AOTRAUMA.ORG Центр Илизарова  

Ортопедия и травматология Общие вопросы/General questions Help Информационные технологии в медицине
 вверх
 отправить
 поиск
 админ
 главная


опухоль бедра
Ортопедия и травматология Отправлено шухрат 10 Август 2010, 18:53
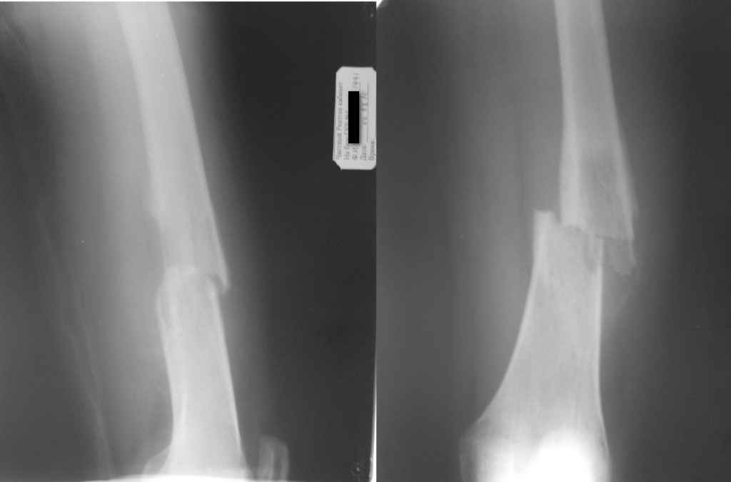
Уважаемые коллеги!Подскажите пожалуйста, кто и где может помочь больной с опухолью бедра.
больной 18 лет, студентка I курса медуниверситета. Травма исключается, во время ходьбы почувствовала боли в области с/3 правого бедра и упала. Со слов в течени последних 2 месяца появилось опухоль в области с/3 правого бедра.
Имеется мягкотканный компонент на бедре. Снимки во вложении.Наш предварительный диагноз после консультации онколога: Саркома бедренной кости с двухсторонним поражением легкого.(Рентгенолог указывает на МТС легких).
Естественно родители обеспокоенны( мать больной врач)просят уточнить где в пределах России можно будет получить лечение.
Мы собираемся делать открытую биопсию, но по получении ответа в пользу саркомы наши возможности - химиотерапия.
будем рады вашим предложениям.
Спасибо!

<  |  >

 

  • Сообщения о Ортопедия и травматология
  • Также шухрат
  • Связаться с автором
  • Ответить

    Re: опухоль бедра
    сергей 12 Август 2010, 21:59
    Я своих пациентов с падобной патологией направляю в 62 Московскую городскую онкологическую больницу к доктору Щупак Михаил Юрьевич (зав. 3-им отделением). тел/факс +7(495)561-24-39. e-mail:schupak@mail.ru
    [ Ответить ]

    • Re: опухоль бедра
      Отправитель: Михаилл 28 Март 2015, 22:11
      Новый телефон +7 (495) 536-0153

      [ Ответить ]
    Re: опухоль бедра
    Николай 16 Август 2010, 12:36
    Направляем детей и родителей в НИИ им. Блохина, с собой направление из министерства, выписку, снимки, КТ на диске, стекла.
    [ Ответить ]

    Re: опухоль бедра
    Андрей 31 Август 2010, 00:16
    Российский научный центр рентгенорадиологии, Институт онкологии им. Блохина


    [ Ответить ]


    ( Ответить )

    Powered by Zope  Squishdot Powered MedLink
    Посетитель: 0149492
      "По форме правильно, а по существу - издевательство" В.И.Ленин
    ©2001-2019Orthoforum Coordinator.
    [ Главная | Отправить сообщение | Поиск | Админ ]