вверх
отправить
поиск
админ
главная
|
Продолжение случая про таз 9-ти месячной давности |
 |
 |
 |
Отправлено Миронов Андрей 30 Январь 2010, 00:32
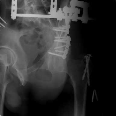
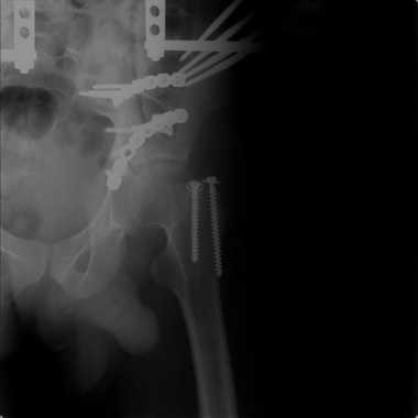
Добрый вечер, уважаемые коллеги. Прошу прощение за долгое молчание( компьютер был в долгосрочном ремонте). Больного с 9-ти месячной травмой таза мы прооперировали. Оценив свои возможности и совместив с вашими рекомендациями и советами (большое спасибо Рункову!), пошли задне-наружным доступом, с отсечением большого вертела. Закрепились 2-мя пластинками. Сверху закрепили аппаратом( передней рамой). На область перелома самого гребня повздошной кости не вмешивались. Снимки высылаю. Жду ваших отзывов и комментариев. Всем большое спасибо за активное участие в лечении больного. С ув.Андрей
<
|
>
|
|
Ответить
|
Re: Продолжение случая про таз 9-ти месячной давности
Алексей Смирнов 31 Январь 2010, 14:53
|
Для чего аппарат? Или вы не уверены в стабильности вашей внутренней фиксации? Выглядит достаточно стабильно, аппарат позволит всего лишь чуть ранше дать нагрузку, и всё?
|
[
Ответить ]
|
Re: Продолжение случая про таз 9-ти месячной давности
Отправитель: Миронов Андрей 04 Февраль 2010, 17:25
|
Внутренняя фиксация получилась достаточно стабильная.А передняя рама наложена с целью дополнительной фиксации для нейтрализации мышц прикрепляющихся к крылу подвздошной кости, и исключить возможное расшатывание и возникнование нестабильности внутрених фиксаторов( уж очень большая нагрузка на эти 2 пластины).На открытом этапе операции мобилизовали только часть линии всего перелома( около 1/4 части начиная от свода и проксимально), а остальная часть находится в рубце и патологическая подвижность в ней есть хоть и не выражена) А о ранней нагрузке никто и не думал. А как на ваш взгляд, в какие сроки в такой ситуации разрешить полную нагрузку? Я считаю, что только при сращении перелома, подвержденные лучше бы КТ
|
[
Ответить ]
|
Re: Продолжение случая про таз 9-ти месячной давности
Отправитель: Миронов Андрей 04 Февраль 2010, 17:25
|
Внутренняя фиксация получилась достаточно стабильная.А передняя рама наложена с целью дополнительной фиксации для нейтрализации мышц прикрепляющихся к крылу подвздошной кости, и исключить возможное расшатывание и возникнование нестабильности внутрених фиксаторов( уж очень большая нагрузка на эти 2 пластины).На открытом этапе операции мобилизовали только часть линии всего перелома( около 1/4 части начиная от свода и проксимально), а остальная часть находится в рубце и патологическая подвижность в ней есть хоть и не выражена) А о ранней нагрузке никто и не думал. А как на ваш взгляд, в какие сроки в такой ситуации разрешить полную нагрузку? Я считаю, что только при сращении перелома, подвержденные лучше бы КТ
|
[
Ответить ]
|
|
( Ответить )
|
|