вверх
отправить
поиск
админ
главная
|
Несросшийся чрезвертельный перелом |
 |
 |
 |
Отправлено Андрей 21 Март 2010, 21:14
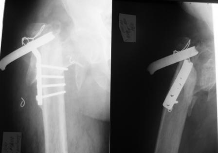
Доброго времени суток! В клинику обратился пациент П., 40 лет с несросшимся чрезвертельным переломом левого бедра, состояние после остеосинтеза Г-образной пластиной, перелом фиксатора. Из анамнеза известно, что травма в 2004 году - лечился консервативно. В течение 2 -х лет наблюдался у травматолога по месту жительства - перелом не сросся. В 2006 году пациенту выполнен остеосинтез несросшегося чрезвертельного перелома левого бедра Г-образной пластиной.В течение 3 -х лет пациент ходил с дозированной нагрузкой на оперированную конечность. В ноябре 2009 года почувствовал резкую боль в области операции, отмечал нестабильность, утрату опороспособности. При осмотре укорочение конечности 7 см. Коллеги, необходимы ваши рекомендации в лечении данного вида последствий травмы. На КТ диагноз подтвержден.
<
|
>
|
|
Ответить
|
Re: Несросшийся чрезвертельный перелом
Лукавин Руслан 24 Март 2010, 00:23
|
Интересно было бы увидеть снимки после операции (думаю у больного что-то да и сохранилось).
По теме: фрагменты пластины полюбому надо удалять. После удаления сходу заменить ее на что-то более существенное. Возможно тут подойдет фиксатор DHS. (Подозреваю что на конструкции подороже денег у пациента может и не оказаться). На счет эндопротезирования - опыта не имею... поэтому оставлю этот вопрос без коментариев.
|
[
Ответить ]
|
Re: Несросшийся чрезвертельный перелом
Максимов Сергей 26 Март 2010, 13:54
|
По моему мнению, оптимальным методом лечения, в данном случае является эндопротезирование тазобедренного сустава. Лучше использовать т.н. ревизионные" имплантаты типа Вагнера, Helios и т.п. С уважением.
Без имени-1копирование.jpg
35KB (36132 bytes)
|
[
Ответить ]
|
Re: Несросшийся чрезвертельный перелом
Отправитель: Дмитрий бондарь 28 Март 2010, 22:23
|
Больному всего 40 лет, думаю стоит побороться за сустав. После ревизионных ножек куда дальше? Онкологические?
С уважением Д.Б.
|
[
Ответить ]
|
Re: Несросшийся чрезвертельный перелом
Отправитель: Максимов Сергей 29 Март 2010, 00:12
|
Если наша цель бороться за сустав - возможно, если за качество жизни больного - лучше эндопротезирование. В случае реостеосинтеза риск лет через 5 (пять) получить выраженный посттравматический ДА или, в более короткие сроки, асептический некроз головки как раз очень велик у пациентов от 40. Будем "резать хвост" по-частям? И после ревизионных ножек будет снова... ревизионная ножка. Какие основания думать по другому? На данный момент нет информации, что у больного онкология или системное поражение, так причем тут "онкологические" эндосистемы?
С уважением, Сергей.
|
[
Ответить ]
|
Re: Несросшийся чрезвертельный перелом
Отправитель: Нурмет Темирханов 31 Март 2010, 14:33
|
Если в течение 6 лет не произошел асептический некроз головки, то почему же он произойдет после операции DHS системой? Я думаю, что на самом деле, учитывая возраст пациента, оптимальный будет вариант органосохраняющей операции, т.е DHS или гамма гвоздь. С уважением
|
[
Ответить ]
|
Re: Несросшийся чрезвертельный перелом
Отправитель: Максимов Сергей 03 Апрель 2010, 05:26
|
Уважаемый Нурмет Термирханов, вы серьезно считаете что после 6 лет такого положения проксимального отдела бедра, там есть еще что сохранять? К сожалению качество снимка не позволяет судить о степени дегенерации в суставе, но можно смело предположить, что ДА там уже "цветет" в полную силу.А еще локальный остеопороз (нагрузка не адекватная), а еще металлоз (металлоконструкция не стабильная). Кроме того посттравматическая контрактура (куда без неё при таком стояние отломков). После манипуляций по репозиции, достаточно агрессивных (лигоментотаксис здесь не поможет)и дополнительных отверстий -каналов в головке - все предпосылки для АН последней. Впрочем, для дальнейших проблем больного достаточно и остеоартроза. Как раз артропластика и является для больного органосохраняющей, так как восстанавливает не только орган (конечность), но и его функцию (движение и опороспорсобность), причем в относительно короткие сроки. Вы же предлагаете сохранить не орган, а часть его, причем уже компремированную, с сомнительной перспективой длительного хождения с костылями (остеопороз!)и ограничения движения в суставе (ликвидировать контрактуру одним восстановлением костной анатомии через 6 лет маловероятно) и болевым синдромом, обусловленным двумя предыдущими причинами.
С уважением, Сергей.
|
[
Ответить ]
|
|
Re: Несросшийся чрезвертельный перелом
Андрей 06 Апрель 2010, 03:53
|
Уважаемые коллеги, учитывая возникшие вопросы по определению дальнейшей тактике лечения, выкладываю томограммы.
P1020429.JPG
97KB (99604 bytes)
|
[
Ответить ]
|
( Ответить )
|
|