ВХОД ДЛЯ ПАЦИЕНТОВ
вверх
поиск
админ
главная
исходное
|
Re: Ложный сустав бедра
послал Dr Alex 20 Октябрь 2010, 01:02
|
Спасибо Вам, уважаемые коллеги.
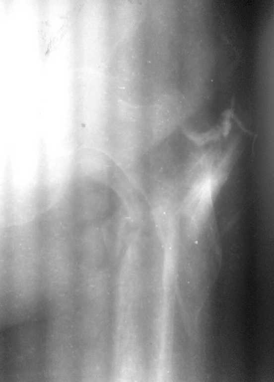
Сразу прошу прощения за качество фистулограммы... лучшего качества не можем добиться.

Фистула функционирует от случая к случаю - последние 2 дня выделений небыло, сделали контрастирование (с трудом вошло 5 мл контраста). Признаков воспаления в зоне поражения нет, лабораторные показатели в пределах нормы. Судя по распростарнению контраста - локальный остеомиелит в месте расположения стержня АВФ
План следующий: 1.контрастирование зелёнкой, ФНСЭ, дренирование+бусы с антибиотиком
2. если нет распространеия контраста в область грушевидной ямки и места перелома - БИОС стержнем с цементным покрытием
3. если распространение в указаные области есть - дренирование, бусы, заживелние раны, дистракция отломков, БИОС
Стоят следующие вопросы: 1. как Вы считаете, целесообразно ли поступить по пункту 1 и 2 в одине этап, или выполнять в два этапа
2. в стаье по изготовлению цементной мантии не указано как оставить в стержне полость для проводника ( ввестипроводник вместе со стержнем? не заклинит ли его внутри после полемиризации? мы думаем ввести проводник и двигать ним до завершения полимеризации, после чего снять трубку и востановить отверстия для болкировки закрытые цементом) у кого есть опыт, поделитесь, пожалуйста
Спасибо))
|
| Послать ответ |
Обратите внимание: Поля с жирными названиями обязательны.
Старайтесь отвечать в рамках обсуждаемой темы, а не начинать новые обсуждения.
Указывайте адекватную тему сообщения, чтобы было ясно, о чем оно.
Не послайте сообщений не по теме (оффтопик), раздраженных, грубых или обидных комментариев. Здесь это неуместно.
|