Ответить
|
Re: Перелом плеча - тактика лечения
Токмаков Руслан 17 Февраль 2010, 11:28
|
Мне кажется от консервативного лечения толку мало будет. Может быть,стоит фиксировать пластиной?Плечевой нерв не выделять отдельно, а в мышечном массиве сдвинуть. Чем раньше оперировать, тем лучше.
|
[
Ответить ]
|
Re: Перелом плеча - тактика лечения
Юрий Алексеевич Булахтин 17 Февраль 2010, 12:45
|
Уважаемый Руслан!
Спасибо за участие в обсуждении случая. Хотелось-бы услышать аргуметы против консервативного лечения. Наши соображения:
1)перелом на границе нижней и средней трети, где риск повреждения нерва (особенно без выделения) максимальный; 2) наложение "тяжелой" функциональной повязки по Г.И. Турнеру (не путать с ортезом а-ля Сормиенто)позволит при длинной линии перелома, с массивным свободным отломком, перекрывающим ее, выставить ось конечности и рано начать движения в плечевом суставе (кроме отведения против которого эта повязка придумана).
С уважением, Юрий Алексеевич Булахтин
|
[
Ответить ]
|
Re: Перелом плеча - тактика лечения
Д.И.Ибрагимов 17 Февраль 2010, 13:13
|
Уважаемый Ю.А.Булахтин!
Каков возраст больного и какие у него требования к функции руки?
Накостный остеосинтез малоконтактной пластиной (при этом использовать некоторые шурупы в пластине как лаговые, по ситуации) более показан так скажем "молодым". Для этого можно временно использовать серкляж, который после остеосинтеза следует удалить.
В остальных случаях я согласен с Вами.
|
[
Ответить ]
|
Re: Перелом плеча - тактика лечения
Отправитель: Юрий Алексеевич Булахтин 17 Февраль 2010, 13:33
|
Уважаемый Д.И. Ибрагимов!
Больному 19 лет, функциональные требования - исходя из того, что он матрос. Молодость в этом случае - аргумент "за" операцию, а вот то, что военный - очень сильно повышает ответственность за результат: если кисть повиснет он не годен к военной службе, подлежит увольнению и будет всю жизнь получать пенсию от Минобороны, как искалеченный военными. Соответственно хирург-автор вмешательства до гроба будет получать пинки за нанесенный Родине материальный ущерб. Но, не смотря на вышесказанное, хотелось бы в первую очередь рассматривать "клиническую ситуацию." Спасибо за участие в обсуждении.
Юрий Алексеевич Булахтин,
главный травматолог Камчатского военно-морского госпиталя
|
[
Ответить ]
|
|
Re: Перелом плеча - тактика лечения
Соловьев Игорь 17 Февраль 2010, 16:15
|
Добрый день. Я считаю, что все аргументы в пользу операции. Положить смоделированную пластину и выделить лучевой нерв. Я не верю в хороший результат консервативного лечения. Если боятся осложнения, то надо всех лечить гипсом! При соблюдении техники операции риска повреждения нерва нет.
|
[
Ответить ]
|
Re: Перелом плеча - тактика лечения
Дядя Вася 17 Февраль 2010, 17:05
|
Если уж оперировать - то без всяких там серкляжей, мостовидным остеосинтезом.
А так - тоже склоняюсь в консервативному лечению, учитывая дополненительную информацию о больном.
Каков механизм травмы? Есть ли снимки в гипсе?
|
[
Ответить ]
|
Re: Перелом плеча - тактика лечения
Михаил Васильев 17 Февраль 2010, 17:35
|
Если рассматривать даный случай с точки зрения как удобней. то лучше вообще отп.п.равить его куда-нибудь в военный госпиталь. А по человечески (предположим это сын лучшего друга). Просто выполнить операцию конструкцией с угловой стабильностью или даже обычной, нерв визуализировать. Техника щадящая. Все коллеги согласятся, что таких операций делали и не раз. И в кратчайшие сроки начать разработку. Я уверен мы еще с этим парнем будем иметь возможность побороздить просторы океана нашего. Страх не причина для хирурга не делать свою работу. Он изначально информирован, значит вооружен (анатомия, опыт и.т.п.). А от осложнений никто не застрахован на 100% - судьба батенька. А при консервативном лечении может возникнуть укорочение конечности нарушение функции и как это не прискорбно, возможно нерв попадет в рубцовые ткани или мозоль, а вто тогда спросят чего это вы так то. Учитывая уровень вопрошающего, я более чем уверен: коллега берите и делайте, если не Вы то кто? С уважением Михаил.
