ВХОД ДЛЯ ПАЦИЕНТОВ
вверх
поиск
админ
главная
|
проксимальный отдел бедра |
 |
 |
 |
Прислано станислав рангаев 06 Ноябрь 2010, 13:03
из
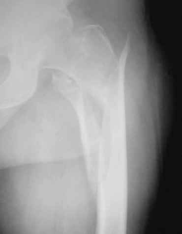
уважаемые коллеги,помогите определиться с тактикой лечения больной:бабушка 72г.с чрезвертельно_подвертельным переломом
и кучей соматических проблем(диабет 2 типа,аг,ревматоидный полиартрит и т.д)находится на скелетном вытяжении.только что стали внедрять у себя блокирующий остеосинтез.какие мнения?
Обратите внимание: Поля с жирными названиями обязательны.
Старайтесь отвечать в рамках обсуждаемой темы, а не начинать новые обсуждения.
Указывайте адекватную тему сообщения, чтобы было ясно, о чем оно.
Не послайте сообщений не по теме (оффтопик), раздраженных, грубых или обидных комментариев. Здесь это неуместно.
|