Ответить
|
Re: Застарелый перелом лодыжек
Gennady Tenison 07 Май 2010, 14:35
|
Евгений!. Вы сами ответили на вопрос. Оперировать безусловно, восстановить длину малоберцовой кости, позиционный винт и винты на внутреннюю лодыжку. Послеоперационное ведение как при свежем переломе, отсчет от дня операции, о потерянных двух месяцах придется больной забыть.
С уважением Геннадий.
|
[
Ответить ]
|
Re: Застарелый перелом лодыжек
Отправитель: Андрей Волна 07 Май 2010, 23:33
|
Да, абсолютно точно, Геннадий Вильгельмович. Разделяю Ваше мнение.
Единственное, в таких случаях более мощную пластину взамен классической 1/3 трубки предпочитаю выбирать. Или переходную метафизарную, что дороже. Или реконструктивную. Что бюджетнее.
С уважением. Волна
|
[
Ответить ]
|
|
Re: Застарелый перелом лодыжек
Дедок Михаил 07 Май 2010, 23:11
|
Оперировать + ранее функциональное лечение.
Удачи
|
[
Ответить ]
|
Re: Застарелый перелом лодыжек
Евгений 08 Май 2010, 00:24
|
Уважаемые коллеги, спасибо за помощь. Подберём более мощную пластину (есть в наличии малоконтактные). Фрагмент внутренней лодыжки небольшой, думаем синтезировать спицами и проволочным серкляжом.
|
[
Ответить ]
|
Re: Застарелый перелом лодыжек
Бережной Сергей 08 Май 2010, 00:57
|
Проволочный серкляж для внутреней лодыжки приведет к значительно большей травматичности вмешательства. Вполне можно обойтись 2 спицами или спицей и винтом. Все-таки основное внимание должно быть уделено наружной лодыжке. И, учитывая имеющийся регионарный остеопороз, лучше пусть будет более тонкая блокируемая пластина, чем мощная без возможности блокирования.
|
[
Ответить ]
|
Re: Застарелый перелом лодыжек
ANDREW 08 Май 2010, 02:33
|
А в чем вы видите большую травматичность при остеосинтезе по Веберу внутренней лодыжки? По-моему в предстевленном случае остеопоротические изменения могут привести к разлому лодыжки при остеосинтезе, а фиксация по Веберу даст не меньшую стабильность.
|
[
Ответить ]
|
Re: Застарелый перелом лодыжек
Бережной Сергей 08 Май 2010, 02:56
|
Большая травматичность при остеосинтезе по Веберу определяется необходимостью обнажения проксимальной части лодыжки для проведения проволоки. И неплохо было бы запланировать какую-нибудь стимуляцию остеогенеза на такое вмешательство. Дешевле и эффективнее взять с крыла подвздошной кости. Но это на вкус хирурга.
|
[
Ответить ]
|
|
|
Re: Застарелый перелом лодыжек
Бережной Сергей 08 Май 2010, 21:33
|
На рекомендованном Вами рисунке как раз отлично видна большая травматичность вмешательства в сравнении с остеосинтезом 2 спицами или спицей и винтом.
Tension band.doc
60KB (61952 bytes)
|
[
Ответить ]
|
Re: Застарелый перелом лодыжек
Александр А. 09 Май 2010, 00:38
|
Уважаемый Евгений!
Безусловно операция необходима. Думаю после востановления латерального компонента составляющей сустава, в сопоставлении медиальной лодыжки проблем не будет, а фиксация (каким способом лучше владеете), если уж хочется совсем малоинвазивно - канюлированные компрессирующие винты, а вобще думаю абсолютно не имеет значение разрез 3см или 3см3мм.
Вот только исходя из личного опыта считаю, что через два месяца после травмы позиционного винта на синдесмоз будет мало, не обойтись без старого доброго болта-стяжки, (по крайней мере у меня не получалось, это не свежая травма). Тем более послеоперационный период предполагается без внешней иммобилизации с ранним включением функции.