PS: Если кому-то показалось что здесь есть сарказм, увы Вы ошиблись.
|
[
Ответить ]
|
Re: Перелом плеча - тактика лечения
Михаил Васильев 17 Февраль 2010, 17:42
|
Кстати Юрий Алексеевич пишите на E-mail буду рад знакомству, ибо нахожусь далеко от дома, или в аську 599967428. Михаил.
Заранее извиняюсь перед модератором, что использую сайт для знакомств. Михаил
|
[
Ответить ]
|
Re: Перелом плеча - тактика лечения
Нурмет Магомедович Темирханов 17 Февраль 2010, 18:32
|
Доброго времени дня (или ночи?), уважаемый Юрий Алексеевич! Поскольку возраст пациента молодой и имеющаяся картина перелома вполне позволяют провести оперативное лечение малоинвазивным способом - ретроградный остеосинтез стержнем с блокированием UHN. Поверьте, результат будет отличным. Пациент не будет мучиться ношением внешней иммобилизации, ранняя разработка движений, отсутствие проблем с контрактурой смежных суставов и т.д. Потому я сторонник только оперативного лечения. Даже накостный остеосинтез никаких противопоказаний не имеет, а преимущества перед консервативным лечением очевидны. С уважением Н.М.Темирханов
|
[
Ответить ]
|
Re: Перелом плеча - тактика лечения
Адонин 17 Февраль 2010, 20:54
|
Кто что любит - тот то и советует. Странно, что еще нет предложений наложить аппарат:)
Золотой стандарт лечения длинного косого перелома диафиза плеча - консервативное лечение - достаточно открыть любой англоязычный учебник.
Не вижу не малейшего смысла оперировать то, что прекрасно срастется само. Пластина - 5 процентов параличей луча, 1-2 процента инфекции, стресс-переломы в будущем.
Ретроградный гвоздь славится надмышечными переломами, антероградный - 30 процентов имеют боль в плече, связанную с повреждением ротаторной манжеты
Посмотрите внизу страницы - буквалоьно несколько дней назад я инициировал обсуждение по достаточно схожему случаю
|
[
Ответить ]
|
Re: Перелом плеча - тактика лечения
Отправитель: Владимир 17 Февраль 2010, 21:43
|
Уважаемый Юрий Алексеевич! Сколько людей - столько и мнений. В нашей конторе сомнений нет - оперативное лечение. К чему ждать вторичных смещений. Оперируем и довольно часто. Осложнения бывают у всех - на то и хирургия. Работайте аккуратно. Имею в виду накостный остеосинтез. Хотя тема для разговора довольно обширная - что делать с фиксатором после сращения - удалять или нет? У молодого человека - вроде бы надо, но опять операция, опять нерв сниться будет. Не удалять - больному будет сниться пластина... Поговорите с больным, объяснтие все "за" и "против" - он тоже участник процесса лечения.
Вы же можете все, выберите оптимальный вариант для Вас обоих.
