вверх
отправить
поиск
админ
главная
|
Рассекающий остеходрит + киста шейки тарана |
 |
 |
 |
Отправлено Владимир М. Троицкий 05 Ноябрь 2010, 13:48
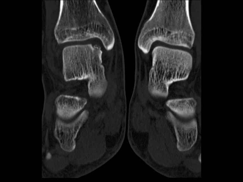
Уважаемые коллеги, обратился за помощью пациент, мужчина, 25 лет. С жалобами на болевой синдром в области голеностопного сустава и среднем отделе стопы. Травму отрицает. Со слов, болевой синдром в течении 1 года. Последние 1-1.5 мес периодически вынужден пользоваться костылями. После ограничения нагрузки боли уменьшаются.Соматически здоров. До появления болей активно занимался рукопашным боем. На СКТ картина рассекающего остеохондрита блока таранной кости, киста шейки таранной кости с признаками импрессии суставной поверхности. А также - разрастания переднего края б\берцовой кости сопровождающиеся клиникой импиджмент синдрома. Предполагаемый план лечения- удаление свободного фрагмента суставного хряща из трансмаллеолярного доступа с рассверливанием поверхности дефекта, кюретаж кисты шейки с заполнением полости биокомпозитом + дебридмент переднего отдела голеностопного сустава. Прошу высказать своё мнение, за и против, предполагаемого плана лечения. А также по возможности ответить на вопросы: 1. Есть ли необходимость в улучшении васкуляризации таранной кости (например подтаранный артродез). 2. Учитывая планируемое применение биокомпозитного цемента целесообразно ли заполнение им дефекта блока таранной кости с моделированием края суставной поверхности.
В уважением Владимир М. Троицкий.
<
|
>
|
|
Ответить
|
Re: Рассекающий остеходрит + киста шейки тарана
Адонин 06 Ноябрь 2010, 03:00
|
однозначно правильного ответа, что делать, нет.
По-моему, оптимальное лечение - артроскопический шейвинг остеофита переднего края, удаление свободного хряща и костно-суставной аутотрансплантат из коленного сустава.
есть очень хорошее обсуждение проблемы здесь
http://www.vumedi.com/webinars/Foot-Ankle-Arthroscopy
но, чтоб посмотреть семинар, надо зарегистрироваться. Россиян автоматически не регистрируются. надо будет объясняться по мылу
|
[
Ответить ]
|
Re: Рассекающий остеходрит + киста шейки тарана
Бережной Сергей 06 Ноябрь 2010, 03:14
|
Вряд ли стоит думать сейчас о подтаранном артродезе, имея в перспективе артрозы голеностопного и таранноладьевидного суставов.
|
[
Ответить ]
|
Re: Рассекающий остеходрит + киста шейки тарана
Отправитель: Владимир М. Троицкий 06 Ноябрь 2010, 12:25
|
Идея подтаранного артродеза как раз и обусловлена большой вероятность ас. некроза тараннной кости. В иностранной литературе встретился с рекомендацией выполнения подтаранного артродеза при ас. некрозе тарана перед эндопротезированием. Цель- улучшение васкуляризации таранной кости. В конкретном случае- профилактика или уменьшение степени возможного поражения таранной кости.
|
[
Ответить ]
|
|
Re: Рассекающий остеходрит + киста шейки тарана
александр ерохин 06 Ноябрь 2010, 04:18
|
Был похожий больной,завершилось астрагалэктомией с берцовопяточным артродезом.Была попытка пластики,разрушение тарана продолжалось,мес через 5-6 артродезировали и удлинили на 3см голень в том же аппарате.Поскольку случай был уже лет 20 назад и цифровой техники тогда не было,то фото не делали,а жаль
|
[
Ответить ]
|
Re: Рассекающий остеходрит + киста шейки тарана
Евгений Чекашкин 27 Ноябрь 2010, 22:40
|
Владимир, Здравствуйте,
- вряд ли что либо можно добавить к вашему плану, разве что по поводу доступа: как альтернатива - артроскопическая техника, если есть возможности.
СТ чётко демонстрирует секвестр, но открыв сустав вероятно, что хрящ тарана окажется интактным и только пальпацией/ ЭОП можно будет
идентифицировать локализацию секвестра. Если вы с этим столкнетесь, то секвестрэктомию я бы предложил сделать не со стороны суставной поверхности тарана, а со стороны угла тарана, субхондрально кюрретаж стенок, разнонаправленную туннелизацию спицей или 1.1мм сверлом и заполнить дефект спонгиозным графтом.
- Резекция экзостоза переднего края б.б. кости
- киста шейки тарана, как вы думаете, какова её природа : аваскулярный некроз? эхинококк?
Пришлите на форум свои интраоп.наблюдения.
Заранее признателен,
Успехов,
Евгений И.Чекашкин
|
[
Ответить ]
|
( Ответить )
|
|