AOTRAUMA.ORG Центр Илизарова  

Ортопедия и травматология Общие вопросы/General questions Help Информационные технологии в медицине
 вверх
 отправить
 поиск
 админ
 главная


Эндопротезирование при гетеротопической оссификсации
Ортопедия и травматология Отправлено Виноградский Александр 29 Июль 2010, 14:53 Екатеринбург, госпиталь ветеранов войн
Уважаемые коллеги, здравствуйте! Пациент 1987 года рождения, сочетанная травма (ЗЧМТ, перелом костей голени) в январе 2010 года.
Около месяца на ИВЛ, В настоящее время неврологически компенсирован, ходит с ходунками, адекватен. Основная жалоба - отсутствие движений в тазробедренном суставе. Клинически наружная ротация 30 гр. умеренная мышечная атрофия, движения качательные. Рентгенологически-выраженные гетеротопические оссификаты в области правого тазобедренного сустава. Помогите определитсья с тактикой:Эндопротезирование? Сроки? Особенности. Заранее спасибо

<  |  >

 

  • Сообщения о Ортопедия и травматология
  • Также Виноградский Александр
  • Связаться с автором
  • Ответить

    Re: Эндопротезирование при гетеротопической оссификсации
    Дедок М 29 Июль 2010, 20:15
    Оссификаты "созревают" в течение 6 месяцев.
    Теоретически после этого срока возможно оперативное лечение.
    Пациенты после ЧМТ имеют склонность к гетеротопической оссификации.
    В послеоперационном периоде рекомендуют индометацин...
    На мой взгляд - показано эндопротезирование.
    Тяжело будет. И после операции ранняя ЛФК. Но восстановление объема движений не стоит гарантировать. Через 2 недели после эндопротезирования я бы назначил рентгентерапию.


    [ Ответить ]

    Re: Эндопротезирование при гетеротопической оссификсации
    Бережной Сергей 30 Июль 2010, 01:33
    После месяца на ИВЛ. Стоит ли так рано думать о протезировании? Боли не беспокоят. А почему ходит с ходунками? Что значит неврологически компенсирован? Закончена ли реабилитация по несвязанным с анкилозом расстройствам?
    [ Ответить ]

    • Re: Эндопротезирование при гетеротопической оссификсации
      Отправитель: Виноградский Александр 30 Июль 2010, 13:51
      << Стоит ли так рано думать о протезировании?
      Как раз вопрос про сроки больше всего и смущает. Может и рано.. Но с другой стороны показания есть, чем дольше ждать - тем больше атрофия и операция не станет проще.
      <<Что значит неврологически компенсирован? В сознании, адекватен. Периодически незначительное головкружение. На костыли перейти просто пока не пробовал, я думаю в ближайшее время научим

      [ Ответить ]
    Re: Эндопротезирование при гетеротопической оссификсации
    Бережной Сергей 31 Июль 2010, 01:16
    Все равно не понятно. Что мешает пациенту ходить без ходунков и почему нужно обучать его ходьбе при помощи костылей, если он компенсирован по всему, кроме анкилоза тазобедренного сустава, который, по идее, не должен нарушать опороспособность ноги?
    [ Ответить ]

    • Re: Эндопротезирование при гетеротопической оссификсации
      Отправитель: Maxim Agalakov 31 Июль 2010, 09:15
      потому что анкилоз сформировался в порочном положении, у пациента была множественная травма и начал передвигаться он сравнительно недавно

      [ Ответить ]
    Re: Эндопротезирование при гетеротопической оссификсации
    Бережной Сергей 31 Июль 2010, 14:59
    А в чем порочность положения? Автор письма сообщает лишь о наружной ротации 30°. Не повод для ходьбы с костылями. Если же больной только только начал передвигаться из-за совокупных последствий множественной травмы, расчитывать на результативную реабилитацию после такого сложного протезирования будет сложно. Даже при успешно выполненной операции.
    [ Ответить ]

    • Re: Эндопротезирование при гетеротопической оссификсации
      Отправитель: Виноградский Александр 01 Август 2010, 21:20
      Еще раз. Пациент попал под наше наблюдение сравнительно недавно, с костылями ходить может и будет(хоть раньше не пробовал). Соматических и неврологических противопоказаний не выявили. Показатель щелочной фосфотазы -один из признаков зрелости оссификата, в пределах нормы. Предстваляется, что можно выполнять эндопротезирование.

      [ Ответить ]
      • Re: Эндопротезирование при гетеротопической оссификсации
        Отправитель: Бабушкин Василий 03 Август 2010, 18:56
        Имея опыт эндопротезирования тазобедренных и коленных суставов у данной категории пациентов, хотелось бы поделиться несколькими моментами.Необходимо обязательно сделать КТ с 3D реконструкцией и определиться в отношении заинтерисованности в процессе сосудов и нервных стволов, размеров и зрелости оссификата. Лучше не вмешиваться при незаконченном процессе оссификации. На операции необязательно удалять весь объем, а создать необходимый диастаз без импиджмента, и, на всякий случай, лучше пригласить сосудистого хирурга с готовностью помочь. Желаю удачи.

        [ Ответить ]
    Re: Эндопротезирование при гетеротопической оссификсации
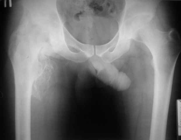
    igor 18 Август 2010, 07:24
    Больной прооперирован. Передвигается самостоятельно при помощи костылей, продолжает ЛФК. Функциональные результаты ниже.
    Остаются следующие вопросы:
    1) Когда приступать к рентгентерапии
    2) Как долго больному принимать индометацин
    Кликните для загрузки файла IMG_7209.jpg
    7KB (7953 bytes)

    [ Ответить ]

    Re: Эндопротезирование при гетеротопической оссификсации
    igor 18 Август 2010, 07:28
    неделя после операции
    Кликните для загрузки файла IMG_7215.jpg
    15KB (15639 bytes)

    [ Ответить ]

    Re: Эндопротезирование при гетеротопической оссификсации
    igor 18 Август 2010, 07:32
    около 1 недели после операции
    Кликните для загрузки файла IMG_7217.jpg
    18KB (19237 bytes)

    [ Ответить ]


    ( Ответить )

    Powered by Zope  Squishdot Powered MedLink
    Посетитель: 0000177
      "По форме правильно, а по существу - издевательство" В.И.Ленин
    ©2001-2019Orthoforum Coordinator.
    [ Главная | Отправить сообщение | Поиск | Админ ]