ВХОД ДЛЯ ПАЦИЕНТОВ
вверх
поиск
админ
главная
|
Исход оперативного лечения остеобластокластомы бедра |
 |
 |
 |
Прислано Andrey Pulatov 19 Ноябрь 2009, 20:35
из
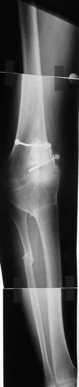
Пациент 59 лет, в 1982 году по поводу остеобластокластомы была выполнена частичная резекция проксимального отдела бедра с пластикой дефекта костно-хрящевым трансплантатом (моноблок)с фиксацией металлическими стяжками.
В последующем по поводу деформирующего артроза выполнена корригирущая остеотомия большеберцовой кости. Исход представлен на рентгенограмме. В настоящий момент пациента беспокоят боли в коленном суставе, деформация, и ограничение движений. Варусная деформация коленного сустава 20, движения сгибание 115, разгибание 150, ходит с тростью, выраженная хромота, работа не связана с физическими нагрузками. Правый коленный сустав без патологии. Уважаемые коллеги просим высказать своё мнение - артродез коленного сустава или эндопротезирование.
Обратите внимание: Поля с жирными названиями обязательны.
Старайтесь отвечать в рамках обсуждаемой темы, а не начинать новые обсуждения.
Указывайте адекватную тему сообщения, чтобы было ясно, о чем оно.
Не послайте сообщений не по теме (оффтопик), раздраженных, грубых или обидных комментариев. Здесь это неуместно.
|