AOTRAUMA.ORG Центр Илизарова  

Ортопедия и травматология Общие вопросы/General questions Help Информационные технологии в медицине
 ВХОД ДЛЯ ПАЦИЕНТОВ
 вверх
 поиск
 админ
 главная


Ложный сустав плечевой кости
Ортопедия и травматология Прислано Владимир Шевченко 07 Февраль 2010, 11:35
из
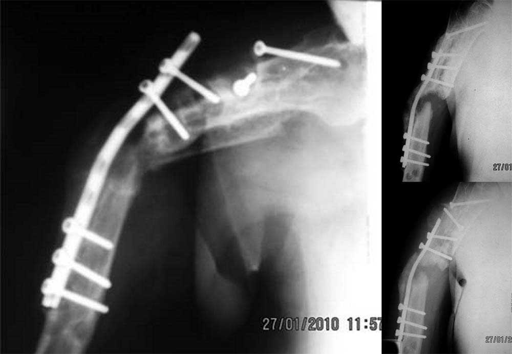
Уважаемые коллеги! Имеется случай ложного сустава плечевой кости с дефектом костной ткани, последствиями остеосинтеза.
Больной Г., 54 - х лет, получил закрытый перелом правой плечевой кости 2 года назад. Травма непрямая. Лечился в профильном отделении. Оперирован дважды - первый раз закрытый блокируемый остеосинтез штифтом Ключевского с просверленными отверстиями для блокировки. Сращения не достигнуто, остеосинтез несостоятелен, фиксатор удален. Оперирован повторно - выполнена открытая репозиция, накостный остеосинтез. К сожалению, какого - либо документального материала о лечении на предыдущем этапе не сохранилось.
В настоящее время ожидается госпитализация в ортопедическое отделение.
Локально: множественные послеоперационные рубцы по всему плечу, состояние их удовлетворительное, признаков воспаления нет. Визуально варусная деформация плеча. Отведение в плечевом суставе до 60 град. В с\з - в\з плеча патологическая подвижность, при усилении деформации пальпаторно определяется верхний конец пластины. Болевой синдром не выражен. В анамнезе после второй операции - нейропатия лучевого нерва. В настоящее время клиники нет.
Хотелось бы услышать мнение коллег по данному случаю.
С уважением.
В. Шевченко, г. Хабаровск.

Послать ответ

Имя
Email
Уведомление Сообщить мне по e-mail об ответах на это сообщение
Название
Комментарий
(Проверьте URL! Не забудьте написать http://!)
Кодировка
Если не знаете, что выбрать, выберите "Просто текст"!
Приложение
Можно приложить к сообщению файл c изображением, который затем будет доступен увидевшим сообщение.
Подготовка иллюстраций:
  • Рентгенограммы: черно-белые полутоновые изображения в формате JPEG (8 bit, greyscale) с разрешением от 300х200 до 1024х768 пикселов;
  • Клинические фотографии: полноцветные изображения в формате JPEG (24 bit, truecolor) с разрешением от 300х200 до 1024х768 пикселов;
  • Схемы и рисунки: черно-белые (2 bit) штриховые (line-art) изображения в формате GIF или compressed TIFF
  • Подберите степень сжатия файла JPEG и размер изображения таким образом, чтобы необходимые детали были различимы, но размер файла не превышал 75 кб.
  • Учтите, что текущая версия программного обеспечения Форума позволяет приложить к одному сообщению лишь один файл-вложение. Поэтому, если необходимо отправить несколько изображений, можно либо послать каждое как отдельное сообщение, либо в графическом редакторе объединить изображения в одно (сделать коллаж).
  • Если при подготовке изображений встречаются трудности, не стесняйтесь обратиться к координатору Форума.

  • Введите видимые символы в обратном порядке. Enter the above characters in reverse order (*Обязательно)
    В тексте сообщения можно использовать теги HTML <B> <I> <P> <A> <LI> <OL> <UL> <EM> <BR> <TT> <HR> <STRONG> <BLOCKQUOTE> <DIV .*> <DIV> <P .*>
  • Обратите внимание: Поля с жирными названиями обязательны.
  • Старайтесь отвечать в рамках обсуждаемой темы, а не начинать новые обсуждения.
  • Указывайте адекватную тему сообщения, чтобы было ясно, о чем оно.
  • Не послайте сообщений не по теме (оффтопик), раздраженных, грубых или обидных комментариев. Здесь это неуместно.
  • Powered by Zope  Squishdot Powered MedLink
    Посетитель: 0103557
      "По форме правильно, а по существу - издевательство" В.И.Ленин
    ©2001-2019Orthoforum Coordinator.
    [ Главная | Отправить сообщение | Поиск | Админ ]