ВХОД ДЛЯ ПАЦИЕНТОВ
вверх
поиск
админ
главная
|
Голеностопный артродез vs остеосинтез |
 |
 |
 |
Прислано Алексей Минервин 01 Май 2010, 04:33
из
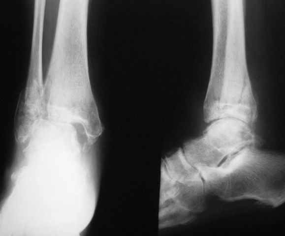
На прием обратилась женщина 50 лет с неправильно сросшимся переломом наружной лодыжки и наружным подвывихом стопы.
Травма в октябре 2009 года - подвернула стопу (на настоящий момент 6 месяцев): открытое повреждение правого голеностопного сустава: закрытый перелом наружной лодыжки с вывихом стопы кнаружи, разрыв дельтовидной связки (рана по внутренней поверхности около 8 см). При поступлении произведено вправление вывиха, трансартикулярная фиксация голеностопного сустава спицами и ПХО раны. Заживление раны осложнилось краевым некрозом, рана зажила вторичным натяжением. Около недели назад открылся свищ с серозно-гнойным скудным отделяемым. В настоящее время имеется отек, движения в голеностопном суставе резко ограничены, стопа в нейтральное положение не выводиться (угол около 5 градусов подошвенного сгибания), ходит (около 1 месяца) с частичной опорой, полная нагрузка болезненна.
Разделилось мнение коллег по поводу дальнейшей тактики:
1. Остеотомия н/лодыжки по месту перелома и остеосинтез
2. Артродез
3. Консервативное лечение с последующим артродезом (когда "совсем плохо будет")
Сама больная высоких требований не предъявляет, в принципе согласна на любое предложенное лечение, понимает, что как раньше уже не будет.
Уважаемые коллеги, прошу высказаться на ваш взгляд с оптимальной тактикой в данном случае. Стоит ли еще "побороться за этот сустав"?
Спасибо!
Обратите внимание: Поля с жирными названиями обязательны.
Старайтесь отвечать в рамках обсуждаемой темы, а не начинать новые обсуждения.
Указывайте адекватную тему сообщения, чтобы было ясно, о чем оно.
Не послайте сообщений не по теме (оффтопик), раздраженных, грубых или обидных комментариев. Здесь это неуместно.
|