г╛Е╛у╛Й╛ж╛ъ╛з╛П ╛Ц╛Ю╛Ц╛Д╛Ю╛Я╛ъ╛з╛Я ╛ч╛ж╛у╛з╛я╛щ╛Н╛ъ╛Ю╛т╛Ю ╛Ю╛Д╛у╛ж╛щ╛я, ╛я ╛Ц╛ч╛ж╛К╛ж╛ъ╛з╛ж ╛ъ╛я╛т╛Б╛Е╛ы╛э╛з ╛с╛ж╛Ц╛я ╛Д╛ж╛щ╛я ╛ъ╛я ╛ч╛ж╛у╛з╛я╛щ╛Н╛ъ╛Е╛П ╛Д╛Б╛ж╛Д╛Н ╛щ╛я╛Д╛ж╛Б╛я╛щ╛Н╛ъ╛Ю╛т╛Ю ╛Ю╛Д╛у╛ж╛щ╛я, ╛р╛М╛щ╛Ю ╛Ц╛с╛Я╛ы╛я╛ъ╛Ю ╛Ц ╛Е╛ч╛ж╛ъ╛Н╛Й╛ж╛ъ╛з╛ж╛ч ╛у╛ж╛т╛ж╛ъ╛ж╛Б╛я╛Д╛з╛с╛ъ╛Ю╛т╛Ю ╛з╛ы╛Л╛Я╛ы╛с╛щ╛ж╛ъ╛з╛Я ╛Ц╛Е╛Ц╛Д╛я╛с╛ъ╛Ю╛т╛Ю ╛Г╛Б╛Я╛К╛я, ╛А╛Б╛з ╛О╛Д╛Ю╛ч ╛ъ╛я╛р╛щ╛П╛у╛я╛щ╛з╛Ц╛Н ╛ъ╛ж╛э╛Ю╛Д╛Ю╛Б╛я╛Я ╛Б╛ж╛Ц╛Д╛Б╛Е╛э╛Д╛Е╛Б╛з╛ы╛я╛Х╛з╛Я ╛Г╛Б╛Я╛К╛я. ╛╞╛я╛з╛щ╛Е╛И╛Й╛з╛ж ╛Б╛ж╛ы╛Е╛щ╛Н╛Д╛я╛Д╛М, ╛А╛Б╛з ╛Б╛я╛ы╛щ╛з╛И╛ъ╛Ю╛ш ╛Ц╛Д╛ж╛А╛ж╛ъ╛з ╛Б╛я╛ы╛Б╛Е╛Й╛ж╛ъ╛з╛Я ╛Г╛Б╛Я╛К╛я ╛у╛я╛ж╛Д ╛т╛з╛А╛ж╛Б╛э╛Ю╛Б╛Б╛ж╛э╛Х╛з╛Я ╛Ю╛Д 3╗╛ ╛у╛Ю 6╗╛.
PICT0033.JPG
106KB (109211 bytes)
|
[
Ответить ]
|
Re: высокая тибиальная остеотомия
Илья 14 Ноябрь 2009, 22:02
|
Пластина для тибиальной остеотомии есть у Koenigsee Implantate
Методику и описание можно посмотреть по ссылке:
http://koenigsee.ru/1-operatsionnyie-metodiki/19-vyisokaya-valgusnaya-osteotomiya-bolshebertsovoy-kosti-operatsionnaya-tehnika/skachat.html
|
[
Ответить ]
|
( Ответить )
|
|