Пользуясь случаем - большой привет М. Васильеву (не считаю зазорным передать привет коллеге, пользуясь ресурсами сайта).
|
[
Ответить ]
|
Re: Перелом плеча - тактика лечения
Отправитель: Alexander Chelnokov 18 Февраль 2010, 02:02
|
>антероградный - 30 процентов имеют боль в плече, связанную с повреждением ротаторной манжеты
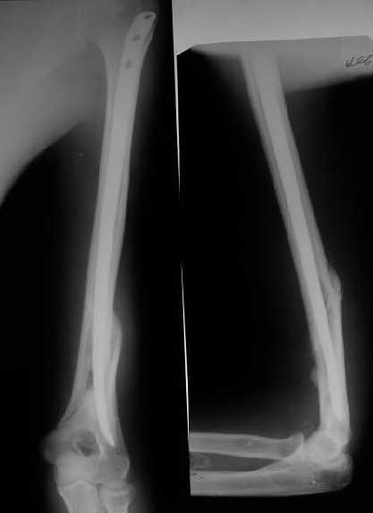
Мы в последние годы все еще используем для переломов такой локализации эластичные титановые стержни (по мотивам ярославских разработок, Зверева-Ключевского). Такой стержень можно вводить не через сухожилие надостной мышцы, а дистальнее.

Снимки до, через 1 и 2 мес. после синтеза.
|
[
Ответить ]
|
|
Re: Перелом плеча - тактика лечения
Иван Куликов 17 Февраль 2010, 23:22
|
Уважаемый Юрий Алексеевич. Больного надо оперировать, это факт, человек молодой, энергичный судя из профессии. необходимо зафиксировать данный перелом тем методом которым Вы лучше всего владеете,(накостный, внутрикостный) в любом случае необходимо добиться стабилизации отломков, восстановление осей итд. а добившись стабильности можно создать комфортные условия для выздоровления пациента (отсутствие иммобилизации) соответственно воспрепятствовать контрактуре в суставах, а нерв может оказатся действительно и в рубце и интерпозицией между отломками и увидите Вы его на операции, и что, бережное отношение никогда не даст нейропатий, а если это и случилось недай бог все восстановимо при правильной терапии. А на счет консервативного метода лечения в иностранной литературе, я думаю, если бы этот случай был скажем в Миссисипи :)) мы бы уже давно рассматривали рентгенограммы малоинвазивного накостного остеосинтеза LCP пластиной, а больной занимался бы ЛФК в амбулаторных условиях :::))
Я ЗА ОПЕРАТИВНОЕ ЛЕЧЕНИЕ!
Удачи в любом случае Юрий Алексеевич.
|
[
Ответить ]
|
Re: Перелом плеча - тактика лечения
Белоконь Александр 18 Февраль 2010, 00:42
|
Уважаемые коллеги! В данном случае, я бы предпочел оперативное лечение, а именно внеочаговый остеосинтез. Аргументы: В отличие от "тяжелой повязки" перелом удалось бы лучше репонировать и аппарат на мой взгляд все же был бы удобней, позволил бы рано начать движения. В отличие от экстракортикального остеосинтеза, удаление аппарата не представляет трудностей, а оставлять "железо у молодого парня... ну не хорошо.
|
[
Ответить ]
|
Re: Перелом плеча - тактика лечения
дмитрий бондарь 18 Февраль 2010, 01:38
|
доброго времени суток, коллеги! Оперировть можно любой перелом, основной вопрос - а стоит ли? полностью согласен с С. Адониным. Если есть возможность - скелетное вытяжение по классике и все спокойны. Р-контроль в динамике, ЛФК. функция восстановится. А вот если нельзя поместить больного в стационар на длительное время, то тогда, конечно, оперировать. Любым из доступных методов.Ну и учесть пожелания больного и родственников.
С уважением Д.Б.
|
[
Ответить ]
|
Re: Перелом плеча - тактика лечения
Александр Н.(Самара) 18 Февраль 2010, 01:43
|
Уважаемые коллеги! Нас с Вами опять затягивают в запретную тему! Разрешите напомнить - у нас в стране нет обязательных стандартов лечения травматологических больных (что особенно важно для военных, да и для других социальных групп)! Уважаемый автор письма, не сомневаюсь, владеет всеми известными методиками оперативного и консервативного лечения. Вы наверное согласитесь со мной, что на выбор врачем тактики лечения влияют очень многие причины. Бесспорных, общепризнанных и т.д..............показаний к оперативному лечению немнго: 1. Открытый перелом, 2. Угроза перфороации......... 3. Неэффективность консервативнго лечения - мы это уже обсуждали.
