AOTRAUMA.ORG Центр Илизарова  

Ортопедия и травматология Общие вопросы/General questions Help Информационные технологии в медицине
 вверх
 отправить
 поиск
 админ
 главная


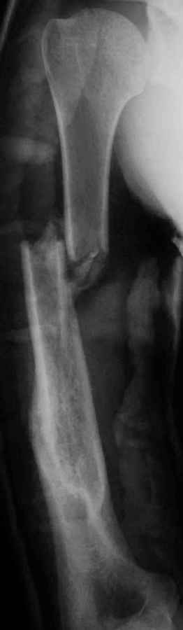
Результат консервативного лечения короткого косого перелома диафиза плеча врачами общей практики в условиях развивающейся страны у больного low social class
Ортопедия и травматология Отправлено sergey adonin 07 Февраль 2010, 19:45
На формирование этого сообщения повлияли обсуждения «Ложный сустав плечевой кости» ( на два сообщения ниже) и «Сложный перелом плечевой кости» от 26 января.
Конспективно.
Предыдущий перелом плеча – пару лет назад ДТП. К сожалению, этот крайне важный жизненный опыт не изменил стиль вождения больногоПоследний перелом плеча – ДТП 2 мес назад. В связи с дефицитом как специалистов – ортопедов, так и операционного времени в принципе больной был осмотрен в приемном покое врачом общей практики, наложена U-образная гипсовая повязка и отправлен домой. Я впервые увидел больного через 6 нед после травмы, сделал снимки и снял повязку. Фотографии больного - 2 мес после травмы. снимки - при травме и через 6 недель
Вывод: Если плечо не трогать, оно нормально срастается.
Тот же самый вывод наукообразно: данное клиническое наблюдение свидетельствует, что консервативное лечение переломов диафиза плеча является патофизиологически оптимальным, приводит к удовлетворительному функциональному результату и явлеяется наиболее экономически щадящим как для больного, так и для системы государственного здравоохранения в целом.
Сергей

<  |  >

 

  • Сообщения о Ортопедия и травматология
  • Также sergey adonin
  • Связаться с автором
  • Ответить

    Re: Результат консервативного лечения короткого косого перелома диафиза плеча врачами общей практики в условиях развивающейся страны у больного low social class
    Николай Гуза 08 Февраль 2010, 04:52
    Доброе время суток! Мое мнение, что в данном случае метод лечения 17 -- 18 в.в. Представленный результат лечения -- пассивные движения, силовые нагрузки наверняка снижены, а за окном то 21 в.
    [ Ответить ]

    • Re: Результат консервативного лечения короткого косого перелома диафиза плеча врачами общей практики в условиях развивающейся страны у больного low social class
      Отправитель: trypolski 08 Февраль 2010, 17:47
      Насколько я понял, это не является инструкцией к "и так лечить можно", а примером того насколько хорошо происходит репарация даже при несопоставленных концах перелома.

      Вот например в David Ip "Orthopedic Traumatology – A Resident’s Guide" 2nd Edition пишет про то, что Healing by formation of natural callus (especially the strongcallus
      formed if the fracture is not too rigidly immobilised) is found to be the strongest
      P.S.We ofen see re-fractures afer,say,direct healing by plating, partly due to the stress risers of screw holes,plate-related osteopenia, but also because of the absence of the strong
      periosteal natural callus)
      Internal fxation per se will not make fractures heal; it only helps with
      alignment and with the stability and restoration of nearby joints.
      Что так же в пользу консервативного лечения.

      Другое дело, что например в моём регионе, из-за отсутствия страховой медицины, врач не всегда отдаёт предпочтение более дешевому и физиологически оправданному методу, так как имеет прямую материальную заинтересованность в использовании дорогих конструкций.



