ВХОД ДЛЯ ПАЦИЕНТОВ
вверх
поиск
админ
главная
|
Разгибательная контрактура после ТКА |
 |
 |
 |
Прислано Maxim Agalakov 01 Октябрь 2010, 18:55
из
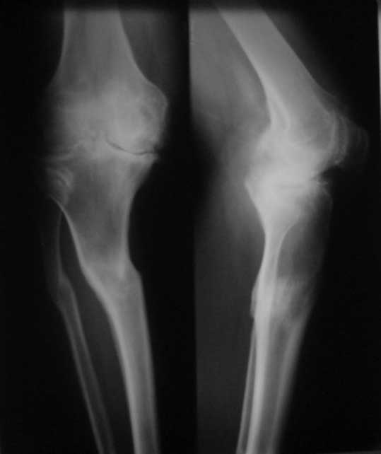
У пациента 50 лет имеется разгибательная контрактура через 8 меспосле ТКА.
Уважаемые коллеги. Пациент 8 мес после операции ТКА, в анамнезе – неправильно сросшийся перелом голени, коррекция оси (снимки прилагаются. В настоящее время имеется разгибательная контрактура 10/5/0, на операционном столе было 90/0/5, на момент выписки движения 50/0/0 в надежде на дальнейшую разработку. До эндопротезирования 40/10/0. Глубокая инфекция исключена. Ротация бедренного компонента в норме (по КТ).
Вопросы: насколько для такого ограничения критична некорректная установка б/б компонента (я намерял 7 град)? Причина нынешнего состояния, артрофиброз? Какие действия следует предпринять, удаление рубцов, релиз головок 4-главой мышцы? Что-либо другое, ваше мнение?
С уважением, Максим Агалаков, Екатеринбург.
Обратите внимание: Поля с жирными названиями обязательны.
Старайтесь отвечать в рамках обсуждаемой темы, а не начинать новые обсуждения.
Указывайте адекватную тему сообщения, чтобы было ясно, о чем оно.
Не послайте сообщений не по теме (оффтопик), раздраженных, грубых или обидных комментариев. Здесь это неуместно.
|