Могу только поделиться собственным мнением: если есть в наличии современные фиксаторы и инструмент - обязательно бы сделал БИОС-причем открытый (ЭОПА нет)с анатомической адаптацией отломков и (для прокурора) ревизией лучевого нерва (обычно в протоколе пишу - не визуализирован), если нет фиксаторов положил бы Колдуэлла или вытяжение на отводящей шине ЦИТО.
С уважением Александр.
|
[
Ответить ]
|
Re: Перелом плеча - тактика лечения
Отправитель: Alexander Chelnokov 18 Февраль 2010, 02:27
|
Тема "обязательных стандартов" действительно не очень перспективная, и, увы, специфичная для России - такую дурь в развитых странах никто не думает заводить. Простое соображение - нечто сегодня утвердили как стандарт, а завтра появилось что-то лучше - но не моги применять, поскольку есть стандарт. И пока это новое пройдет все инстанции утверждения как новый стандарт, за это время успеет появиться еще что-то лучшее, еще и не раз.
Насчет открытого штифтования при дистальном переломе плеча - не уверен, что это лучше консервативного лечения. Если уж задним доступом открыли - так пластинка просится.
Закрытое штифтование со всех сторон предпочтительнее. И ригидный стержень при дистальных переломах не очень комфортный имплантат. Эластичный стержень позволяет штифтовать переломы на уровне чуть ли не локтевой ямки.
|
[
Ответить ]
|
|
Re: Перелом плеча - тактика лечения
yterpil 18 Февраль 2010, 02:06
|
Всё уже давным давно придумано и просчитано:
http://www.aofoundation.org/wps/portal/!ut/p/c1/04_SB8K8xLLM9MSSzPy8xBz9CP0os3hng7BARydDRwML1yBXAyMvYz8zEwNPQwN3A6B8JJK8gUWAm4GRk6m_oUlwgBFIHr9uP4_83FT9gtyIcgCExWfz/dl2/d1/L0lDU0lKSWdrbUEhIS9JRFJBQUlpQ2dBek15cXchL1lCSkoxTkExTkk1MC01RncvN19DMFZRQUIxQTBPSzRDMDJCSU9JREM1MzBDNi9JX19fXzE!/?showPage=indication&bone=Humerus&segment=Shaft&classification=12-B1
Извините за длинную ссылку:)
Почитайте преимущества и недостатки каждого метода и, скорее всего, склонитесь к LCP
|
[
Ответить ]
|
Re: Перелом плеча - тактика лечения
Отправитель: Alexander Chelnokov 18 Февраль 2010, 02:39
|
Всё уже давным давно придумано и просчитано:
Про эластичный стабильный интрамедуллярный остеосинтез забыли.
|
[
Ответить ]
|
Re: Перелом плеча - тактика лечения
Отправитель: Адонин 18 Февраль 2010, 05:58
|
замечательная ссылка.
Только по ней показано консервативное лечение ( если начать с indications) :)
Конечно , из всех возможных операций стандарт - пластина.
|
[
Ответить ]
|
|
Re: Перелом плеча - тактика лечения
Бережной Сергей 18 Февраль 2010, 02:59
|
Ожогшись по молодости пару раз на нейропатиях после остеосинтеза без визуализации лучевого нерва, взял себе за твердое правило всегда его выделять. С тех пор проблемы нейропатии больше никогда не имел. Только нужно начинать доступ с выделения нерва, а не идти сразу к месту перелома в надежде наткнуться или, наоборот, не наткнуться на нерв.
|
[
Ответить ]
|
Re: Перелом плеча - тактика лечения
Отправитель: Адонин 18 Февраль 2010, 05:54
|
подписываюсь под каждым словом. Длинный "щедрый" разрез , ибо. как говорил мой бывший босс "рана срастается от края к краю, а не от угла к углу" - то есть большая рана заживает так точно , как и малая, и обязательно увидеть нерв, и ассистент держит ретракторы. зная , где нерв. Тьфу-тьфу-тьфу - на том нейропатии и закончились.