      [ Ответить ]
    Re: Результат консервативного лечения короткого косого перелома диафиза плеча врачами общей практики в условиях развивающейся страны у больного low social class
    Андрей Волна 08 Февраль 2010, 18:42
    "A broken bone heals because...it is broken!" Mr.Alan Apley. Уважаемые друзья! Приведённый здесь пример это и демонстрирует - действительно, сломанная кость срастается именно потому, что она сломана! Однако, этот процесс зачастую нуждается в биологической и механической поддержке. Действительно, "великий маг и волшебник" - плечевой сустав - прощает нам очень многое при наличии деформаций плечевой кости. Известная цитата из P.M. Rommens, J. Blum и др., о том, что консервативное лечение переломов плеча в 90% даёт отличные и хорошие результаты, а укорочение в 2-3 см, угловое смещение до 20* и даже ротация отлично компенсируются функционально - правда. И это подтверждается и нашими с Вами наблюдениями. Но, "ничего так не опровергает отличные и хорошие результаты, как критическое осмысление отдалённых результатов лечения" S.R. Shcelkun. И надо стараться быть честным по отношению к самому себе, прежде всего. Ведь мы уже договорились буквально до того, что если плечо не трогать, то консолидация наступает в 100% случаев. И это уже звучит на нашем форуме. Я ни в коей мере не хочу сказать. что плечо нужно оперировать, как в представленном случае - это полное безобразие, Но, если хорошие и отличные результаты в 90% случаев, а в 10? И фактор пациента нельзя не учитывать так же - то, что хорошо для молодого бесшабашного креола может оказаться неприемлемым для колоритного "дядьки" из Винницкой или Полтавской областей Украины. В Москве же мне приходилось выполныть интрамедуллярный остеосинтез молодым дамам света и полусвета, для которых никакое укорочение плеча не может быть допустимым. А уж про угловую деформацию в 20* как то и заикаться неудобно.
    Несмотря на то, что всё это "хорошо компенсируется функционально" В приложенном файле - случай ложного сустава плеча, сформировавшегося после консервативного лечения перелома.(И почему эти оставшиеся 10% так часто попадают ко мне!). Пациент 51 года, соматически здоровый некурящий житель московских окраин ("спальный" район), 4 года назад лечился в одной из наших клинических больниц. Его заверили в том, что переломы плеча срастаются всегда, а уж если у него нет консолидации, то оперировать тем паче нельзя ввиду жуткой биологии. И только на 5ом году болезни он решил узнать второе мнение. Я не был оригинален - аутоспонгиоза, хронос плюс блокированная пластина (см вложенный файл). Ещё раз подчеркну, что я не отрицаю других путей в лечении этого ложного сустава. Но я выбрал данный. Удачи. Киев - Москва. Андрей Волна
    Кликните для загрузки файла Лс плеча после консервативного лечения(1).pdf
    857KB (877679 bytes)

    [ Ответить ]

    Re: Результат консервативного лечения короткого косого перелома диафиза плеча врачами общей практики в условиях развивающейся страны у больного low social class
    Nikita Zadneprovskiy 09 Февраль 2010, 02:05

    > Вывод: Если плечо не трогать, оно нормально срастается.

    А не называется ли это "неправильно сросшийся перелом с укорочением"?
    )))) Или эта методика только для больного low social class?

    Никита

    [ Ответить ]

    Re: Результат консервативного лечения короткого косого перелома диафиза плеча врачами общей практики в условиях развивающейся страны у больного low social class
    Адонин 12 Февраль 2010, 00:33
    Большое спасибо за обсуждение. Мое мнение

    1. Николаю Гуза. Мне не понравился и даже показался обидным Ваш комментарий.
    А) впервые в истории медицины гипсовая повязка была наложена Антониусом Матисеном в 1851 году, а впервые в мире широко использовал гипсовые повязки Пирогов во время Крымской войны. Популяризатором же функционального метода плечения переломов плеча явился был Сорменто в 1950-1960 годы. Так что ни 17, не восемнадцатым веком здесь не пахнет, а базисную историю отечественной медицины и своей специальности было бы неплохо знать, или, как минимум, не демонстрировать ее незнание.
    Б) Термин «пассивные движения» , использованный Вами, означает что кто-то двигает расслабленной рукой больного, а я потом отфотошопил картинку. Вы либо не знаете значения термина, или обвиняете меня в фальсификации?
    В) «силовые нагрузки наверняка снижены». Безусловно – ведь 2 мес после травмы. Подозреваю, Вы хотели сказать, что у больного в будущем сила сгибания и разгибания локтевого сустава будет меньше, чем после оперативного лечения? Если да – дайте, пожалуйста, ссылку на хоть какие-нибудь исследования, подтверждающие Вашу правоту ( вы ведь используете слово «наверняка, то есть у Вас есть очень серьезные основания так утверждать)

