вверх
отправить
поиск
админ
главная
|
Остеомиелит медиальной лодыжки |
 |
 |
 |
Отправлено Белоконь Александр 29 Январь 2011, 14:12
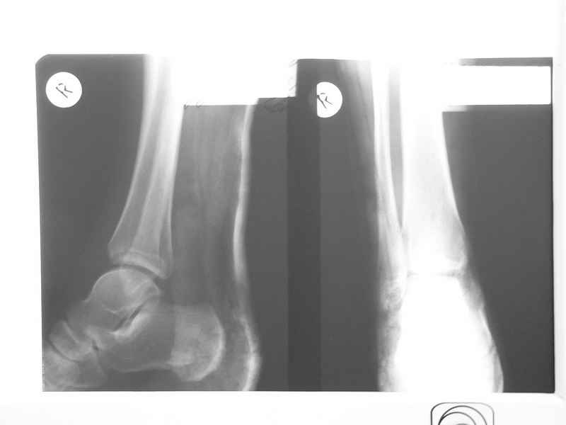
Уважаемые коллеги! Помогите определиться с тактикой лечения больной 50 лет! Травма в результате ДТП 1 января 2011г. открытый многооскольчатый перелом медиальной лодыжки левого голеностопного сустава со смещением. При поступлении в области медиальной лодыжки поперечная рана 5,0х1,0 см. сильно загрязнена, была выполнена ПХО. 05.01.2011г. сняты все швы по поводу нагноения раны, выполнена некрэктомия нежизнеспособных краев раны. На сегодня голеностопный сустав незначительно отечен, слегка болезнен при пальпации в области медиальной лодыжки. Температура тела нормальная, боли практически нет. Кровь спокойная. В области медиальной лодыжки имеется ранка округлой формы до 0,3 см., со скудным гнойным отделяемым (следы на салфетке после перевязки 1 раз в 2 дня). Посев из раны выполнить невозможно. На последних контрольных рентгенограммах признаки остеомиелита медиальной лодыжки? Помогите определиться с тактикой лечения: оперативное? Консервативное? С уважением Александр Белоконь!
<
|
>
|
|
Ответить
|
Re: Остеомиелит медиальной лодыжки
Александр Петрушин 29 Январь 2011, 23:52
|
Фистулограмма?
|
[
Ответить ]
|
Re: Остеомиелит медиальной лодыжки
Отправитель: Белоконь Александр 30 Январь 2011, 11:51
|
Думаю, от нее будет мало толку, учитывая слишком маленький размер "очага", но после выходных сделаю! Больная сейчас на амбулаторном лечении.
|
[
Ответить ]
|
|
Re: Остеомиелит медиальной лодыжки
Олег Афанасьев 30 Январь 2011, 15:04
|
Добрый день,Александр.Стояние отломков вн.лодыжки вполне удовлетворительное,гипсовый сапожок с окном для перевязки раны,перевязки с дренированием свищя,цефалоспорин+аминогликозид,Ro-конроль через 4недели.Удачи!
|
[
Ответить ]
|
Re: Остеомиелит медиальной лодыжки
Баходир 30 Январь 2011, 19:13
|
Фистулограмма.
ХООО.
аутопластика дефекта.
выторичная заживление раны и перевязка с Пронтасаном.
задная лонгета.
|
[
Ответить ]
|
Re: Остеомиелит медиальной лодыжки
Игорь Кучерявый 30 Январь 2011, 21:16
|
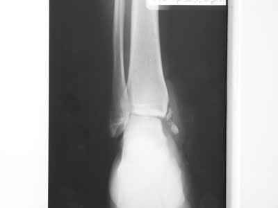
4 недели после травмы - это еще пока открытый срастающийся инфицированный перелом, а не остеомиелит. Что касается рентгенограмм - в таком разрешении трудно оценить структуру кости.
С уважением,
Кучерявый И.В.
|
[
Ответить ]
|
Re: Остеомиелит медиальной лодыжки
Отправитель: Белоконь Александр 31 Январь 2011, 18:13
|
Уважаемые коллеги! Прошу прощения за собственную невнимательность. У больной травма не 1 января 2011г., а 1 декабря 2010г., т.е. уже 2 месяца.

