ВХОД ДЛЯ ПАЦИЕНТОВ
вверх
поиск
админ
главная
|
Нестабильность коленного сустава |
 |
 |
 |
Прислано Ruslan 01 Декабрь 2009, 08:37
из
Уважаемые коллеги,
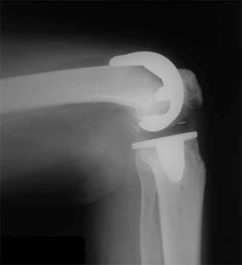
Оперирована пациентка 42 лет, избыточного веса. Выполнено б/ц протезированние коленного сустава эндопротезом LCS. Послеоперационный период гладкий, в срок 2 мес. после операции объем движений удовлетворительный, сгибание до острого угла, разгибание полное. В 3,5 мес. во время падения подвернула ногу, после чего появилась. клиника медиолатеральной нестабильности. В течении 3 недель фиксация в туторе. При повторном осмотре жалобы на дискомфорт в коленном суставе, «щелканье», неустойчивость в суставе. Вопросы/варианты дальнейшей тактики лечения пациентки.
1) Существует ли способы восстановления внутренней боковой связки на фоне протезированного коленного сустава и как добиться равномерного ее натяжения при всех углах сгибания.
2) Ревизия с установкой более связанного протеза (constrained)
3) Оставить как есть, ждать износа вкладыша, развития нестабильности протеза, а затем идти на связанный протез.
4) Другие варианты.
Обратите внимание: Поля с жирными названиями обязательны.
Старайтесь отвечать в рамках обсуждаемой темы, а не начинать новые обсуждения.
Указывайте адекватную тему сообщения, чтобы было ясно, о чем оно.
Не послайте сообщений не по теме (оффтопик), раздраженных, грубых или обидных комментариев. Здесь это неуместно.
|