    Доктору Трипольскому – я именно имел в виду , что « и так лечить можно» , более того, мои любимые учебники – Рокувуд и Грин и Кампбелл ( которых я в 99,5% случаев почитаю за непререкаемпых авторитетов) считают, что большинство переломов диафиза плеча так лечить нажно. Спасибо за поддержку :)

    Доктору Волне. Совершенно с Вами согласен, хочу только немного по-другому расставить акценты. Зи последнего кэмпбелла : Nonunions occur in approximately 10% of patients with humeral shaft fractures REGARDLESS OF THE TYPE OF TREATMENT USED because motion can be difficult to control.
    Однозначно, сформированный гипотрофический ложный сустав как результат консервативного лечвения надо оперировать. Однозначно, общепринятый метод – надежная пластина, возможно небольшое укорочение ( до 4 см), аутотрансплантат.

    Доктору Заднепровскому. Я не считаю этот перелом «неправильлно сросшимся», так как имеется замечательный функциональный результат и стояние отломка отвечает всем критериям «допустимого» ( см пост доктора Волны выше)
    Low social class – это дань реалиям местного здравоохранения. Состоятельный человек в своем уме никогда не пойдет в гос больницу, а в частной, конечно, будет прооперирован, опять же, не только исходя из медицинских показаний ( ибо оплата хирургу за пару частных операций примерно равна месячной зарплата в гос больнице)

    [ Ответить ]

    • Re: пЕГСКЭРЮР ЙНМЯЕПБЮРХБМНЦН КЕВЕМХЪ ЙНПНРЙНЦН ЙНЯНЦН ОЕПЕКНЛЮ ДХЮТХГЮ ОКЕВЮ БПЮВЮЛХ НАЫЕИ ОПЮЙРХЙХ Б СЯКНБХЪУ ПЮГБХБЮЧЫЕИЯЪ ЯРПЮМШ С АНКЭМНЦН low social class
      Отправитель: Zadneprovskiy Nikita 13 Февраль 2010, 00:00
      пЮГ СФ ГЮЬКЮ ПЕВЭ Н ЙНМЯЕПБЮРХБМНЛ КЕВЕМХХ, РН ХЛЕЕР ЯЛШЯК ДНЦНБЮПХБЮРЭ БЯЕ ДН ЙНМЖЮ. ю ХЛЕММН СЯКНБХЪ ОПХ ЙНРНПШУ ЙНМЯЕПБЮРХБМНЕ КЕВЕМХЕ СЯОЕЬМН.

