AOTRAUMA.ORG Центр Илизарова  

Ортопедия и травматология Общие вопросы/General questions Help Информационные технологии в медицине
 вверх
 отправить
 поиск
 админ
 главная
 Предыдущее


Re: Голеностопный артродез vs остеосинтез
Бережной Сергей 01 Май 2010, 14:39


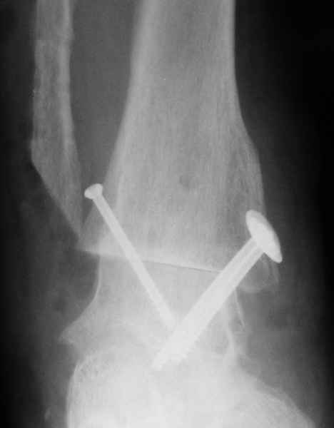
На фоне свищевой формы остеомиелита (скорее всего, речь идет об этом) о любой одноэтапной реконструктивной операции думать сложно. Если же все-таки решаться на одноэтапную операцию, то только убедившись, что гнойный процесс ограничивается внутренней лодыжкой. В этом случае возможен артродез с резекцией лодыжек (как на представленной рентгенограмме). Подобная операция позволяет относительно легко установить кости в оптимальное для артродеза положение, а также устранить гнойный очаг.

  • Сообщения о Ортопедия и травматология
  • Также Бережной Сергей
  • Связаться с автором
  • Ответить

    Re: Голеностопный артродез vs остеосинтез
    Андрей Волна 03 Май 2010, 11:00
    Сергей, в случае гнойного остеоартрита голеностопного сустава - резекция сустава с артродезированием аппаратом (я предпочитаю
    Илизарова, но, возможны варианты) не только реконструктивная, но и санирующая операция. И наоборот. Конечно, это опасно при использовании погружных конструкций. Но это одна из ситуаций, когда аппарат необходим, тк зачастую трудно добиться прекращения гнойного процесса без формирования надежного костного анкилоза. Поэтому я бы предпочел здесь одноэтапное вмешательство с послеоперационной нагрузкой весом тела в аппарате. С уважением, Волна
    [ Ответить ]


    ( Ответить )

    Powered by Zope  Squishdot Powered MedLink
    Посетитель: 0015341
      "По форме правильно, а по существу - издевательство" В.И.Ленин
    ©2001-2019Orthoforum Coordinator.
    [ Главная | Отправить сообщение | Поиск | Админ ]