А оперировать его все равно незачем :)
|
[
Ответить ]
|
|
Re: Перелом плеча - тактика лечения
Alexander Artemiev 18 Февраль 2010, 03:20
|
Здравствуйте, коллеги.
Думаю, представленный Юрием Алексеевичем случай - не более чем провокация.
В преддверии дня защитника отечества. Ну и военно-морского флота в частности...:)
> А вот если нельзя
> поместить больного в стационар на длительное время, то тогда,
> конечно, оперировать. Любым из доступных методов.Ну и учесть
> пожелания больного и родственников.
Товарищу майору понравилась бы Ваша шутка:)
> Больному 19 лет, функциональные требования - исходя из того, что он матрос.
> Санитарное управление Красной Армии гвозди не закупает...
Написано же - МАТРОС
Думаю, Юрию Алексеевичу нужно пояснить что это за организм и что с ним можно сделать...
"Столько с ним можно сделать!
Столько с ним можно совершить!
Что грудь моя от восторга переполняется,
и от этого восторга я просто немею..."
А.Покровский
Это, правда, про офицеров...
Всем - удачи:)
С уважением Александр Артемьев
Мытищи
|
[
Ответить ]
|
Re: Перелом плеча - тактика лечения
Отправитель: Sereda Andrey 18 Февраль 2010, 04:59
|
Я за консервативное лечение.
|
[
Ответить ]
|
|
Re: Перелом плеча - тактика лечения
Андрей Волна 18 Февраль 2010, 09:29
|
Коллеги, никакой провокацией представленный случай не является. Обычная жизнь. Только вот сама жизнь в нашей стране - это, зачастую, и есть провокация... Готовлюсь к выступлению на ближайшей конференции по остеосинтезу, что спонсируется Деостом. Одно из моих выступлений будет аккурат по этой теме. Думаю, может получиться хорошая дискуссия. В декабре ушедшего года довелось обсуждать эту тему с известным хирургом и так часто нами цитируемым R.Buckley из Канады. Они сейчас начинают новый цикл исследований по плечу под несколько неожиданным углом зрения. Эта встреча во многом и определила тему и развитие моего доклада. Но, об этом - на конференции. Насколько я понял из деостовского поста на форуме оргвзнос для тех, кто не нуждается в проживании в этом комфортабельном отеле существенно ниже, чем заявленные в приглашении 10700 рублей, тк это, наверное, дорого. Так что можно позвонить организаторам и всё уточнить для желающих принять участие.
Возвращаясь к теме, отмечу, что проблема не только в отсутствии единых медицинских стандартов, но, что немаловажно так же - отсутсвие единых стандартов постдипломного повышения квалификации в России. Ещё полшага - и на полном серьёзе начнём обсуждать эффективность применения в данном случае самоскручивающихся проволочек из Новокузнецка, ей Богу. В обозначенных условиях я бы остановился, скорее всего, на collar-and-cuff без всяких там вариаций со скелетным вытяжением какими-то гильзами и так далее.
С уважением, Андрей Волна
|
[
Ответить ]
|
Re: Перелом плеча - тактика лечения
Отправитель: Alexander Chelnokov 18 Февраль 2010, 20:05
|
На сегодня для множества проблем, в т.ч. этой, есть несколько альтернативных решений, которые могут обеспечить практически одинаковый окончательный результат (конечность с полной функцией, правильной длиной и осью). Их специфические достоинства и недостатки трудно впрямую сравнить. Что нам и оставляет бесконечное поле деятельности для дальнейших исследований. :-)
|
[
Ответить ]
|
Re: Перелом плеча - тактика лечения
Отправитель: Andrey Volna 19 Февраль 2010, 13:49
|
Аминь. До встречи! :-)
|
[
Ответить ]
|
|
Re: Перелом плеча - тактика лечения
Исмаил Дибиров 19 Февраль 2010, 13:50
|
Лет десять назад этот вопрос и не обсуждался бы! Закрытая репозиция, может повторная, гипсовая лонгета. Рентген. Дополнительная лонгета в виде "кусачек для сахара". Недели через 3 заменить повязку на короткую. Разрабатывать локтевой сустав. Месяца через полтора - два сращение и полная функция. Есть же повязки Сармиенто. Сейчас, действительно, кто чем владеет и что в наличии. Консервативно при такой длине линии перелома-срастется. Только надо возиться с больным. Намного проще пластину или штифт. Мало ли переломов несросшихся после наших пластин или щтифтов? Ось исправить легко, есть смысл повозиться.