      - ХГНКХПНБЮММШИ ОЕПЕКНЛ ОКЕВЮ

      - ГЮЙПШРШИ ОЕПЕКНЛ ОКЕВЮ

      - ОЮЖХЕМР, ЙНРНПШИ ЯНЦКЮЯЕМ ХЛЕММН МЮ РЮЙНИ ЛЕРНД КЕВЕМХЪ Х ОНМХЛЮЕР, ВРН ЕЦН НФХДЮЕР Х ЙЮЙ МЮДН ЯЕАЪ БЕЯРХ (cooperative patient). яНЦКЮЯХРЕЯЭ, ВРН АНКЭМНИ Б ЦХОЯНБНИ ОНБЪГЙЕ РПЕАСЕР АНКЕЕ ОПХЯРЮКЭМНЦН БМХЛЮМХЪ ЯН ЯРНПНМШ НПРНОЕДЮ. б ЯКСВЮЕ Я НОЕПЮРХБМШЛ ПЕЬЕМХЕЛ ОПНАКЕЛШ ПЮАНРЮЕР ОПЮБХКН ╚ЯДЕКЮК Х ГЮАШК╩. оЕПЕКНЛШ ЙНРНПШЕ БЕДСРЯЪ ЙНМЯЕПБЮРХБМН ХЛЕЧР МЕОПХЪРМНЕ ЯБНИЯРБН Й ДЮКЭМЕИЬЕЛС ЯЛЕЫЕМХЧ, ВРН РНФЕ МЕ Б ОКЧЯ Б ЯХРСЮЖХХ ЦДЕ ХЛЕЕРЯЪ ЛЮЙЯХЛЮКЭМЮЪ ЦПЮМХЖЮ ДНОСЯРХЛШУ ОПЕДЕКНБ.

      - ДНОСЯРХЛНЕ ЯЛЕЫЕМХЕ. йЯРЮРХ, С бЮЯ ЯМХЛЙХ РНКЭЙН AP. мЕ ДСЛЮЧ, ВРН ДКЪ АНКЭМНЦН low social class ЛНФМН ЯЩЙНМНЛХРЭ ЕЫЕ Х МЮ МЮ lateral view ;)) рЮЛ РНФЕ ОНЯЛНРПЕРЭ МЮ ЯЛЕЫЕМХЕ ЯКЕДНБЮКН АШ. бН-БРНПШУ, СЙНПНВЕМХЕ 4 ЯЛ Б ЩРНР ПЮГ. еЫЕ АШКН СЙНПНВЕМХЕ ОПХ ОЕПБНЛ ОЕПЕКНЛЕ, ДНОСЯРХЛ n ЯЛ. оНКСВЮЕРЯЪ 4+n, ХКХ ДПСЦХЛХ ЯКНБЮЛХ, ЯЛЕЫЕМХЕ ОН ДКХМЕ ОПЕБПЮЫЮЕРЯЪ Б МЕДНОСЯРХЛНЕ ;))

      б бЮЬЕЛ ЯКСВЮЕ ОЮЖХЕМР ЯСУНЫЮБ, ЛНАХКЕМ (ЛНЦ ЯХДЕРЭ ХКХ ЯРНЪРЭ), МЕ НАКЮДЮЕР ОШЬМНИ ЦПСДЭЧ Х ХЛЕЕР ОНКНФХРЕКЭМШИ НОШР ЙНМЯЕПБЮРХБМНЦН КЕВЕМХЪ ОНУНФЕЦН ОЕПЕКНЛЮ. рСР ДЮ, ЙНМЯЕПБЮРХБМНЕ КЕВЕМХЕ ЛНФЕР ХЛЕРЭ ЛЕЯРН.


