Ответить
|
Re: Ошибка в установке вертлужного компонента
Bagrat Grigorian 26 Май 2010, 09:18
|
Уважаемый Станислав! Впадина недоработана, антеверзии нет, можно было на размер меньше взять тазовый компонент. Если заднего вывиха не произойдет, может все обойдется.
|
[
Ответить ]
|
Re: Ошибка в установке вертлужного компонента
Сергей Никитин 26 Май 2010, 16:32
|
Какой доступ использовали? Насколько он был травматичен? Я бы дождался полного заживления раны и через пару месяцев выполнил ревизию с заменой чашки, вкладыша и, скорее всего, головки. По снимку похоже что установлена короткая головка, после переустановки чашки в правильную позицию, скорее всего, потребуется стандартная или даже плюсовая.
|
[
Ответить ]
|
Re: Ошибка в установке вертлужного компонента
Отправитель: Станислав Дмитриев 26 Май 2010, 19:10
|

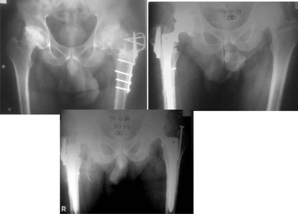
Доступ по Хардингу. Головка действительно S.
Чашка конечно же Variocup(Varioloc - ножка). После "погружения" чашки головку скорее всего придется менять на M или L.
Больной приобретал протез за счет собственных средств. То есть тут еще проблемы материального и, как следствие - этического плана.
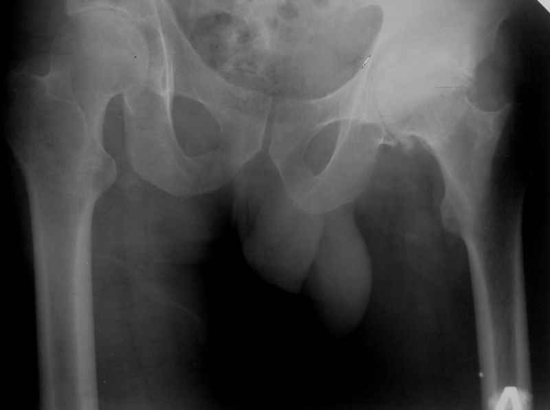
Исходный сустав в приложении.
|
[
Ответить ]
|
Re: Ошибка в установке вертлужного компонента
Отправитель: Сергей Никитин 27 Май 2010, 14:27
|
На мой взгляд, правильнее всего иметь на ревизионной операции полную линейку компонентов. Чашка тоже, скорее всего, будет больше после того как вы полноценно обработаете впадину и срубите остеофиты.
|
[
Ответить ]
|
|
Re: Ошибка в установке вертлужного компонента
Rashid Tikhilov 27 Май 2010, 17:07
|
Уважаемый Станислав,
Ситуация неоднозначная, сколько специалистов, столько и мнений. Выскажу свое на основании нескольких подобных же ситуаций. Если во время установки Вы получили достаточно плотное заклинивание чашки в ВВ, плюс к этому усилили фиксацию 2-я винтами, которые так же встали плотно, то ничего страшного не происходит. Мы ведь нередко пользуемся при ревизии приемом, когда центральный дефект пластируем стружкой и вся надежда на фиксацию чашки в "риме". Если же этого пресс-фит эффекта Вы не получили и лишь "прикрутили" чашку винтами, тогда нет смысла ждать, надо исправлять ситуацию.
С уважением, Р.Тихилов
|
[
Ответить ]
|
Re: Ошибка в установке вертлужного компонента
Отправитель: Станислав Дмитриев 27 Май 2010, 22:10
|
Уважаемый Рашид Муртузалиевич! Чашка поставлена плотно даже без винтов. Пациент достаточно активного образа жизни, есть опасения, что чашку раскачает через непродолжительное время (несколько месяцев). Про прочие проблемы, помимо чисто медицинских я уже упомянул. Для себя мы уже решили идти на ревизию, спланировали ход вмешательства, проиграли различные нештатные ситуации, подготовили соответствующий инструмен и импланты. С больным все обговорено - все риски и возможные осложнения. Достигнуто, я надеюсь взаимопонимание. Всем спасибо! Операцию запланировали на будущий вторник. Сообщу о результатах.
|
[
Ответить ]
|
|
Re: Ошибка в установке вертлужного компонента
Ильдар Ф.Ахтямов 28 Май 2010, 14:29
|
Уважаемый Станислав! Вас беспокоит только рентгенограмма, или есть жалобы со стороны пациента? Чашка села плотно, вы уверены в её первичной стабильности. Какие проблемы? Будут таковые, будете их решать.
Ps. Для информации,поскольку я не работал с этой контрукцией - какой диаметр головки ЭП? АИФ
|
[
Ответить ]
|
Re: Ошибка в установке вертлужного компонента
Отправитель: Станислав Дмитриев 28 Май 2010, 18:06
|
Уважаемый Ильдар Фуатович! Диаметр головки 32 мм. Жалоб со стороны пациента ПОКА нет. После операции срок никакой, пациент практически не начал нагрузку на оперированную конечность(только "весом конечности"). Повторюсь, что чашка стоит стабильно, в принципе можно было обойтись и без винтов. Сомнения в плане "недогруза" чашки были во время операции - пальпацией зондом через центральное отверстие, но, как говорится, "бес попутал".
|
[
Ответить ]
|
|
Re: Ошибка в установке вертлужного компонента
Maxim Agalakov 28 Май 2010, 22:37
|
Если вы выполнили импакционную пластику "дна" - то волноваться особо не стоит (разве, что чашка поставлена несколько вертикально, что чревато чрезмерным износом полиэтилена), если нет, то риск асептического расшатывания очень велик, т.к. при диастазе между чашкой и костью в 2-3 мм расcчитывать на ongrowth, тем более на ingrowth не приходится. Если случился вариант 2, я бы выполнил ревизию в принятые для вашей конторы сроки (наверное после снятия швов и чистой коже), честно поговорив перед этим с пациентом.