|
[
Ответить ]
|
Re: Перелом плеча - тактика лечения
Anton Kovalenko 19 Февраль 2010, 14:09
|
Доброго времени суток Юрий Алексеевич, Александр Николаевич, Сергей Адонини и все уважаемые коллеги! "И лишь одна мысль не давала ему покоя..."
Никак не могу взять в толк одну вещь, поэтому надеюсь на Вашу помощь.
Почему когда речь идет о нижней конечности среди аргументов сразу всплывают такие мощные аргументы: ранняя функция, нагрузка, качество жизни пациентов и прочий пафос. Речь не о высокоэнергетических переломах и пожилых пациентах с букетом заболеваний, а от тех которые легко лечились скелетным вытяжением в три недели и дальнейшей ЦГП с превосходным косметическим результатом совсем без рубцов. Никто не цитирует Сармиенто, его положительный опыт по консервативному лечению переломов голени. А вот когда речь заходит о плече все вспоминают англицкие учебники, в которых плечо надо лечить консервативно и все тут. Ранняя функция, нагрузка, качество жизни пациентов опять же просто не упоминаются.
Не встаю однозначно на ту или другую сторону, просто этот диссонанс не дает покоя. Ведь процент осложнений оперативного лечения плеча в разы не превышает частоту осложнений оперативного лечения других сегментов? Или я ошибаюсь? Какие Ваши соображения по этому поводу?
--
С уважением, Коваленко А.Н.
|
[
Ответить ]
|
Re: Перелом плеча - тактика лечения
Отправитель: Адонин 20 Февраль 2010, 04:56
|
1 критерии «допустимого смещения» для плеча и голени совсем различные – удовлетворительным стоянием для плеча является ротация до 30 градусов, угол до 20, любое смещение по диаметру, укорочение до 3 см. Большеберцевую все хотели бы видеть вправленной идеально ( в принципе, допустимо 50 % смещение по диамерту)
2 Никогда в жизни не видел правильно наложенной Сорменто на голень. В принципе, возни с этой повязкой столько, что гвоздь вбить быстрее :). В то же время на плечо можно накладывать что угодно – above elbow cast, hanging cast, U-slab, brace, collar and cuff – все дает нормальный результат
3 На голени нет лучевого нерва :)
4 активная мобилизация при переломе голени – профилактика тромбоза глуб вен.. Для плеча это не важно ( только 2-5 % всех тромбозов бывают на верхней конечности)
|
[
Ответить ]
|
Re: Перелом плеча - тактика лечения
Отправитель: Коваленко А.Н. 21 Февраль 2010, 01:13
|
1. Допустимое смещение по диаметру до 50% - уже довольно широкий диапазон допусков.Укорочение нижней конечности допускается до 2 см. Однако ничего из этого даже не обсуждается, если нет общих противопоказаний к оперативному вмешательству - "всех под нож" при наличии имплантов и владении методикой (последнее почему-то не всегда выполняется:().
2. Значит ли это что методика Сармиенто трудно воспроизводима или вообще невоспроизводима? Некоторым проще точно также вбить в плечо гвоздь Зверева-Ключевского без повреждения вращательной манжеты и блокирования и не возится с гипсом вообще и сразу приступить к реабилитации.
3. Осложнений тоже хватает: деформации, несращения, переломы имплантов и прочее. По частоте не думаю, что в процентном отношении осложнений меньше.