      б ОНЯКЕДМЕЕ БПЕЛЪ ДНЛХМХПСЕР ЪБКЕМХЕ ДЕОЕПЯНМЮКХГЮЖХХ НОШРЮ. яЯШКЙЮ МЮ АХАКХНРЕЙС Medline, йНЙПЮМНБЯЙХИ НАГНП ХКХ ХЛ ОНДНАМШЕ ЙПСРН НАПШБЮЧР ДЮКЭМЕИЬЕЕ НАЯСФДЕМХЕ Б МЮЬХУ ЙПСЦЮУ. нАЗЪБКЕМХЕ Н ЯНАЯРБЕММНЛ МЮАКЧДЕМХХ СФЕ ЯВХРЮЕРЯЪ ОН ЙПЮИМЕИ ЛЕПЕ ВЕЛ-РН МЕОПХКХВМШЛ :)) мН ┘ С ЛЕМЪ ЕЯРЭ МЕНАНЯМНБЮММЮЪ МЮ ДНЙЮГЮРЕКЭЯРБЮУ СБЕПЕММНЯРЭ, ВРН ДКХММНИ ЙНМЕВМНЯРХ МЮДН ФЕПРБНБЮРЭ БН ХЛЪ ВЕЦН-РН. мЮОПХЛЕП ОПХ ПЕГЕЙЖХХ НЯРЕНЛХЕКХРМНЦН НВЮЦЮ, ОПХ ЛЮЯЯХБМНЛ ОНБПЕФДЕМХХ ЛЪЦЙХУ РЙЮМЕИ ХКХ МЕЙПНГЕ. йНЦДЮ ФЕ ЕЯРЭ БНГЛНФМНЯРЭ БНЯЯРЮМНБХРЭ ОЕПБНМЮВЮКЭМСЧ ДКХМС Х МЕ БНЯОНКЭГНБЮРЭЯЪ ЩРХЛ ЛНЛЕМРНЛ √ РН ЩРН МЕКНЦХВМН┘ ДЮФЕ МЕ ЯЛНРПЪ МЮ РН, ВРН ТСМЙЖХНМЮКЭМН НПЦЮМХГЛ, бнглнфмн, БНЯЯРЮМНБХР ЯБНХ МСФДШ. вЕКНБЕЙ √ ЬРСЙЮ РЮЙЮЪ, ОПХЯОНЯЮАКХБЮЕРЯЪ ЙН БЯЕЛС.

      мХЙХРЮ


      [ Ответить ]
      • Re: пЕГСКЭРЮР ЙНМЯЕПБЮРХБМНЦН КЕВЕМХЪ ЙНПНРЙНЦН ЙНЯНЦН ОЕПЕКНЛЮ ДХЮТХГЮ ОКЕВЮ БПЮВЮЛХ НАЫЕИ ОПЮЙРХЙХ Б СЯКНБХЪУ ПЮГБХБЮЧЫЕИЯЪ ЯРПЮМШ С АНКЭМНЦН low social class
        Отправитель: адонин 13 Февраль 2010, 01:17
        lateral view у нас в больнице из-за разгильдяйства рентгенперсонала обычно отличается от AP градусов эток на 15-30, так что на нем все тоже хорошо, а показывать здесь, на форуме - нет смысла
        в этот раз укорочение - не более сантиметра, а что там было в прошлый - не знаю, гадать не буду. Может, оно было длинное косое и в тяжелой повязке сраслось с удлиннением :)

        http://emedicine.medscape.com/article/1239985-treatment

        The most common complications associated with plating procedures are iatrogenic nerve palsy (0-5%, with most cases being a transient problem that requires no further intervention) and infection (0-6%)

        ужастно неприятно видеть больногог с параличем лучевого нерва после твоей операции.

        Я в большинстве случаев предлагаю своим больным 6 недельную попытку консервативного лечения - не страстется - потом прооперируем.


        ps не пользуйтесь микрософт эксплорером при написании постов сюда - он регулярно перевирает кодировки


        [ Ответить ]

      • Отправитель: адонин 13 Февраль 2010, 01:17
        lateral view у нас в больнице из-за разгильдяйства рентгенперсонала обычно отличается от AP градусов эток на 15-30, так что на нем все тоже хорошо, а показывать здесь, на форуме - нет смысла
        в этот раз укорочение - не более сантиметра, а что там было в прошлый - не знаю, гадать не буду. Может, оно было длинное косое и в тяжелой повязке сраслось с удлиннением :)

        http://emedicine.medscape.com/article/1239985-treatment

        The most common complications associated with plating procedures are iatrogenic nerve palsy (0-5%, with most cases being a transient problem that requires no further intervention) and infection (0-6%)

        ужастно неприятно видеть больногог с параличем лучевого нерва после твоей операции.

