вверх
отправить
поиск
админ
главная
|
THA после гнойного коксита |
 |
 |
 |
Отправлено Maxim Agalakov 27 Октябрь 2010, 22:32
Ув. коллеги. пациент 19 лет, 4 мес назад перене гнойный коксит с затеками и т.д, 3 мес назад - резекция головки, санирование очага. В настоящее время кровь спокойная, СРБ - отр, рана зажила первично. Свищей нет и не было, т-ра в N. В какие сроки, по вашему мнению, целесообразно выполнить эндопротезирование, какие критерии? С уважением, Максим Агалаков, Е-бург.
<
|
>
|
|
Ответить
|
Re: THA после гнойного коксита
Aндрей 28 Октябрь 2010, 02:37
|
Своего опыта такого рода операцый нет, но думаю вам поможет каким-то образом книга "The infected implant"
ссилка http://www.multiupload.com/96A0YI1J73
|
[
Ответить ]
|
Re: THA после гнойного коксита
Адонин 28 Октябрь 2010, 07:32
|
воспалительные показатели крови (C-реактивный белок, лейкоциты, СОЭ) в пределах нормы, три последовательных аспирата (мы делаем с недельным интервалом) - стерильны и количество лейкоцитов в аспирате не более 200 ( по некоторым рекомендациям - 100) на 1 мл - можно эндопротезировать
|
[
Ответить ]
|
Re: THA после гнойного коксита
Боха. 29 Октябрь 2010, 16:59
|
Мы несколько раз наблюдали такую случии.если анализ крови в N (СОЭ,Hg и др).Тогда можно больного превисти на чистую отделению и сделать операцию.
|
[
Ответить ]
|
Re: THA после гнойного коксита
Денис Римашевский 01 Ноябрь 2010, 14:39
|
Здравствуйте Максим,
У меня лично не большой и по большей части негативный опыт по эндопротезированию после гонита и коксита.
Но порадовал ответ, который дал мне 29.10.10 большой ортопед Dr. Robert B. Zann на заданный вопрос о тактике эндопротезирования в таких случаях в его клинике в Boca Raton, Florida, США.
По его мнению, ориентироваться по СОЭ, уровню лейкоцитов и СРБ практически невозможно.
У них в клинике все решает интраоперационная экспрессбиопсия. Если уровень лейкоцитов 1-5 в п/з, можно ставить эндопротез, если 7 - есть сомнния, если 10 и больше - только спейсер.
Если это первый спейсер, то + 6 недель в/в антибиотикотерапии, если 2-й, то + 12 недель антибиотикотерапии.
С уважением, Римашевский Д.
|
[
Ответить ]
|
Re: THA после гнойного коксита
Отправитель: Денис Римашевский 01 Ноябрь 2010, 14:47
|
Извините, не уточнил.
Для биопсии берут кость либо на границе с установленным компонентом эндопротеза или с места его предполагаемой установки. Ответ они получают через 5-7 минут....
С уважением, Римашевский Д.
|
[
Ответить ]
|
Re: THA после гнойного коксита
Отправитель: Денис Римашевский 01 Ноябрь 2010, 14:58
|
Извините, не уточнил.
Для биопсии берут кость либо на границе с установленным компонентом эндопротеза или с места его предполагаемой установки. Ответ они получают через 5-7 минут....
С уважением, Римашевский Д.
|
[
Ответить ]
|
Re: THA после гнойного коксита
Отправитель: Maxim Agalakov 08 Ноябрь 2010, 23:56
|
>Ответ они получают через 5-7 минут..
-это уже кое-что, но я так понял из литературы, что положительный тест говорит о наличии инфекции, а отрицательный - ни о чем? наример http://www.ncbi.nlm.nih.gov/pmc/articles/PMC2267549/
Спасибо за проявленный интерес
|
[
Ответить ]
|
|
Re: THA после гнойного коксита
Маловичко В.В. 02 Ноябрь 2010, 10:56
|
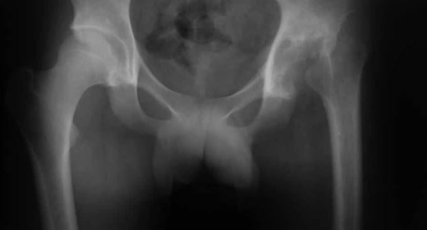
Выполнять эндопротезирование Вашему пациенту, с моей точки зрения, категорически нельзя, так как очень высок риск развития нагноения в области имплантата. Никакие хорошие показатели крови здесь нипричем. Больному показано проведение комплекса ЛФК для укрепления мышц бедра, ягодиц, спины и брюшного пресса для лучшего функционирования уже созданного в ходе выполненной резекционной секвестрнекрэктомии головки бедренной кости опорного неоартроза. По рентгенограмме стояние проксимального отдела бедренной кости можно считать удовлетворительным. С методикой ЛФК по Маловичко для формирования опорного неоартроза с примерами лечения больных с данной патологией можете ознакомиться на моем сайте www. Malovichko. ru
Важным является клиника: есть ли у больного наружняя ротация стопы или поршневой эффект при нагрузке на ногу. А также причина развития гнойного коксита. Уточните если можете.
С уважением Маловичко В.В.
|
[
Ответить ]
|
Re: THA после гнойного коксита
Отправитель: Карпухин Алексей 04 Ноябрь 2010, 12:58
|
Доброго дня. В отношении категоричного нет всегда и всем пациентам после перенесенного гнойного коксита хотелось бы чтобы у коллег оставалось право на обсуждение и принятие решения. Мы в клинике имеем опыт артропластики пациентам после кокситов. Как правило выполнялась двухэтапная процедура. Под наблюдением пока 8 пациентов на разных этапах и сроках лечения. Гнойных осложнений нет. Но решение об одно или двухэтапной процедуре принимается окончательно только на операции и в этом я полностью согласен с мнением, а вернее с тактикой американских коллег из Флориды. Обрекать пациента на создание опорного неоартроза - не самый лучший выбор даже с такой шикарной методикой реабилитации.
|
[
Ответить ]
|
|
Re: THA после гнойного коксита
Женя 17 Ноябрь 2010, 03:42
|
Доброго времени суток!
С какого-такого перепуга с 19-летним парнем вдруг случается гнойный коксит? Эт-ведь не простуда или ангина! Видимо там не все гладко с иммунной системой или другая беда. Что-уж тут срочно кидаться на эндопротезирование?
|
[
Ответить ]
|
Re: THA после гнойного коксита
Отправитель: Maxim Agalakov 18 Ноябрь 2010, 01:21
|
была ангина, в принципе у Войно-Ясенецкого много написано, а куда кидаться по-вашему мнению?
|
[
Ответить ]
|
Re: THA после гнойного коксита
Отправитель: Женя 28 Ноябрь 2010, 02:49
|
Да протезируйте, если работаете в системе федеральных квот, пациента можно неоднократно оперировать: поставил, убрал - спейсер, опять поставил, опять убрал - спейсер, а потом убрал все совсем. Каждый раз новая квота, а пациент, в основном, пребывает по месту постоянного жительства и глаза не мозолит.
|
[
Ответить ]
|
|
( Ответить )
|
|