4. Гепарины вводятся всем, т.е. профилактику проводят и у лежачих, и у мобильных
Я не против консервативного лечения плеча, и не за стопроцентный консерватиный подход при переломах голени. Настораживает абсолютизм, который навязывается буржуйскими учебниками в отношении лечения переломов плеча.
|
[
Ответить ]
|
|
Re: Перелом плеча - тактика лечения
Коваленко А.Н. 21 Февраль 2010, 02:53
|
По приведенной выше ссылке на сайт материалов AO, есть вкладка данных по доказательной медицине. Данные говорят от том, что явных преимуществ оперативного или консервативного методов не обнаружено. Так что выбор(который уже сделан)за Юрием Алексеевичем, остальные, можно сказать, не причем ;)
|
[
Ответить ]
|
Re: Перелом плеча - тактика лечения
Отправитель: Юрий Алексеевич Булахтин 23 Февраль 2010, 15:26
|
Уважаемые коллеги!
Огромное спасибо всем принимающим участие в дискуссии. Вначале отвечу на поступавшие персональные вопросы: 1. обстоятельства травмы - соревнования по армрестлингу (от себя замечу, что у военных нередкая травма в последнее время! На мой взгляд это связано с вовлечением в это дело неподготовленных людей - командирам нравится, т.к. в плане реквизита намного легче организовать чем традиционное перетягивание каната...). 2. в отношении провокационной составляющей - она присутствует, но лишь в той степени в какой любое инициирование дискуссии несет в себе элемент провокации... 3. про актуальность консервативного лечения - мне кажется это актуально всегда и при любой локализации если врач владеет методом, например, часто наблюдал великолепные функциональные результаты консервативного лечения переломо-вывихов голеностопных суставов... Тут только надо помнить, что "консервативное" это тоже лечение (контроль, тяги, перекладывание повязок), а не просто накладываем гипс и через энное время говорим, что не получилось и берем на операцию.

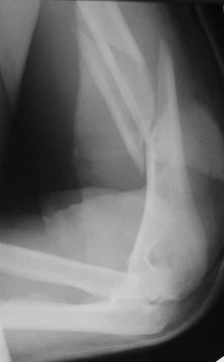
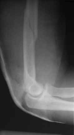
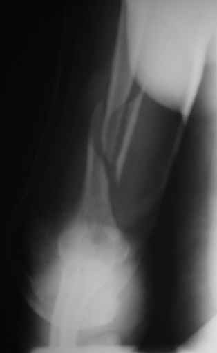
Теперь непосредственно по больному. Лечим функциональной повязкой, добились вот чего (приложение). Будем признательны за дальнейший комментарий - мое мнение, что можно продолжить без операции.
Юрий Алексеевич Булахтин
|
[
Ответить ]
|
|
Re: Перелом плеча - тактика лечения
Афонин Сергей 28 Март 2010, 17:25
|
лежу в больнице в данный момент с подобным переломом плеча со смещением травма наступила во время соревнований по армреслингу. Мне наложили лангетку и я с суботы около 2 часов дня нахожусь ожидании врача который придет в понедельник. У меня вопрос это нормально что я уже два дня лежу с переломанно рукой в лангетке и сколько еще времени можно тянуть???? жду скорейщего ответа и заранее спасибо
|
[
Ответить ]
|
Re: Перелом плеча - тактика лечения
Назарук Андрей 15 Июнь 2010, 22:26
|
Здраствуйте! У меня точно такой же перелом получен в результате соревнований по армреслингу.Сразу после травми рука работала нормально, но в результате НЕ ПРАВИЛЬННОМУ! ноложению гипса и зверской попытке репозиции начала "падать кисть" и сейчас после 2х недель консервативного лечения, прогрес востановления лучевого нерва есть но очень-очень скромный(
Очень хотелось бы услашать какие то подскаски по лечению и связатся из людьми у которых была такая травма или специалистом который имеет опыт лечения.
Зарание очень благодарен!!!
|
[
Ответить ]
|
( Ответить )
|
|