Спасибо.
|
[
Ответить ]
|
Re: Застарелый перелом лодыжек
Постников Олег 11 Май 2010, 18:26
|
Уважаемые коллеги,поделитесь пожалуйста, какими уловками и хитростями пользуетесь для репозиции застарелых переломов лодыжек с сопутствующим разрывом межберцового синдесмоза и подвывиха стопы кнаружи, особенно при постиммобилизационном остеопорозе. Сам перепробовал многое( КДА, вытяжение на ортопедическом столе, ручную репозицию), но полного удовлетворения не получается, переломы группы С репонируются достаточно тяжело, трудно восстановить длину малоберцовой кости.
|
[
Ответить ]
|
Re: Застарелый перелом лодыжек
Отправитель: Александр Петрушин 11 Май 2010, 20:19
|
Уважаемый Олег! При сохраняющемя смещении по длине латеральной лодыжки или нижней трети м/берцовой кости, особенно застарелых повреждениях, показано оперативное лечение. Любые консервативные методы вряд ли могут привести к удовлетворительному результату.
С уважением, Александр Петрушин.
|
[
Ответить ]
|
|
Re: Застарелый перелом лодыжек
Постников Олег 11 Май 2010, 22:53
|
Коллеги,прошу прощения, я неправильно сформулировал вопрос, интересуют именно интраоперационные приёмы восстановления длины малоберцовой кости. Вытяжение по оси с помощью цуг-аппарата, применение спицевого дистрактора, ручное вправление смещенных отломков с провизорной фиксацией спицами к большеберцовой кости, вытяжение дистального отломка наружной лодыжки с помощью костодержателя Олье или цапки? Или какие-то ещё хитрости применяемые Вами в Вашей практике? Поделитесь пожалуйста. С уважением.
|
[
Ответить ]
|
Re: Застарелый перелом лодыжек
Тенисон Геннадий 13 Май 2010, 09:51
|
В последней книге Hardy Weber'a Minimax fracture fixation в главе 5 описана и показана на рисунках методика удлинения м\б кости с помощью дистракционного устройства. Сам пользовался 4 раза и могу сказать, что работает замечательно.
С уважением Геннадий.
|
[
Ответить ]
|
Re: Застарелый перелом лодыжек
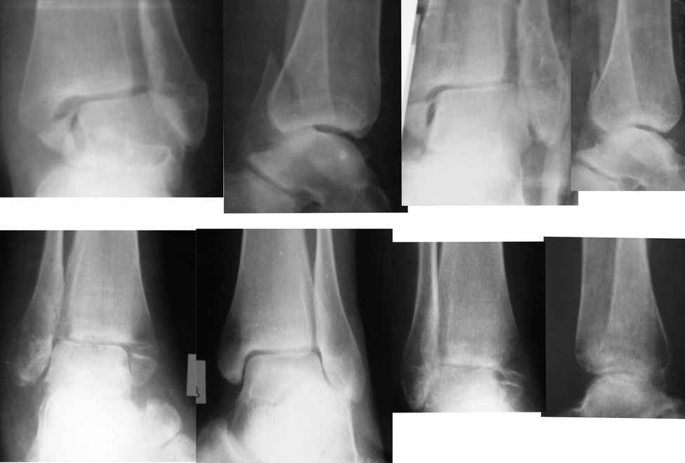
ANDREW 14 Май 2010, 23:44
|

Завершая презентацию случая хотим показать результат операции. Прооперировали больную в соседнем отделении. На операции выраженый рубцовый процес в области синдесмоза, остеопоротические изменения в области медиальной и латеральной лодыжек. Провели удаление рубцовой ткани, остеосинтез медиальной и латеральной лодыжек с позиционным винтом на синдесмоз. Фото прилагаем. Благодарим за отзывы.
|
[
Ответить ]
|
Re: Застарелый перелом лодыжек
Denis123456 09 Декабрь 2010, 01:13
|
У меня аналогичный перелом, сделали операцию поставили 2 спицы, пластину, укреплённую 4 болтами! Мне 17 лет, студент Одесского медина! Скажи пожалуйста, долго ли надо ходить и какие последствия такой травмы?
|
[
Ответить ]
|
( Ответить )
|