ВХОД ДЛЯ ПАЦИЕНТОВ
вверх
поиск
админ
главная
исходное
|
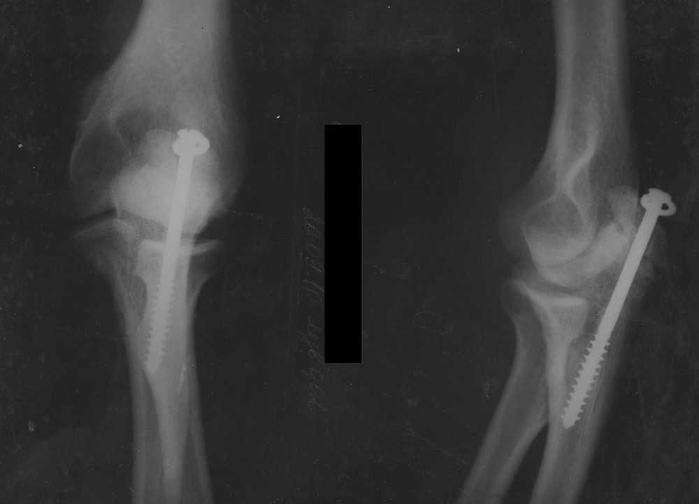
Re: Ложный сустав локтевого отростка
послал Ostanin 27 Октябрь 2010, 19:50
|
2 Adonin
Вами столь любимая COO 11 имеется, заглянул с самого начала, посему про "убрал и выкинул" подумал в 1 очередь:)
2 Курышев Данила - согласен про мягко говоря неудачный первичный синтез и про удаление мыщелка. Не совсем понимаю оправданность применения пластин при апофизарных переломах, но если кому-то хочется... их право.
С момента операции прошло уже полтора года. Поэтому мысль об удачном синтезе и возможности сращения отсылает напрямую к посту Андрея Петровича.

2 всем
Обещанные снимки.
|
| Послать ответ |
Обратите внимание: Поля с жирными названиями обязательны.
Старайтесь отвечать в рамках обсуждаемой темы, а не начинать новые обсуждения.
Указывайте адекватную тему сообщения, чтобы было ясно, о чем оно.
Не послайте сообщений не по теме (оффтопик), раздраженных, грубых или обидных комментариев. Здесь это неуместно.
|