ВХОД ДЛЯ ПАЦИЕНТОВ
вверх
поиск
админ
главная
|
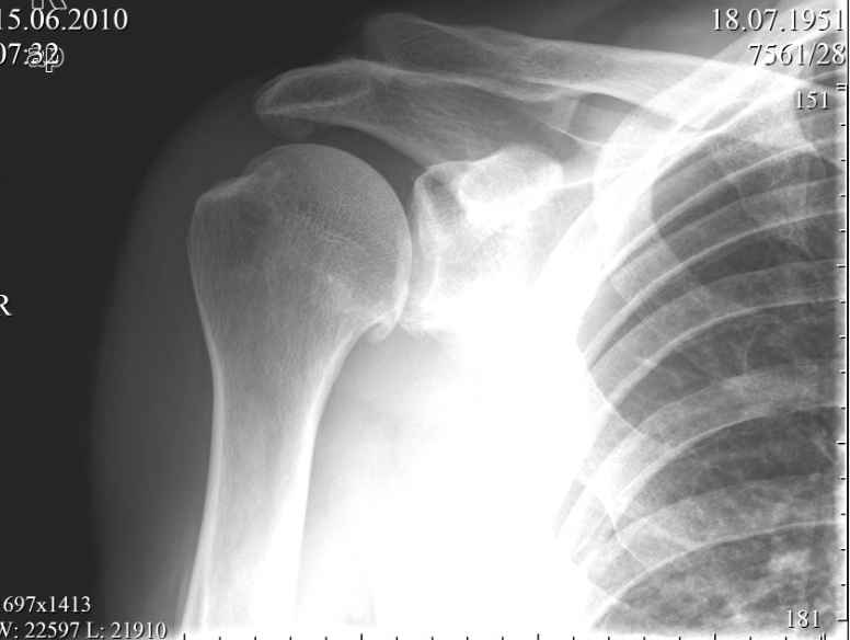
Акромиально - ключичное сочленение -застарелый разрыв |
 |
 |
 |
Прислано Батал Алексеевич Шушания 28 Ноябрь 2010, 16:04
из ФГУ " 3 ЦВКГ имени А.А. Вишневского Минобороны России"
Пациент, мужчина, 59 лет обратился в июне с жалобами на умеренные периодические боли и хруст в области правого плечевого сустава.
В анамнезе - 1,5 года назад упал, ударился задней поверхностью локтевого сустава, при отведенной правой руки в плечевом суставе и согнутом в локтевом. Обратился за мед. помощью, по месту жительства, сказали, что ничего страшного, повесили травмированную конечность на косынку.
Тогда, в июне 2010года, когда я впервые увидел пациента, он щадил руку, было ограничение объема движений в правом плечевом суставе. Потому я предложил заняться лечебной физкультурой а потом посмотреть достигнутый результат.
Сегодня в пациента восстановлен полный объем движений в правом плечевом суставе, боли сохраняются, но не такие выраженные, как раньше.
Но при движении правой рукой стоит ТАКОЙ хруст, что слышен на расстоянии. Пальпаторно, при движении правой рукой,ощущается подвижность в акромиально-ключичном сочленении, и боли при отведении в правом плече более 120 градусов.
Пациента не устраивает нынешние положение дел с его плечом.
Хочет более радикального лечения.
Я подумывая об операции, но побаиваюсь за результат. Нужно иссечь рубцы, низвести акромиальный конец ключицы (а она будет "пружинить")и фиксировать крючковидной пластиной к акромиону, не исключается выполнение акромионопластики. Удержит ли пластина и удержатся ли взаимоотношения в акромиально-ключичном сочленении, после удаления пластины?
Тут вспомнился разговор с профессором Джолдасом Кулджановым, о необходимости восстановления клювовидно-ключичной связки. Хотелось бы освежить этот разговор в своей памяти и попросить профессора найти время и рассказать еще раз о целесообразности и технике восстановления клювовидно-ключичной связки, ну выслушать мнение коллег по Ортофоруму.
С уважением Шушания Батал.
Обратите внимание: Поля с жирными названиями обязательны.
Старайтесь отвечать в рамках обсуждаемой темы, а не начинать новые обсуждения.
Указывайте адекватную тему сообщения, чтобы было ясно, о чем оно.
Не послайте сообщений не по теме (оффтопик), раздраженных, грубых или обидных комментариев. Здесь это неуместно.
|