вверх
отправить
поиск
админ
главная
|
Отправлено Андрей Мелешкин 21 Ноябрь 2009, 14:51
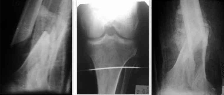
Тяжелая сочетанная травма от 25.09.09 (падение с 5-го эт. в АО У б-го Тяжелая сочетанная травма от 25.09.09 Ушиб г\мозга. З\оскольчатый внутрисуставной перелом л\бедра в н\3. О\оскольчатый внутрисуставной перелом п\бедра в н\3. Медиальный перелом шейки п\бедра. Перелом лонной и седалищной костей справа. Кахексичен, в жизни алкоголизируется. В данный момент ЧМТ невелирована до энцэфалопатии смешанного генеза. Больной доступен продуктивному контакту. Пролежни разрешились. Рана открытого перелома п\бедра зажила 1-м натяжением. Анализы нормализовались. Правая н\конечность сейчас в укороченной гипсовой (циркулярной) повязке. На следующей неделе собираюсь синтезировать левое бедро опорной мыщелковой пластиной с УС. Уважаемые коллеги! Предоставляю данный случай на обсуждение. С уважением А.М.
<
|
>
|
|
Ответить
|
Re: Сочетанная травма
дмитрий бондарь 21 Ноябрь 2009, 23:26
|
Приветствую,коллеги! Учитывая,что травме почти 2 месяца, возможно стоит наложить АВФ для репозиции переломов н\3 обеих бёдер, а затем можно и заштифтовать ретроградно. Основной момент ШЕЙКА!!! стоит , возможно, (не имея снимком сложно сказать) либо выполнить синтез винтами мимо гвоздя, либо,что более вероятно, можно пойти на МВО с синтезом 120 градусной платой. Повторюсь, Представте , рls, снимки шейки.Оперировать открыто платой, может и стоит, на, на мой взгляд, травматичненько будет , да и сложно технически.
С уважением Д.Б.
|
[
Ответить ]
|
Re: Сочетанная травма
Alexander Chelnokov 22 Ноябрь 2009, 02:25
|
Чтобы продуктивно обсуждать ситуацию и планировать какие-то вмешательства, надо увидеть свежие рентгенограммы на протяжении, а не огрызки неизвестной давности.
|
[
Ответить ]
|
Re: Сочетанная травма
Андрей Мелешкин 22 Ноябрь 2009, 15:04
|
Искренне извиняюсь коллеги! Представленные Р-граммы - это снимки планируемого левого бедра от 11.11.09
Что касается н\3 правого бедра - в связи с отсутствием опыта ретроградного синтеза для больного наверно будет многовато с учетом анамнеза (стояние отломков относительно правильное и патологическая подвижность практически отсутствует)?
Что касается медиального перелома шейки правого бедра не лучше ли оставить как вариант в последующем эндопротезирования опять же с учетом анамнеза?
|
[
Ответить ]
|
Re: Сочетанная травма
Отправитель: дмитрий бондарь 26 Ноябрь 2009, 23:36
|
А , извините,сколько лет больному?
С уважением Д.Б.
|
[
Ответить ]
|
Re: Сочетанная травма
Отправитель: Андрей Мелешкин 27 Ноябрь 2009, 00:23
|

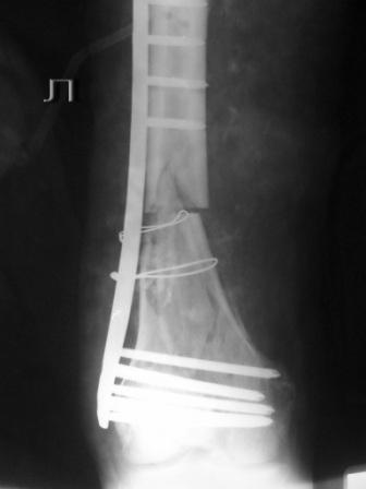
Пациенту 50 лет. 24.11.09 сделали л\бедро.
|
[
Ответить ]
|
Re: Сочетанная травма
Отправитель: Alexander Chelnokov 30 Ноябрь 2009, 01:37
|
Оставлен клинически значимый варус, видно градусов 8-10. Для уточнения можно сделать снимок симметричного сегмента и скиаграммы наложить.
Не стоило открывать промежуточные отломки и вязать их проволокой. Это ухудшает их кровоснабжение и может привести к несращению. Не во все случаях, конечно. Удачи.
|
[
Ответить ]
|
Re: Сочетанная травма
Отправитель: Андрей Мелешкин 01 Декабрь 2009, 20:29
|
Сложность репозиции привела к "освобождению" промежуточных отломков - появился значительный костный дефект - пришлось создавать картинку + добавили коллапан.
C уважением А.М.
|
[
Ответить ]
|
Re: Сочетанная травма
Отправитель: Alexey Semenisty 30 Ноябрь 2009, 23:59
|
Не удивляйтесь, если пластина сломается(((
С уважением, А.Семенистый.
ГКБ № 13, Москва.
|
[
Ответить ]
|
Re: Сочетанная травма
Отправитель: Андрей Мелешкин 01 Декабрь 2009, 20:35
|
"""""Не удивляйтесь, если пластина сломается""""
Какова возможная причина перелома импланта, ведь принцып "мостовидности" пластины LCP соблюден!?
C уважением А.М.
|
[
Ответить ]
|
Re: Сочетанная травма
Отправитель: Alexey Semenisty 02 Декабрь 2009, 09:29
|
"Мостовидность" вовсе не подразумевает только LCP, также как и LCP не озачает обязательную "мостовидность".
Мостовидность это только часть , так называемого, биологического принципа.Биологический принцип предполагает баланс между механическими свойствами остеосинтеза и сохранением кровоснабжения кости и окружающих мякких тканей. Мостовидная фиксация обеспечивает относительную, эластичную стабильность, которая при малоинвазивной технике (MIPO), т.е, при закрытой репозиции и нескелетировании кости дает хороший шанс на быстрое течение репаративных процессов и сращение перелома.
В Вашем примере, как мне кажется, была довольно травматичная открытая реползиция со скелетированием концов перелома. В результате отсутствует необходимая биологическая составляющая для нормальной репарации кости. кроме того, положение отломков по оси - так себе, и имеется значимый медиалный дефект. Так что к био-логической мостовидной технике фиксации переломов этот случай не имеет никакого отношения. Увы(
С уважением, А.Семенистый.
ГКБ № 13, Москва.
|
[
Ответить ]
|
|
Re: Сочетанная травма
Андрей Мелешкин 02 Декабрь 2009, 20:36
|
Спасибо за коментарии! На что сил хватило ... Будем стремиться ...
С уважением А.М.
|
[
Ответить ]
|
( Ответить )
|
|