AOTRAUMA.ORG Центр Илизарова  

Ортопедия и травматология Общие вопросы/General questions Help Информационные технологии в медицине
 ВХОД ДЛЯ ПАЦИЕНТОВ
 вверх
 поиск
 админ
 главная


Перелом голени
Ортопедия и травматология Прислано Евгений 14 Сентябрь 2010, 00:47
из
Здравствуйте, уважаемые коллеги. Поступила пациентка 47 лет, 9.09.10 упала с крыши одноэтажного дома на правую ногу.
Диагноз: закрытый внутрисуставный перелом внешнего мыщелка левой большеберцовой кости со смещением. Закрытый внутрисуставный многооскольчатый перелом нижней трети и дистального метаэпифиза правой большеберцевой кости со смещением.

На коже в области внутренней лодыжки правой голени эпидермальный пузырь с прозрачной жидкостью до 3.5 см в диаметре, сразу под кожей пальпируется костный фрагмент, в остальном кожа нормальная. Отёка нет. Находится на скелетном вытяжении с весом 6 кг за правую пятку.

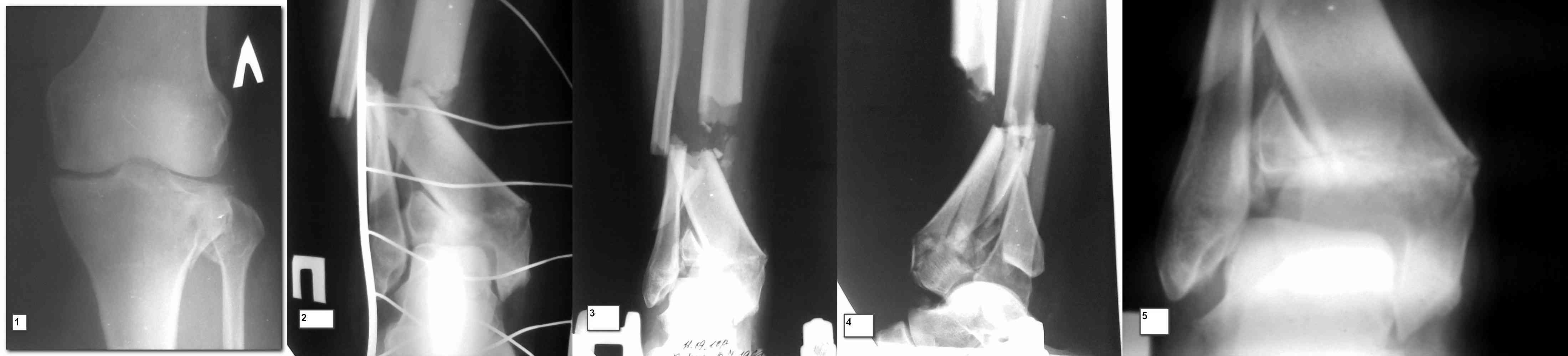
Рентгенограммы:
1. левый коленный сустав
2. правая голень при поступлении (9.09)
3. правая голень на вытяжении 6 кг (11.09)

Предварительно планируем подержать на вытяжении до заживления кожи в области пузыря. Переде-медиальным доступом открыть место перелома и суставную поверхность, репозиция промежуточного отломка по центральному, низвести шилом закрыто задний фрагмент суставной поверхности, фоксировать винтом в сагиттальной плоскости, после чего пластина-мост по медиальной поверхности с отдельными винтами или спицами для фиксации отломков суставной поверхности. Адекватной стабильности вряд ли удастся добиться – гипсовая повязка.
Поделитесь, пожалуйста, опытом лечения подобных травм.

Послать ответ

Имя
Email
Уведомление Сообщить мне по e-mail об ответах на это сообщение
Название
Комментарий
(Проверьте URL! Не забудьте написать http://!)
Кодировка
Если не знаете, что выбрать, выберите "Просто текст"!
Приложение
Можно приложить к сообщению файл c изображением, который затем будет доступен увидевшим сообщение.
Подготовка иллюстраций:
  • Рентгенограммы: черно-белые полутоновые изображения в формате JPEG (8 bit, greyscale) с разрешением от 300х200 до 1024х768 пикселов;
  • Клинические фотографии: полноцветные изображения в формате JPEG (24 bit, truecolor) с разрешением от 300х200 до 1024х768 пикселов;
  • Схемы и рисунки: черно-белые (2 bit) штриховые (line-art) изображения в формате GIF или compressed TIFF
  • Подберите степень сжатия файла JPEG и размер изображения таким образом, чтобы необходимые детали были различимы, но размер файла не превышал 75 кб.
  • Учтите, что текущая версия программного обеспечения Форума позволяет приложить к одному сообщению лишь один файл-вложение. Поэтому, если необходимо отправить несколько изображений, можно либо послать каждое как отдельное сообщение, либо в графическом редакторе объединить изображения в одно (сделать коллаж).
  • Если при подготовке изображений встречаются трудности, не стесняйтесь обратиться к координатору Форума.

  • Введите видимые символы в обратном порядке. Enter the above characters in reverse order (*Обязательно)
    В тексте сообщения можно использовать теги HTML <B> <I> <P> <A> <LI> <OL> <UL> <EM> <BR> <TT> <HR> <STRONG> <BLOCKQUOTE> <DIV .*> <DIV> <P .*>
  • Обратите внимание: Поля с жирными названиями обязательны.
  • Старайтесь отвечать в рамках обсуждаемой темы, а не начинать новые обсуждения.
  • Указывайте адекватную тему сообщения, чтобы было ясно, о чем оно.
  • Не послайте сообщений не по теме (оффтопик), раздраженных, грубых или обидных комментариев. Здесь это неуместно.
  • Powered by Zope  Squishdot Powered MedLink
    Посетитель: 0000059
      "По форме правильно, а по существу - издевательство" В.И.Ленин
    ©2001-2019Orthoforum Coordinator.
    [ Главная | Отправить сообщение | Поиск | Админ ]