AOTRAUMA.ORG Центр Илизарова  

Ортопедия и травматология Общие вопросы/General questions Help Информационные технологии в медицине
 ВХОД ДЛЯ ПАЦИЕНТОВ
 вверх
 поиск
 админ
 главная


Осложненный перелом таза
Ортопедия и травматология Прислано Бережной Сергей 25 Ноябрь 2009, 03:09
из "Мединцентр" ГлавУпДК
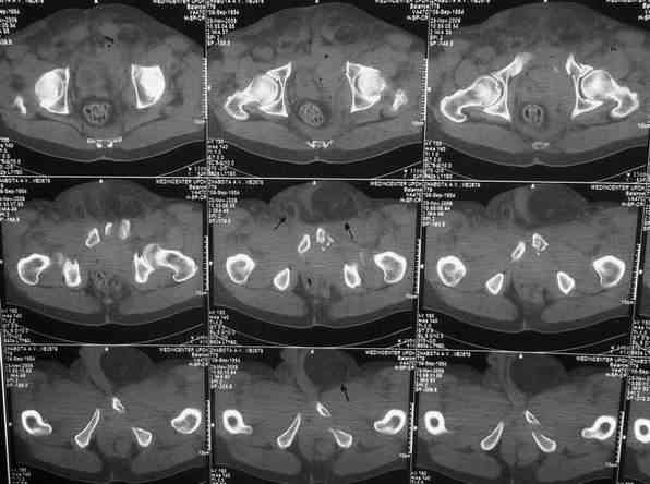
Пациент 55 лет,монтажник, получил травму 21.11.09 - на левое бедро обрушилась стена канавы 3 м глубины.
Уважаемые коллеги. У больного оскольчатые переломы левых лонной и седалищной костей со смещением, разрывом симфиза и распространением линии перелома на вертлужную впадину; переломы крыла левой подвздошной кости и правой боковой массы крестца без смещения; разрыв уретры. За последние годы пациент 6 раз оперирован на передней брюшной стенке (гнойный аппендицит срединным доступом, вентральная послеоперационная грыжа и паховые грыжи с обеих сторон, оперированные по 2 раза каждая). Остались 3 грубых втянутых рубца после этих операций. В настоящее время имеются 2-сторонние паховомошоночные грыжи (на одной из КТ-грамм указаны стрелками), из которых левая - значительных размеров. Мошонка огромная, однако, не напряженная. Состояние больного на сегодняшний день относительно удовлетворительное, кровопотеря компенсирована, мочевой пузырь катетеризирован. Прошу мнения сообщества по следующим вопросам: выполнять ли в таких условиях остеосинтез? Если да, то в какой последовательности (отдельно или одним этапом с герниотомией)? Объем остеосинтеза? Доступ?

Послать ответ

Имя
Email
Уведомление Сообщить мне по e-mail об ответах на это сообщение
Название
Комментарий
(Проверьте URL! Не забудьте написать http://!)
Кодировка
Если не знаете, что выбрать, выберите "Просто текст"!
Приложение
Можно приложить к сообщению файл c изображением, который затем будет доступен увидевшим сообщение.
Подготовка иллюстраций:
  • Рентгенограммы: черно-белые полутоновые изображения в формате JPEG (8 bit, greyscale) с разрешением от 300х200 до 1024х768 пикселов;
  • Клинические фотографии: полноцветные изображения в формате JPEG (24 bit, truecolor) с разрешением от 300х200 до 1024х768 пикселов;
  • Схемы и рисунки: черно-белые (2 bit) штриховые (line-art) изображения в формате GIF или compressed TIFF
  • Подберите степень сжатия файла JPEG и размер изображения таким образом, чтобы необходимые детали были различимы, но размер файла не превышал 75 кб.
  • Учтите, что текущая версия программного обеспечения Форума позволяет приложить к одному сообщению лишь один файл-вложение. Поэтому, если необходимо отправить несколько изображений, можно либо послать каждое как отдельное сообщение, либо в графическом редакторе объединить изображения в одно (сделать коллаж).
  • Если при подготовке изображений встречаются трудности, не стесняйтесь обратиться к координатору Форума.

  • Введите видимые символы в обратном порядке. Enter the above characters in reverse order (*Обязательно)
    В тексте сообщения можно использовать теги HTML <B> <I> <P> <A> <LI> <OL> <UL> <EM> <BR> <TT> <HR> <STRONG> <BLOCKQUOTE> <DIV .*> <DIV> <P .*>
  • Обратите внимание: Поля с жирными названиями обязательны.
  • Старайтесь отвечать в рамках обсуждаемой темы, а не начинать новые обсуждения.
  • Указывайте адекватную тему сообщения, чтобы было ясно, о чем оно.
  • Не послайте сообщений не по теме (оффтопик), раздраженных, грубых или обидных комментариев. Здесь это неуместно.
  • Powered by Zope  Squishdot Powered MedLink
    Посетитель: 0000319
      "По форме правильно, а по существу - издевательство" В.И.Ленин
    ©2001-2019Orthoforum Coordinator.
    [ Главная | Отправить сообщение | Поиск | Админ ]