ВХОД ДЛЯ ПАЦИЕНТОВ
вверх
поиск
админ
главная
|
Неправильно консолидирующийся перелом бедра |
 |
 |
 |
Прислано Пименов Владимир 10 Июнь 2010, 18:58
из
Уважаемые коллеги! Прошу помощи по приведенному случаю.
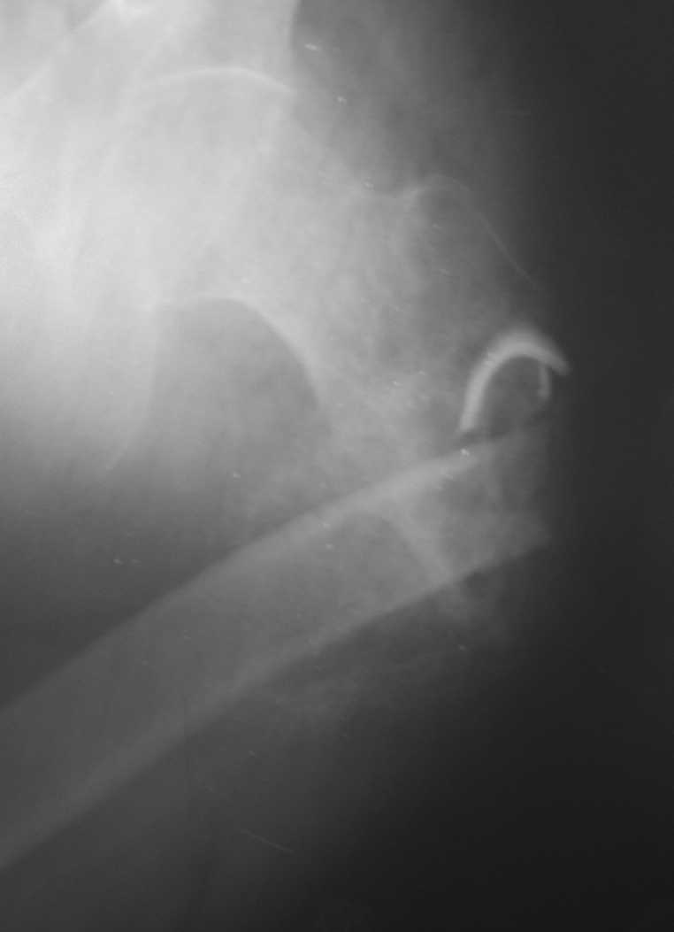
Пациент 34 лет бомж получил травму окло 1,5-2 мес назад. За мед помощью не обращался. При поступлении левая нижняя конечность резко ротирована кнутри, варусная деформация бедра. По наружной поверхности рана 2 на 2 см с незначительным серозно гнойным отделяемым,умеренными грануляциями, в ране дистальный отломок бедреной кости. Патологическая подвижность в области перелома назначительная. Проведена попытка репозии дистракционным аппаратом, с незначительным эффектом (несколько уменьшилась внутренняя ротация.Что делать дальше? Остеотомия? Санация гнойного очага
Обратите внимание: Поля с жирными названиями обязательны.
Старайтесь отвечать в рамках обсуждаемой темы, а не начинать новые обсуждения.
Указывайте адекватную тему сообщения, чтобы было ясно, о чем оно.
Не послайте сообщений не по теме (оффтопик), раздраженных, грубых или обидных комментариев. Здесь это неуместно.
|