AOTRAUMA.ORG Центр Илизарова  

Ортопедия и травматология Общие вопросы/General questions Help Информационные технологии в медицине
 вверх
 отправить
 поиск
 админ
 главная


Забытая методика остеосинтеза
Ортопедия и травматология Отправлено Савочкина Мария Александровна 27 Апрель 2010, 23:23 МУ ДГБ
Отдалённый результат забытого метода
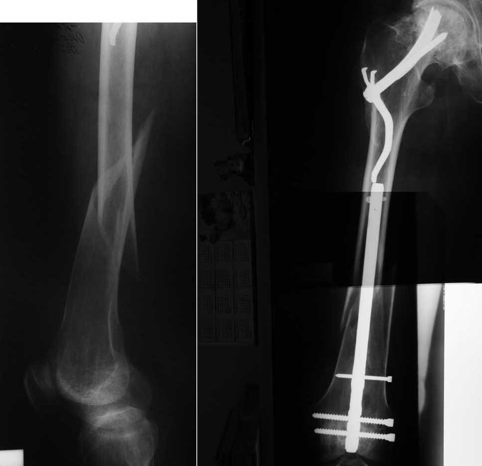
Хотим напомнить о забытом, эффективном методе остеосинтеза медиальных переломов шейки бедренной кости. Пациенту 55 лет был выполнен остеосинтез медиального перелома шейки бедренной кости фиксатором Сеппо 15 лет назад. В течение этих лет пациент жил не тужил, пока в марте сего года не получил перелом диафиза этого же бедра. Мы сочли единственно возможным применение в данной ситуации метода остеосинтеза штифтом с ретроградным введением. С удовольствием выслушаем ваши мнения. Возможно у кого-то ещё есть опыт применения фиксаторов Сеппо. Доктор Головач О. Н., доктор Савочкина М. А., г. Дзержинский, Подмосковье.

<  |  >

 

  • Сообщения о Ортопедия и травматология
  • Также Савочкина Мария Александровна
  • Связаться с автором
  • Ответить

    Re: Забытая методика остеосинтеза
    николай васильевич 28 Апрель 2010, 12:24
    В 1984г под руководством Аренберга А.А. мы в городской больнице №33 г. Москва /Сокольники/ поставили фиксаторы Сеппо нескольким пациентам с переломом шейки бедренной кости.
    Результаты великолепные у всех пациентов.
    Переломы срослись и у двух пациентов которых
    волей случая я наблюдал 20 лет после операции
    функциональный результат отличный.
    Установка фиксатора проста и малотравматична,
    не требует ИОП,но необходима репозиция на ортопедическом столе.
    Фиксатор разработан травматологом с инженерным образованием и технические характеристики прочности расчитаны по тем же законам, что и фиксаторы АО.


    [ Ответить ]

    Re: Забытая методика остеосинтеза
    Maxim Agalakov 28 Апрель 2010, 17:32
    в чем с-но прикол? Зачем использовать именно эти фиксаторы? Насколько лучше результаты по сравнению с другими? Кому и почему интересен опыт их использования? И самый важный вопрос- когда возник некроз головки? Как протез будете ставить? BHR?
    [ Ответить ]

    • Re: Забытая методика остеосинтеза
      Отправитель: Sereda Andrey 29 Апрель 2010, 01:06
      На этой неделе эндопротезировали пациента с аналогичной конструкцией. Только в качестве демпфера была спица. Гвоздь Смит-Петерсона плюс спица.

      [ Ответить ]
    Re: Забытая методика остеосинтеза
    Alexey Semenisty 29 Апрель 2010, 13:32
    А с какой целью дистальное блокирование произведено в медиально-латеральном направлении, а не наоборот, как рекомендуется любым производителем? Хочется надеяться, что проксимальный винт проведен спереди назад, а не наоборот...
    [ Ответить ]

    • Re: Забытая методика остеосинтеза
      Отправитель: Савочкина Мария 29 Апрель 2010, 15:08
      Уважаемый Алексей Юрьевич. Приносим свои извинения за неверное сопоставление двух рентгеновских пленок. Конечно же дистальное блокирование произведено с латеральной стороны.

      [ Ответить ]
      • Re: Забытая методика остеосинтеза
        Отправитель: Савочкина Мария 29 Апрель 2010, 15:10
        Проксимальный винт введен спереди назад. Спасибо за внимательность!

        [ Ответить ]
        • Re: Забытая методика остеосинтеза
          Отправитель: Ольга Андреевна 01 Май 2010, 16:06
          Есть ли статистика по отдаленным результатам остеосинтеза данным фиксатором в сравнении с другими(гвоздь,винты)-или это единичное наблюдение?
          И еще-этот фиксатор позволяет раннюю нагрузку-со 2-3 дня после операции?


          [ Ответить ]
          • Re: Забытая методика остеосинтеза
            Отправитель: Sereda Andrey 02 Май 2010, 15:04
            "И еще-этот фиксатор позволяет раннюю нагрузку-со 2-3 дня после операции?"

            Уважаемая Ольга, даже если бы фиксатор и позволял, для минимизации риска остеонекроза головки при переломах шейки бедренной кости нагрузку целесообразно отсрочить.

            [ Ответить ]

     

    ( Ответить )

    Powered by Zope  Squishdot Powered MedLink
    Посетитель: 0000104
      "По форме правильно, а по существу - издевательство" В.И.Ленин
    ©2001-2019Orthoforum Coordinator.
    [ Главная | Отправить сообщение | Поиск | Админ ]