        Я в большинстве случаев предлагаю своим больным 6 недельную попытку консервативного лечения - не страстется - потом прооперируем.


        ps не пользуйтесь микрософт эксплорером при написании постов сюда - он регулярно перевирает кодировки


        [ Ответить ]
      • пЕГСКЭРЮР ЙНМЯЕПБЮРХБМНЦН КЕВЕМХЪ ЙНПНРЙНЦН ЙНЯНЦН ОЕПЕКНЛЮ ДХЮТХГЮ ОКЕВЮ БПЮВЮЛХ НАЫЕИ ОПЮЙРХЙХ Б СЯКНБХЪУ ПЮГБХБЮЧЫЕИЯЪ ЯРПЮМШ С АНКЭМНЦН low social class
        Отправитель: адонин 13 Февраль 2010, 01:17
        lateral view у нас в больнице из-за разгильдяйства рентгенперсонала обычно отличается от AP градусов эток на 15-30, так что на нем все тоже хорошо, а показывать здесь, на форуме - нет смысла
        в этот раз укорочение - не более сантиметра, а что там было в прошлый - не знаю, гадать не буду. Может, оно было длинное косое и в тяжелой повязке сраслось с удлиннением :)

        http://emedicine.medscape.com/article/1239985-treatment

        The most common complications associated with plating procedures are iatrogenic nerve palsy (0-5%, with most cases being a transient problem that requires no further intervention) and infection (0-6%)

        ужастно неприятно видеть больногог с параличем лучевого нерва после твоей операции.

        Я в большинстве случаев предлагаю своим больным 6 недельную попытку консервативного лечения - не страстется - потом прооперируем.


        ps не пользуйтесь микрософт эксплорером при написании постов сюда - он регулярно перевирает кодировки


        [ Ответить ]
    Re: Результат консервативного лечения короткого косого перелома диафиза плеча врачами общей практики в условиях развивающейся страны у больного low social class
    trypolski 12 Февраль 2010, 06:09
    Почему то мне сразу показалось, что это не просто клинический случай, а интересная уловка. Специально ждал развязки.
    Тогда наверно будет наблюдаться такой парадокс. Что малообеспеченные больные из-за отсутствия финансов будут лечиться в гипсовой повязке и в соответствии с последними представлениями зарубежных светил ортопедии. А обеспеченные будут подвергаться различным хитромудрым вмешательствам в зависимости от фантазии врача и их способности оплатить это лечение.
    Насчёт частных клиник, абсолютно согласен – туда большинство как раз и идут, что б их модно прооперировали с использованием новейших методик и ультрасовременной аппаратуры. А на врача, который говорит про гипс – показывают пальцем… «отставший какой-то доктор, какой гипс, про что вы такое говорите!!!»
    Спасибо большое за познавательные уроки.
    P.S.: Я ещё не доктор, а пока только студент. Жаль что у нас таких преподавателей нету.


    [ Ответить ]

    Re: Результат консервативного лечения короткого косого перелома диафиза плеча врачами общей практики в условиях развивающейся страны у больного low social class
    trypolski 12 Февраль 2010, 06:10
    Почему то мне сразу показалось, что это не просто клинический случай, а интересная уловка. Специально ждал развязки.
    Тогда наверно будет наблюдаться такой парадокс. Что малообеспеченные больные из-за отсутствия финансов будут лечиться в гипсовой повязке и в соответствии с последними представлениями зарубежных светил ортопедии. А обеспеченные будут подвергаться различным хитромудрым вмешательствам в зависимости от фантазии врача и их способности оплатить это лечение.
    Насчёт частных клиник, абсолютно согласен – туда большинство как раз и идут, что б их модно прооперировали с использованием новейших методик и ультрасовременной аппаратуры. А на врача, который говорит про гипс – показывают пальцем… «отставший какой-то доктор, какой гипс, про что вы такое говорите!!!»
    Спасибо большое за познавательные уроки.
    P.S.: Я ещё не доктор, а пока только студент. Жаль что у нас таких преподавателей нету.
    [ Ответить ]


    ( Ответить )

    Powered by Zope  Squishdot Powered MedLink
    Посетитель: 0108847
      "По форме правильно, а по существу - издевательство" В.И.Ленин
    ©2001-2019Orthoforum Coordinator.
    [ Главная | Отправить сообщение | Поиск | Админ ]