AOTRAUMA.ORG Центр Илизарова  

Ортопедия и травматология Общие вопросы/General questions Help Информационные технологии в медицине
 вверх
 отправить
 поиск
 админ
 главная
 Предыдущее


Re: Причина раскручивания?
Djoldas Kuldjanov 04 Декабрь 2010, 11:21
Раскручивание импланта было очень частым явлением у трехлопастного гвоздя Smith Petersen и диафизарной накладки. Его применяли раньше для лечения чрезвертельных переломов, и часто раскручивалась левосторонная гайка между гвоздем и пластиной. Обьясняли это трением фасции над имплантом, и, возможно, здесь тоже подобное явление за счет близости сухожилия или фасции?

Описанная вами техника "Внутренняя лодыжка фиксирована по Веберу, наружная реконструктивной пластиной с наложением болта-стяжки" существует, но этот подход морально устарел, и применяется очень редко, только при отсутствии имплантов.

Реконструкционные пластины на лодыжке очень грубые, и из-за тонкого слоя кожи над дистальным концом малоберцовой могут осложниться пролежнями кожи изнутри.

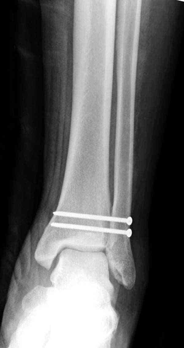
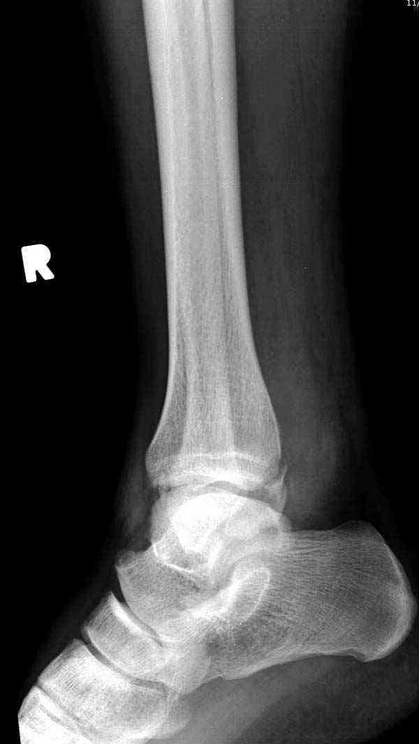
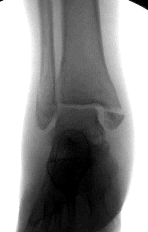
Нет первичных снимков, перелом очень низкий и под большим сомнением диагноз разрыва синдесмоза. Медиальная сторона отрепонирована на "хорошо" и, по-видимому, прорезание проволоки произошло во время операции. Без снимков трудно судить о высоте малоберцовой, а лодыжка находится в варусе. Лагирование получилось, но возле тонких шурупов передне-задний шуруп выглядит немного тяжеловато.


