AOTRAUMA.ORG Центр Илизарова  

Ортопедия и травматология Общие вопросы/General questions Help Информационные технологии в медицине
 ВХОД ДЛЯ ПАЦИЕНТОВ
 вверх
 поиск
 админ
 главная


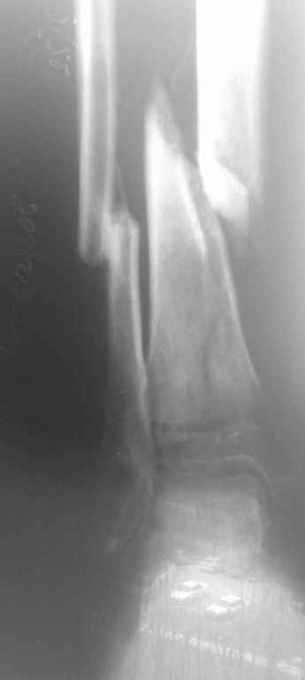
Уважаемые коллеги! Помогите пожалуйста определиться по тактике оперативного и ведения в п\оперативном периоде данного пациента.
Ортопедия и травматология Прислано Gene 20 Ноябрь 2010, 16:35
из
Д\з Неправильно консолидированный перелом м\берцовой кости, ложный сустав(учитывая подвижность в области перелома) б\берцовой кости правой голени. Остеопороз костей правой голени, стопы. Постиммобиллизационные контрактуры коленного, голеностопного суставов.
Больной Б. травма в августе месяце 2010г., находился на СВ, отказался от оперативного лечения, со слов больного, не имел средств на приобретение металлоконструкций, СВ вытяжение демонтировано ч\з 3 недели, была наложена циркулярная гипсовая повязка от кончиков пальцев стопы до с\3 бедра, снят 10 ноября, имеется Rg контроль по снятию повязки, первичных и после демонтажа СВ снимков не предоставил, почему не продолжил лечение на СВ, нет сведений.
Сейчас кожные покровы правой голени отёчны, пастозны, умеренно гиперемированны, движения в коленном суставе сгибание 90гр., разгибание 165, голеностопном в пределах качательных. Определяется подвижность в месте перелома. Осевая нагрузка болезненна. На консилиуме решено (учитывая отсутствие возможности наложения аппарата Илизарова) выполнить остеотомию м\берцовой кости остеопериостальную декортикацию б\берцовой кости,репозиция(возможно с укорочением) фиксацию отломков кортикальными винтами, циркляжом с последующим наложением циркулярной гипсовой повязки. Почему не было выполнено при первом поступлении или не доведена репозиция на СВ для меня вопрос. Заранее благодарен.

Послать ответ

Имя
Email
Уведомление Сообщить мне по e-mail об ответах на это сообщение
Название
Комментарий
(Проверьте URL! Не забудьте написать http://!)
Кодировка
Если не знаете, что выбрать, выберите "Просто текст"!
Приложение
Можно приложить к сообщению файл c изображением, который затем будет доступен увидевшим сообщение.
Подготовка иллюстраций:
  • Рентгенограммы: черно-белые полутоновые изображения в формате JPEG (8 bit, greyscale) с разрешением от 300х200 до 1024х768 пикселов;
  • Клинические фотографии: полноцветные изображения в формате JPEG (24 bit, truecolor) с разрешением от 300х200 до 1024х768 пикселов;
  • Схемы и рисунки: черно-белые (2 bit) штриховые (line-art) изображения в формате GIF или compressed TIFF
  • Подберите степень сжатия файла JPEG и размер изображения таким образом, чтобы необходимые детали были различимы, но размер файла не превышал 75 кб.
  • Учтите, что текущая версия программного обеспечения Форума позволяет приложить к одному сообщению лишь один файл-вложение. Поэтому, если необходимо отправить несколько изображений, можно либо послать каждое как отдельное сообщение, либо в графическом редакторе объединить изображения в одно (сделать коллаж).
  • Если при подготовке изображений встречаются трудности, не стесняйтесь обратиться к координатору Форума.

  • Введите видимые символы в обратном порядке. Enter the above characters in reverse order (*Обязательно)
    В тексте сообщения можно использовать теги HTML <B> <I> <P> <A> <LI> <OL> <UL> <EM> <BR> <TT> <HR> <STRONG> <BLOCKQUOTE> <DIV .*> <DIV> <P .*>
  • Обратите внимание: Поля с жирными названиями обязательны.
  • Старайтесь отвечать в рамках обсуждаемой темы, а не начинать новые обсуждения.
  • Указывайте адекватную тему сообщения, чтобы было ясно, о чем оно.
  • Не послайте сообщений не по теме (оффтопик), раздраженных, грубых или обидных комментариев. Здесь это неуместно.
  • Powered by Zope  Squishdot Powered MedLink
    Посетитель: 0000069
      "По форме правильно, а по существу - издевательство" В.И.Ленин
    ©2001-2019Orthoforum Coordinator.
    [ Главная | Отправить сообщение | Поиск | Админ ]