Ответить
|
Re: Несостоятельность импланта
Бережной Сергей 10 Январь 2011, 19:07
|

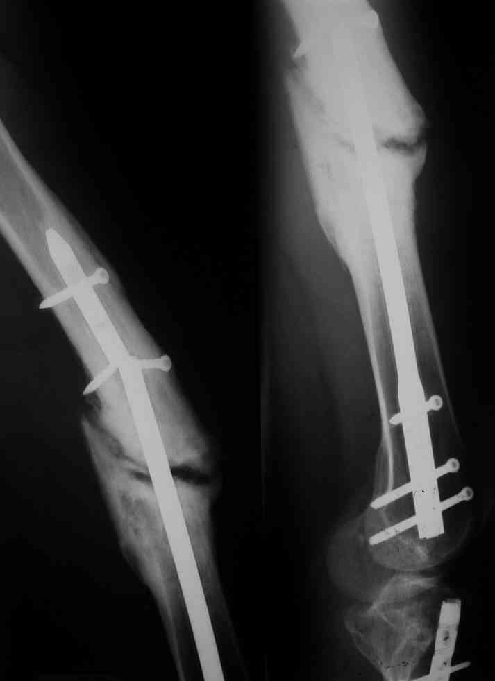
Одной рентгенограммы недостаточно, чтобы планировать подобную операцию. Вот похожий случай, который пришлось оперировать 3 мес. назад. Тоже короткий гвоздь. Шляпки винтов проксимального фрагмента полностью погружены в костную ткань, чего уже достаточно для необходимости обнажения этой зоны. У этого же больного оказались полностью разрушены шлицы 2-х дистальных винтов, так что и там нужно было "открываться".
|
[
Ответить ]
|
Re: Несостоятельность импланта
Отправитель: Станислав 10 Январь 2011, 22:45
|
Рентгенограммы все в наличии, просто не было времени их обработать , но я думаю что представленная рентгенограмма отражает основные моменты.Случай очень похож, точнее
ошибка -короткое плечо штифта в дистальном или проксимальном отломке.
|
[
Ответить ]
|
Re: Несостоятельность импланта
Отправитель: Коваленко А.Н. 11 Январь 2011, 03:34
|
>ошибка -короткое плечо штифта в дистальном или проксимальном отломке
Большей ошибкой явилась длительная статическая фиксация отломков и отсутствие своевременной динамизации. Проще говоря, пациент ходил на конструкции, которая рано или поздно не выдержала циклической нагрузки и сломалась по тонкому месту.
Это произошло бы с меньшей вероятностью, если бы нагрузку своевременно перенесли на костные отломки, которые изо всех сил пытались воссоединиться (о чем говорит наличие неслабой мозоли), да мешала распорка в виде блокированного статически гвоздя.
Вариант с сохранением питания отломков видится в удалении проксимального отломка штифта, мостовидном наложении мыщелковой пластины с у/с без визуального контроля места перелома, т.н. MIPO.
--
С уважением, Коваленко А.Н.
|
[
Ответить ]
|
|
Re: Несостоятельность импланта
Эдуард 10 Январь 2011, 22:06
|
В таком случае нужно открыть область перелома так как остерегенерация уже дескридетерована и нужна обязательная дополнительная пластика. ретроградно выбить отломок стержня (например другим стержнем) в рану, ретроградно рассверлить канал и затем ретроградный остеосинтез так чтобы стержень доходил до уровня малого вертела.
|
[
Ответить ]
|
Re: Несостоятельность импланта
Отправитель: Стпнислав 10 Январь 2011, 22:35
|
Спасибо, рассматривался и такой вариант, но не знаю стоит ли открывать место перелома, может достаточно рассверлить канал.
|
[
Ответить ]
|
Re: Несостоятельность импланта
Отправитель: Alexander Chelnokov 10 Январь 2011, 23:18
|
В таком случае нужно открыть область перелома так как остерегенерация уже дескридетерована и нужна обязательная дополнительная пластика.
Если получается удалить, рассверлить и пересинтезировать закрыто, то вмешиваться на зоне несращения тут не видно необходимости, концы отломков выглядят вполне оптимистично. Обнажение зоны несращения, скорее, как раз "дискредитирует" регенерацию.
|
[
Ответить ]
|
Re: Несостоятельность импланта
Отправитель: Станислав 10 Январь 2011, 23:52
|
Здравствуйте Александр Николаевич, порекомендуйте как лучше удалить дистальный отломок гвоздя - путем трепанирования над ним кортикальной стенки бедренной кости, или попытаться выбить с помощью длинного штифта введенного ретроградно, и не блокируется ли он в канале ?
