AOTRAUMA.ORG Центр Илизарова  

Ортопедия и травматология Общие вопросы/General questions Help Информационные технологии в медицине
 вверх
 отправить
 поиск
 админ
 главная


Ложный сустав таза
Ортопедия и травматология Отправлено Жорж Эл Хашем 26 Июль 2010, 20:55
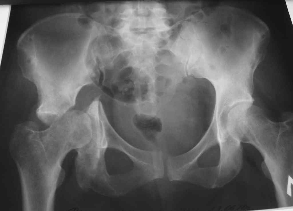
Доброе время суток уважаемые коллеги. На обсуждение выносится пациентка 42 лет. Травма 7 месяцев назад - ДТП. В одной из районных больниц выполнена фиксация таза и бедра в аппарате.
Через 4 мес. аппарат демонтирован. На контрольных рентгенограммах через 3 недели после демонтажа аппарата выяснилась данная рентгенкартина и пациентка направлена к нам в клинику с диагнозом ложный сустав дна вертлужной впадины.При визуальном осмотре пациентка находится на постельном режиме с момента травмы. Не активизирована.
Мнения о тактике лечения в отделении разошлись.То ли выполнить (насколько это возможно в такие сроки) открытую репозицию с костной аутопластикой и экстракортикальным остеоситнезом, то ли идти на первичное эндопротезирование ТБС с пластикой дна вертлужной впадины.

<  |  >

 

  • Сообщения о Ортопедия и травматология
  • Также Жорж Эл Хашем
  • Связаться с автором
  • Ответить

    Re: Ложный сустав таза
    Максим Королев 27 Июль 2010, 11:26
    Выполнить эндопротезирование с пластикой на таких сроках и при такой картине вряд ли получиться, да и не рисковал бы вообще. 1 этап предоперационное разгрузочное вытяжение идти на остеосинтез вертлужной впадины. Далее реабилитационный период (активизация, поверте пациентку придеться учить всему заново) и только после обучению ходьбе и восстановлению хоть какой либо макисмальной амплитуды движений в ТБС + консолидация перелома, идти на второй этап-эндопротезирование с укреплюящими элементами.
    [ Ответить ]

    Re: Ложный сустав таза
    Maxim Agalakov 27 Июль 2010, 17:23
    Хотелось бы посмотреть inlet. Похоже, что не репонирован разрыв правого КПС. Учитывая возраст и картинку - надо пытаться выполнить реконструкцию впадины, при чем начать с КПС.Поперечный перелом не срастется в таком положении никогда, т.е вам придется выполнить первично-ревизионное эндопротезирование. В 40 лет такой протез простоит недолго, т.е. вероятны 2-3 ревизии, если это будет выполнимо. от того, насколько удастся восстановить конгруэнтность сустава будет зависеть - сколько человек на этом суставе проходит, да и эндопротезированием можно будет обойтись стандартным. Если нет опыта реконструкции подобных повреждений - отправьте туда, где он есть.
    Удачи!
    [ Ответить ]

    Re: Ложный сустав таза
    Рунков А.В. 30 Июль 2010, 14:59
    Всем привет и всяких благ!
    Я бы провел реконструкцию и затем протез, если будут боли.Для разработки плана реконструкции нужно дообследование.Полипроекционная рентгенография, кт, состояние головки, движения, вес и т.д.
    варианты реконструкций на форуме уже по-моему представлялись.
    Можно обсудить возможность полечиться у нас.
    С уважением РАВ.

    [ Ответить ]

    Re: Ложный сустав таза
    Дмитрий 09 Август 2010, 17:17
    Добрый день, мне кажется в данном случае показано первичное эндопротезирование с костной пластикой и установкой опорного кольца.
    [ Ответить ]


    ( Ответить )

    Powered by Zope  Squishdot Powered MedLink
    Посетитель: 0000143
      "По форме правильно, а по существу - издевательство" В.И.Ленин
    ©2001-2019Orthoforum Coordinator.
    [ Главная | Отправить сообщение | Поиск | Админ ]