С уважением Максим, Е-бург.
|
[
Ответить ]
|
Re: Ошибка в установке вертлужного компонента
Отправитель: Станислав Дмитриев 28 Май 2010, 23:49
|
Максим,спасибо за ответ. Между чашкой и дном - пустота. Фиксация только по краю и на винтах. Я считаю, что при нагрузке все очень быстро "развалится". Спрашиваю так настойчиво, ибо с такой ситуацией столкнулся впервые. Собственно, решение уже принято, с больным беседа проведена. На следующей неделе попытаемся взять на ревизию.
С уважением, Станислав. Н.Новгород(вместе были на симпозиуме по тазу в Москве)
|
[
Ответить ]
|
Re: Ошибка в установке вертлужного компонента
Отправитель: Maxim Agalakov 30 Май 2010, 14:13
|
это вам спасибо за вопрос, подобные ситуации не редки, но такую проблему предпочитают не афишировать
|
[
Ответить ]
|
|
Re: Ошибка в установке вертлужного компонента
Musa Maysigov 29 Май 2010, 01:14
|
Не знаком с этой чашей, но вижу некий заступ по краю экватора - напоминает durom от зиммера. Есть наблюдения по этим чашам, поначалу с технологией не разобрались, многие непогруженными оказывались, но в течение 2 лет расшатывания не происходило.
|
[
Ответить ]
|
Re: Ошибка в установке вертлужного компонента
Анатолий Канзюба 31 Май 2010, 00:54
|
Хотелось бы увидеть рентгенограмму до имплантации. Погружение достаточное, хороший контакт с костным ложем. Центр вращения сустава сохранен. Мне кажется выбрана большая "чашка". Во всяком случае - не стоит ничего менять. Канзюба А.И.
Исходная рентгенограмма?
|
[
Ответить ]
|
Re: Ошибка в установке вертлужного компонента
Отправитель: Станислав Дмитриев 31 Май 2010, 19:58
|
Исходная R- гр см. выше.
|
[
Ответить ]
|
|
Re: Ошибка в установке вертлужного компонента
шухрат 31 Май 2010, 15:15
|

Уважаемый Станислав!
У меня опыт по эндопротезированию совсем небольшой. Еще 5 лет тому назад у нас в городе не было протезирования. Во вложении снимки одного больного из нашего города. который оперировался в 1999 году в Южной Корее. разница по времени замены второго сустава 11 дней. Больной по настоящее время ходит без проблем, особых жалоб не предъявляет, весит он 98 кг. Может быть есть смысл подождать, по наблюдать а оперировать никогда не поздно.
Удачи Вам!
|
[
Ответить ]
|
Re: Ошибка в установке вертлужного компонента
Отправитель: Станислав Дмитриев 31 Май 2010, 20:03
|
К сожалению на снимках чашки просматриваются плохо. Вопрос: слева в бол. вертеле винт(на снимках после ТЭП). Это доступ с отсечением или что?
|
[
Ответить ]
|
Re: Ошибка в установке вертлужного компонента
Отправитель: Шухрат 31 Май 2010, 22:03
|
дело в том,что на снимках после замены второго сустава прослеживается ход дренажной трубки, т.е снимок контрольный сразу же после операции. Если этот доступ был с отсечением большого вертела, то не прослеживается линия остеотомии. По началу я тоже так и подумал, я считаю, что винт выполняет роль клина для стабильности ножки. Что касается качества снимков то согласен, но судя по контурам вертлужного компонента он напоминает ваш снимок.
|
[
Ответить ]
|
Re: Ошибка в установке вертлужного компонента
Отправитель: Станислав Дмитриев 01 Июнь 2010, 18:47
|
Сегодня все-таки выполнили ревизию вертлужного компонента. Действительно, чашка держалась только по окружности, относительно легко удалилась. Так что тактику считаю правильной, ибо ловить при такой установке особо нечего было. Нестабильность в блишайшее время была бы обеспечена. Снимки после переустановки в приложении. Качество, конечно не ахти какое, это сделано на столе на плохом аппарате. Посадка проконтролирована визуально через центральное отверстие. Головку не снимали, оставили короткую. Если до ревизии длина левой ноги была +1 см, то после D=S. Теперь осталось молиться, чтобы не было осложнений. Вроде бы все прошло не травматично.
01062010120.jpg
66KB (68415 bytes)
|
[
Ответить ]
|
|
Re: Ошибка в установке вертлужного компонента
Булахтин Юрий Алексеевич 03 Июнь 2010, 03:42
|
Вообще-то, минимальное R-исследование для оценки результата эндопротезирования - снимок таза стоя с захватом обоих ТЗБ. Иначе потом можно "неожиданно" узнать что "+" поменялся на "-" и т.д....
С уважением, Ю.А. Булахтин
|
[
Ответить ]
|
Re: Ошибка в установке вертлужного компонента
Отправитель: Станислав Дмитриев 03 Июнь 2010, 22:12
|
Юрий Алексеевич! Это все конечно, верно, все правильно (с). Я уже сказал, что снимок сделан на столе, тем более на плохом аппарате. Снимок таза с захватом обоих суставов - это стандарт. "Поставим" пациента и сделаем непременно.
|
[
Ответить ]
|
|
( Ответить )
|
|