Спасибо заранее. Станислав (Ростов-на-Дону)
|
[
Ответить ]
|
Re: Несостоятельность импланта
Отправитель: Alexander Chelnokov 11 Январь 2011, 19:21
|
Мы бы наложили дистрактор, постарались восстановить положение отломков до перелома стержня. Убрали бы проксимальный обломок гвоздя и винты. Рассверлили бы канал. Если после дистракции и рассверливания получился канал для беспрепятственного продвижения дистального обломка вверх, то постарались бы выбить фрагмент вверх через доступ для ретроградного штифтования.
Если видны какие-то проблемы - действительно, можно сделать латеральное "окно". По нашему опыту, последний вариант актуален для большеберцовой кости, на бедре как-то удавалось через канал.
|
[
Ответить ]
|
Re: Несостоятельность импланта
Отправитель: Эдуард 11 Январь 2011, 02:36
|
Глубокоуважаемый Александр Николаевич!К сожалению чудес не бывает, зону перелома прейдется открыть, кстати там в такой ситуации в такие сроки по опыту уже рубцы между отломков... Был случай пришлось выбивать сломанный правда проксимальный конец стержня,ретроградно, на уровне вертельной области он заклинился, но стержень прошел рядом мимо,кусок так и остался.
Конечно, лучший вариант закрытый БИОС,но условия и время не те.При свежей травме абсалютно и полностью с Вами согласен -обнажение области перелома дискредитирует регенерацию.
|
[
Ответить ]
|
Re: Несостоятельность импланта
Отправитель: Alexander Chelnokov 11 Январь 2011, 19:57
|
К сожалению чудес не бывает, зону перелома прейдется открыть, кстати там в такой ситуации в такие сроки по опыту уже рубцы между отломков
Могу лишь сказать, что мы не открываем зону перелома в таких случаях. Никакой фатальной обреченности ("придется открыть") тут не видно.
Бедро в силу высокого потенциала для заживления может срастись не благодаря, а даже вопреки ненужному вмешательству.
Если отломки живые, и удается закрыто их сопоставить и стабилизировать, то это и есть необходимое и достаточное условие успеха. И открытое вмешательство на зоне несращения не решает никаких проблем. Но может их создать.
|
[
Ответить ]
|
Re: Несостоятельность импланта
Отправитель: А.Новиков 13 Январь 2011, 23:48
|
Полностью согласен. Изнечально можно было идти на дистальный гвоздь. А открывать зону придётся, к сожалению, чтоб удалить обломок стержня. Хотя можно поизголяться и вытолкать его к вертелу. разсверливать же обязательно
|
[
Ответить ]
|
|
Re: Несостоятельность импланта
Maxim Agalakov 10 Январь 2011, 23:27
|
Псевдоартроз выглядит нормо/гипертрофическим, если ось вас устраивает,можно обойтись стабилизацмей доступными вам способами без обнажения зоны псевдоартроза.удалить только проксимальный фрагмент гвоздя.
|
[
Ответить ]
|
Re: Несостоятельность импланта
Бехтерев Антон 11 Январь 2011, 00:26
|
http://www.weborto.net/forum/1024582811/index_html
http://www.weborto.net/forum/1192794837/index_html
http://www.weborto.net/forum/1196277461/index_html
|
[
Ответить ]
|
Re: Несостоятельность импланта
Отправитель: Станислав 11 Январь 2011, 00:36
|
Привет Антон, спасибо за содержательную информацию.
Завтра зайду на этаж выше - в ординаторскую и пообщаемся.)))
|
[
Ответить ]
|
|
Re: Несостоятельность импланта
сергей 11 Январь 2011, 00:55
|
Попробуйте после извлечения прроксимального конца стержня ретроградно ввести длинную спицу (или проводник)через дистальный фрагмент стержня, выйти из бедра вверху, загнуть спицу либо расплющить большими кусачками проводник и выйти из колена вместе с фрагментом стержня (он должен зацепиться) через предварительно рассверленное отверстие
|
[
Ответить ]
|
Re: Несостоятельность импланта
Отправитель: Бережной Сергей 11 Январь 2011, 03:09
|
Сергей, а как Вы знаете, что гвоздь внутри полый?
|
[
Ответить ]
|
|
( Ответить )
|
|