AOTRAUMA.ORG Центр Илизарова  

Ортопедия и травматология Общие вопросы/General questions Help Информационные технологии в медицине
 вверх
 отправить
 поиск
 админ
 главная


Киста шейки бедра
Ортопедия и травматология Отправлено Сергей Тарасов 10 Ноябрь 2010, 11:53
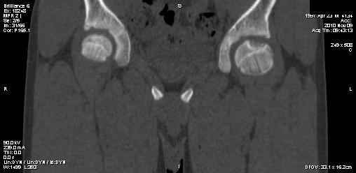
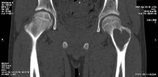
Мальчик 13 лет. В течение нескольких месяцев беспокоят боли в левом тазобедренном суставе.
При обследовании выявлена киста шейки левого бедра с сопутствующими изменениями в головке бедра, которые мы трактуем как дистрофические. Планируем вскрытие и санацию полости кисты передне-боковым доступом, костную пластику. Перед нами возникли следующие вопросы: для пластики использовать крыло подвздошной кости либо большеберцовую кость,либо их комбинацию, (полость большая,одним крылом можно не обойтись) или донорский аллотрансплантат с Коллапаном? Фиксировать ли? Если фиксировать, то чем? Доступны обычные угловые пластины либо АВФ.

<  |  >

 

  • Сообщения о Ортопедия и травматология
  • Также Сергей Тарасов
  • Связаться с автором
  • Ответить

    Re: Киста шейки бедра
    Виктор Филипчук 11 Ноябрь 2010, 00:58
    Ув. Сергей! Д-з: или солитарная киста, или аневризмальная (есть небольшое "вздутие") или остеобластома ( старое название "остеобластокластома"). Если 3 вариант то полость надо обработать спиртом или азотом. Предпочтительнее аутопластика из 2 подвздошных костей. Так как срок фикс. длительный то АВФ субоптимален. Предпочтительнее фиксация угловой нестандартной пластиной 110-115 град ("разогнутая" 95 град).В запасе минимум 3 пластины с 3 типоразмерами клинка (расстояние от tuberc. innominatum до перехода метаэпифиза в нижний полюс головки).Ножка: минимум 3 винта в "здоровой" кости диафиза.Перед формированием канала пробойником 3 "страховочные" спицы: большой вертел центр головки (межвертельный перелом лучше перелома шейки) Аутопластика после МОС.
    С ув. Филипчук! Удачи!!! PS. Если небольшая неточность в формиров. канала во фронтальной пласкости , то не перепроводите пробойник , а лучше разогните пластину!!!

    [ Ответить ]

    Re: Киста шейки бедра
    Дмитрий 11 Ноябрь 2010, 12:05
    Уважаемый Сергей
    Разделяю точку зрения о необходимости использовать аутотрансплантат из двух гребней подвздошной кости.
    Остеосинтез пластиной - предпочтительнее.
    Мы не обрабатываем полость спиртом, так как есть публикации о его прямом попадании в кровоток и смерти детей на столе, если работать без жгута, а в данном случае жгут невозможен.
    Но все же я бы начал с биопсии толстой иглой обоих стенок образования, содежимое - тоже.
    [ Ответить ]

    Re: Киста шейки бедра
    ihior 12 Ноябрь 2010, 07:48
    Ув. Сергей!
    Try to use TEN (Titanium Elastic Nail)or Ender for intramedullary fixation and bone grafting .In my opinion this will be fine for 13y.o
    Sincerely,
    Ihor.

    [ Ответить ]

    Re: Киста шейки бедра
    Александр 13 Ноябрь 2010, 11:37
    Насчёт диагноза - более чем уверен, что это солитарная костная киста. В плане лечения опимально эластичный интрамедуллярный остеосинтез стержнями или спицами без нарушения корткального слоя. Так же стандартное пункционное лечение по рекомендациям ЦИТО 85г., 90г. Берерный А.П.
    [ Ответить ]

    Re: Киста шейки бедра
    Сергей Тарасов 16 Ноябрь 2010, 15:09
    Спасибо, коллеги, за комментарии!
    Выполнили, что и запланировали. Обошлись одним крылом. Зафиксировали пластиной. Мысль о возможной фиксации TEN приходила, но... доступны только гвозди Эндера. А ими - не решились.
    Кликните для загрузки файла IMG_0026.jpg
    467KB (478854 bytes)

    [ Ответить ]

    Re: Киста шейки бедра
    Дианов Сергей Вячеславович 21 Ноябрь 2010, 23:39
    Рекомендуется внутриочаговая резекцмя кисты с костной аллопластикой. для профилактики рецидивирования желательна криообработка полости.
    [ Ответить ]


    ( Ответить )

    Powered by Zope  Squishdot Powered MedLink
    Посетитель: 0127923
      "По форме правильно, а по существу - издевательство" В.И.Ленин
    ©2001-2019Orthoforum Coordinator.
    [ Главная | Отправить сообщение | Поиск | Админ ]