ВХОД ДЛЯ ПАЦИЕНТОВ
вверх
поиск
админ
главная
|
деформации костей и суставов |
 |
 |
 |
Прислано Супрунов Константин 24 Август 2010, 23:47
из
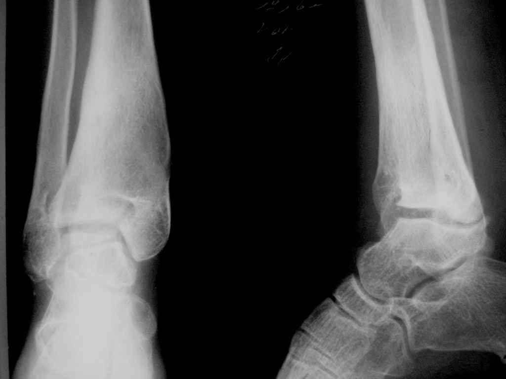
Девушка 17 лет: боли в голеностопном суставе,ограничение движений в суставе,укорочение голени,хромота
Из анамнеза в раннем детском возрасте перенесла гематогенный остеомиелит дистального отдела большеберцовой кости - зона роста частично закрылась сформировалась варусная деформация голеностопного сустава + укорочение костей голени на 6 см Произведена корригирующе-удлиняющая остеотомия сначала большеберцовой,затем малоберцовой костей, устранена деформация, ликвидировано укорочение. С возрастом наросло укорочение до 3 см,клинически умеренная вальгусная деформация голеностопного сустава. Объём движений в суставе в пределах 15 град. Отмечает переодически болевой синдром, после осевой перегрузки,пользуется обувью с компенсацией, ортезом на голеностопный сустав
Вопрос: есть ли показания для оперативного лечения: артропластика? артродез? голеностопного сустава. Какие мысли,коллеги?
Обратите внимание: Поля с жирными названиями обязательны.
Старайтесь отвечать в рамках обсуждаемой темы, а не начинать новые обсуждения.
Указывайте адекватную тему сообщения, чтобы было ясно, о чем оно.
Не послайте сообщений не по теме (оффтопик), раздраженных, грубых или обидных комментариев. Здесь это неуместно.
|