ВХОД ДЛЯ ПАЦИЕНТОВ
вверх
поиск
админ
главная
|
Переломы пяток. Fractures of the calcaneus |
 |
 |
 |
Прислано Салимов Руслан 11 Декабрь 2010, 21:54
из
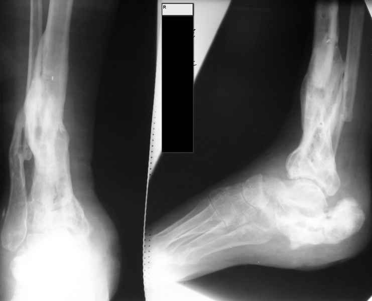
Молодая девушка со сросшимися многооскольчатыми переломами пяток и голеней.
Young girl with fractures of the calcaneus
Больная Н., 25 лет, падение с высоты (2008 г.). Жалобы на боли в области голеностопных суставах, в области пяток при ходьбе. Лечилась в аппаратах внешней фиксации по поводу открытых оскольчатых переломов обеих голеней, переломов пяток. Далее по поводу несросшихся переломов голеней –ЧКОС аппаратами внешней фиксации. Переломы срослись, аппараты демонтированы весной 2010г. В левой пяточной области в месте проведения спицы имеется сукровичное отделяемое. При ревизии гноя нет. Чем помочь девушке?
Patient N., age 25, falls from heights (2008). Complaints of pain in the ankles, in the heel when walking. She was treated by external fixation on open comminuted fractures of both legs, fractures of the calcaneus. Then she was treated by external fixation from nonunion of both legs. Now fractures are fused, apparatuses removed in the spring of 2010. How to help a girl?
Обратите внимание: Поля с жирными названиями обязательны.
Старайтесь отвечать в рамках обсуждаемой темы, а не начинать новые обсуждения.
Указывайте адекватную тему сообщения, чтобы было ясно, о чем оно.
Не послайте сообщений не по теме (оффтопик), раздраженных, грубых или обидных комментариев. Здесь это неуместно.
|