Прилагаю данные фистулогрфии. Основной вопрос, все же, лечить консервативно или оперативно? Если оперативно, то какой объем? А что если прийдеться резецировать всю медиальную лодыжку!?
С уважением Александр Белоконь!
|
[
Ответить ]
|
Re: Остеомиелит медиальной лодыжки
Отправитель: Александр Петрушин 31 Январь 2011, 20:38
|
Я бы прооперировал. Иссечение рубца, радикальная ХОГО, не думаю, что придется удалить всю лодыжку. Заместить покровный дефект одномоментно, думаю, будет проблематично. Вариант - VAC с последующей пластикой расщепленным лоскутом на грануляции.
|
[
Ответить ]
|
Re: Остеомиелит медиальной лодыжки
Отправитель: Исмаил Дибиров 01 Февраль 2011, 00:23
|
Края раны втянуты, если и закроется, с грубой рубцовой деформацией. Иссечь края и вести открыто" в окошке гипсового сапожка". Для сближения краев может стопу в варус?
|
[
Ответить ]
|
Re: Остеомиелит медиальной лодыжки
Отправитель: травматолог 01 Февраль 2011, 14:52
|
на сутки ногу вверх для спадения отёка ,гипсовый сапожок с окном и стременем для ходьбы, перевязки - так был купирован остеомиелит дистального метафиза бб кости и тарана с исходом в костный анкилоз.
|
[
Ответить ]
|
|
Re: Остеомиелит медиальной лодыжки
Дедок Михаил 01 Февраль 2011, 00:01
|
В конце концов- для нижней конечности главное- опора. Проверьте рентгеноскопически- лодыжка приросла или нет. Если приросла- слава богу,- Попробуйте VAC и продлить иммобилизацию на месяц (для гарантии). Глядишь все стихнет. Если не срослась то VAC + я бы загнал во внутреннюю лодыжку спейсер с ванкомицином (считай остеосинтез, только нестандатный) под контролем ЭОП. Почему бы и нет?
Если убирать всю лодыжку- то следующий этап будет артродез, сустав будет нестабилен.
Даже если ничего не делать, а просто ждать (но в циркулярном гипсе с окном) все равно срастется, хотя свищ, а скорее всего хроническая остеомилиетическая язва может остаться.
Ветераны Великой Отечественной и не с такими жили (некоторые, дай Бог им здоровья и долголетия еще живут) и ничего.......
Удачи!
|
[
Ответить ]
|
Re: Остеомиелит медиальной лодыжки
Сергей Шакола 01 Февраль 2011, 13:51
|
Уважаемый Александр!
Исходя из представленного анамнеза и фото я бы в данном случае выполнил ( по возможности ) допплерографию сосудов нижних конечностей для оценки характера кровотока , вторичную хирургическую обработку , санацию остеомиелитического очага. После операции образуется дефект мягких тканей в дне которого будет находиться жизнеспособная кость. Дальнейшая тактика закрытия раны зависит от Ваших возможностей , соматического статуса и желания пациента.Вы можете прибегнуть к вариантам закрытия несвободными и свободными лоскутами, дерматомной аутопластике или вторичному заживлению раны.
|
[
Ответить ]
|
Re: Остеомиелит медиальной лодыжки
Дмитрий Бондарь 01 Февраль 2011, 23:17
|
Приветствую,коллеги! помнится года два назад на Форуме проходило сообщение о тотальном посттравматическом дефекте внутренней лодыжки. Было указано, что по лит. данным наблюдалось 4 подобных случая. Во всех случаях проблем с голеностопом не отмечалось.
С уважением Д.Б.
|
[
Ответить ]
|
Re: Остеомиелит медиальной лодыжки
Отправитель: Леонид Пак 03 Февраль 2011, 10:35
|
Совершенно верно был такой Пациент парень 29 лет. Только не 2 года а 4 года назад. Лечение растянулось на 2 этапа. На момент сообщения наложил окончатую гипсовую повязку, мазевые повязки, грануляции, закрыл свободной кожной пластикой. Через 2 месяца рана закрылась рубцом, гипс снял отправил на ЛФК. В течение года появлялся дважды - все ОК, нестабильности в суставе не было. Пациент работник УВД - его даже не комисовали. Обратился через 2 года после повторной травмы (опять мотоцикл) - открылся свищ в области медиальной лодыжки. Проведена операция - санация, рубец иссечен, пластика суральным лоскутом - состоятельная. Аппарат Илизарова на 2 месяца. Аппарат демонтировали опять ЛФК - Нестабильности в суставе нет, до сих пор трудится в органах... Опять подумывает о покупке мотоцикла.

К сожалению снимки нашел только после пластики. Р-гр где-то утерял посмотрю не работе.
С уважением Леонид Пак
|
[
Ответить ]
|
Re: Остеомиелит медиальной лодыжки
Отправитель: Леонид Пак 03 Февраль 2011, 10:55
|

Нашел в архиве форума снимки от 2007 года. Классная штука интернет! Александру Николаевичу отдельное спасибо!
С уважением Леонид Пак
|
[
Ответить ]
|
|
Re: Остеомиелит медиальной лодыжки
Белоконь Александр 03 Февраль 2011, 01:55
|
Благодарю всех, кто принял участие в обсуждении данной проблемы. Буду рад услышать мнение других коллег, кто сталкивался с чем-то подобным. В настоящее время больная проходит курс антибиотикотерапии (цефтриаксон и амикацин + перевязки). По окончании его и при отсутствии положительной динамики планирую оперативное лечение: иссечение свища, удаление некротизированных тканей. Закрытие раны планирую рещить интраоперационно. Результаты сообщу.
|
[
Ответить ]
|
Re: Остеомиелит медиальной лодыжки
Отправитель: Evgueny 03 Февраль 2011, 23:07
|
Уважаемый Александр,
Лечение остеомиелита начинается с хирургической обработки очага инфекции с последующим курсом АБ, продолжительность которого определяется течением
раневого процесса и лаб. контролем СОЭ и С-протеина.
Системное лечение антибиотиками без обработки очага бесполезно - АБ не проникают через пиогенную оболочку, соответственно нет воздействия на бактерии.
Успехов,
Евгений Чекашкин
|
[
Ответить ]
|
Re: Остеомиелит медиальной лодыжки
Отправитель: Дмитрий Бондарь 04 Февраль 2011, 22:59
|
А где смысл системной антибиотикотерапии без санации очага? И когда,руководствуясь чем, Вы планируете его закончить? АКСИОМА : без качественного дебридмента - нет санации, хоть мумиём его кормите, хоть тиенамом. не будет толку.
С уважением Д.Б.
|
[
Ответить ]
|
|
( Ответить )
|
|