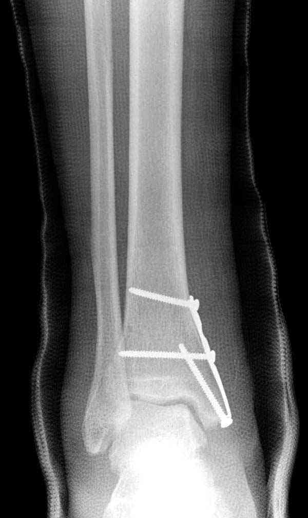
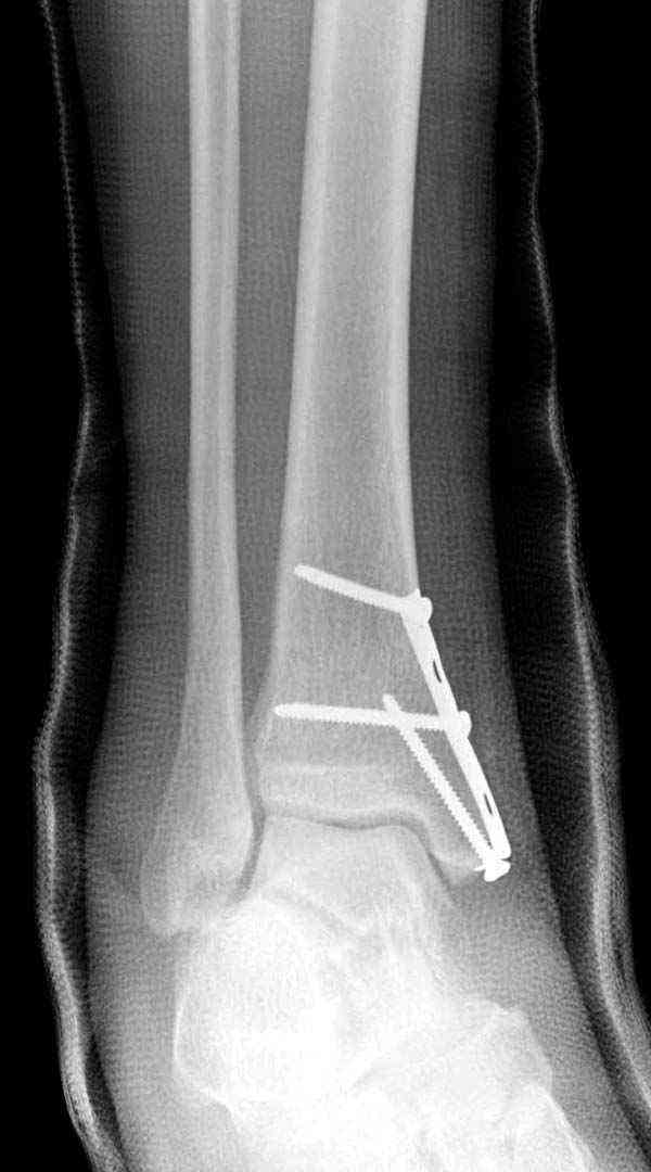
Во всех руководствах АО имеется описание техники применения низкопрофильных пластин 1/3 трубки, которые могут быть применены для фиксации наружной лодыжки. Фиксацию проводят кортикальными 3.5 мм шурупами, и если дистальная фиксация недостаточная, тогда усиливают конструкцию созданием hook plate. Сгибая конец пластины на последнем отверстии, внедряют его в дистальный отдел, и тем самым создается дополнительная фиксация.


Современные преконтурированные пластины не имеют таких недостатков, и разделяются на правые и левые, а также на латеральные и задние. Множественные дистальные шурупы 2.7 мм уменьшают подкожное раздражение, и такой имплант можно оставить на долгий срок без удаления.


Для молодых достаточным бывает обычная лодыжечная пластина без блокировки, и только у пожилых с остеопорозом лучше взять полиаксиальные пластины с угловой стабильностью.

Медиальная лодыжка фиксируется каннюлированными лодыжечными шурупами перкутанно, а неточная репозиция (интерпозиция) является показанием к открытой технике. При больших вертикальных фрагментах нужны противоскользящие медиальные пластины.


Коллеги правы, что при рутинных переломах достаточным бывает обычные снимки с мортизом. А стрессовые рентгенограммы могут уточнить, есть ли разрыв синдесмоза.
В лечении синдесмоза шурурпы легче установить, и, тем более, они намного дешевле, чем болт-стяжка. От болтов еще и часты осложнения - медиальные пролежни.

При лечении синдесмоза количество шурупов не имеет значения. Два через три кортекса или один через все кортикальные слои механически одинаковы.

Для удобства удаления сломанных шурупов с медиальной стороны можно оставить на несколько мм длиннее. Подкожно оставленные шурупы у худых вызывают неудобства, особенно у женщин при выбривании волос с нижней конечности.

Здесь несколько частных случаев: перелом голеностопа со сравнительными снимками и разрыв синдесмоза, а также медиальная Hook пластина.












































































--
Djoldas Kuldjanov, M.D.
Associate Professor
Department of Orthopedic Surgery
St. Louis University



  • Сообщения о Ортопедия и травматология
  • Также Djoldas Kuldjanov
  • Связаться с автором
  • Ответить

    Re: Причина раскручивания?
    александр ерохин 08 Декабрь 2010, 21:41
    Отдельное спасибо,всегда с удовольствием читаю Ваши комментарии-всегда подробные и наглядные.К сожалению,не всегда применимы к нашим убогим условиям.Первичных снимков нет-просто банальный перелом с подвывихом,правда уже срастающийся(я не фотографировал их,а потом уже не стал искать в архиве).Не совсем понятно-"под большим сомнением разрыв синдесмоза"(с).Перелом пронационный с инверсией и как следствие ,ротацией лодыжки.То есть по сути было повреждение(разрыв) только передней порции,при сохраненной задней и межкостной мембране.В таком случае диагноз "разрыв синдесмоза"правомерен?
    [ Ответить ]


    ( Ответить )

    Powered by Zope  Squishdot Powered MedLink
    Посетитель: 0025122
      "По форме правильно, а по существу - издевательство" В.И.Ленин
    ©2001-2019Orthoforum Coordinator.
    [ Главная | Отправить сообщение | Поиск | Админ ]