AOTRAUMA.ORG Центр Илизарова  

Ортопедия и травматология Общие вопросы/General questions Help Информационные технологии в медицине
 вверх
 отправить
 поиск
 админ
 главная


перелом бедра
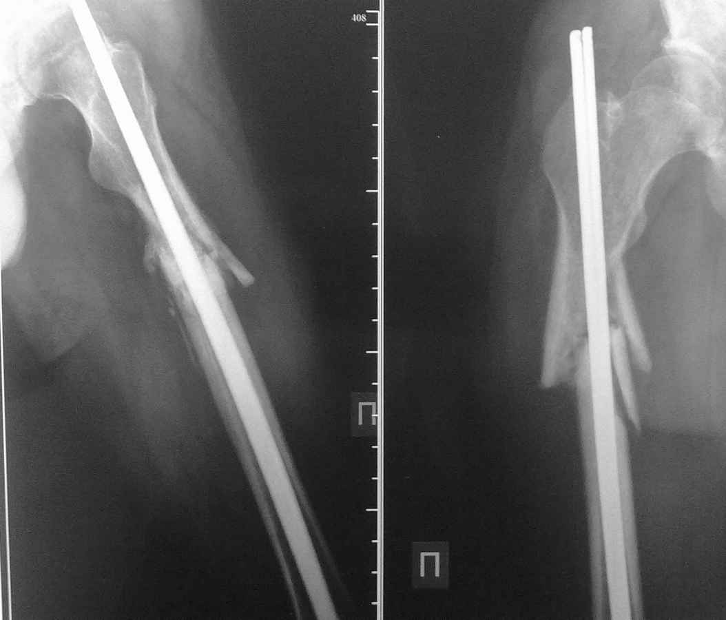
Ортопедия и травматология Отправлено romanxray 17 Февраль 2011, 12:42 ЧГБ
у пациента 24 лет после перелома бедра в ноябре 10г. и остеосинтеза двумя титановыми стержнями наступило вторичное смещение отломков и миграция стержней, укорочение 5 см
посылаю Рг-граммы и прошу Вашего мнения по тактике дальнейшего лечения, имеются расхождения во мнениях...с уважением, Роман

<  |  >

 

  • Сообщения о Ортопедия и травматология
  • Также romanxray
  • Связаться с автором
  • Ответить

    Re: перелом бедра
    Михаил 18 Февраль 2011, 01:54
    На мой взгляд: Удаление стержней. Внеочаговый монолокальный дистракционный остеосинтез стержневым аппаратом.
    [ Ответить ]

    Re: перелом бедра
    Artur 18 Февраль 2011, 02:43
    если отсутствует признаки воспаления то: удаление этих (похоже Кюнчера) штифтов, попытка дистракции интраоперационно на столе и реостеосинтез чем-то блокированным типа гамма -штифта; если есть желание удлинить ногу то можно разнести на этапы: удаление, АВФ, дистракция, штифт.
    Желаю удачи!!!!

    [ Ответить ]

    Re: перелом бедра
    Александр Кутков 18 Февраль 2011, 02:51
    Прошу прощения, никогда не склонен был к сорказму, но всё имеет определённые границы. "Зачем затратились на такие дорогие стержни. Поставили бы какую нибудь блокированную дешовку и на этом все проблемы закончились, а так придётся повозится".Что порекомендовать в данной ситуации, даже не знаю, выдайте последние снимки.
    [ Ответить ]

    Re: перелом бедра
    Александр Кутков 18 Февраль 2011, 03:13
    Вобщето больше похоже на два толстых стержня Б огданова, но эфект телескопии на лицо. Я понимаю, что можно ссылаться на недостаточность финансирования, и скорее всего так и есть на самом деле, ещё на , что угодно, если больной не состоятельный, и не адекватный наверное его не надо показывать в ортофоруме. Потому, что всего этого можгоизбежать на начальном этапе. И отвечаю, что при нормальном обьяснении ситуации 95% больных отыскивают средства, для того чтобы не попадать в подобную ситуацию. В бюольшей мсере всё зависит от лечащего врача. Спасибо.
    [ Ответить ]

    Re: перелом бедра
    romanxray 18 Февраль 2011, 14:33
    длинной гаммы нет, как насчет Г-образной длинной пластины - реостеосинтез, возможно с костной пластикой?
    [ Ответить ]

    • Re: перелом бедра
      Отправитель: Михаил 18 Февраль 2011, 19:02
      Тогда уж лучше аппарат, а то отломки обдерете, осколки выкинете- вообще не срастется.

      [ Ответить ]
    Re: перелом бедра
    Иван Куликов 18 Февраль 2011, 19:30
    Здравствуйте Роман. Вы знаете сидел и думал как можно назвать проделанный синтез двумя стержнями. и ничего в голову не приходит как-- мне бы в моей клинике руки оторвали за такое::))) ну да бог с ним, что делать на данный момент. лучше всего использовать конечно блокируемый гвоздь не важно чьего производства когда имеются действительно серьезные материальные проблемы. переходить с внутреннего синтеза на накостный не рекомендуют, но если вариантов имплантов нет то делайте, данный вид остеосинтеза никто не отменял и были положительные результатов ( до того как космические корабли (gamma2-3-7-10::)) pfn, pfna, chm и др)начали бороздить костно-мозговой канал)конечно костная пластика не будет лишней. а с длинной разберетесь после сращения в отсроченном порядке если будет необходимость, да и если это укорочение останется после репозиции... с ув. Иван.
    Но синтез стержнями реально прикольный::)) Извените.
    [ Ответить ]

    Re: перелом бедра
    Станислав Дмитриев 18 Февраль 2011, 21:09
    Уважаемый Роман! Если бы у меня был ЭОП, я бы не удаляя стержней(могу ошибаться, но мне кажется - это титановые прямоугольные стержни типа Зверева-Ключевского(производства г.Рыбинск) - наложил бы дистрактор, по типу того, как делает А.Н. Челноков. Восстановил бы длину сегмента, а затем бы перештифтовал "нормальным" стержнем, не обязательно гамма. Естественно с исправлением оси. 2,5 - 3 месяца не срок, тем более, что на снимке признаков мозоли не видно.
    Удачи!
    [ Ответить ]

    • Re: перелом бедра
      Отправитель: Ярославская травматология 19 Февраль 2011, 19:28
      Не "Зверева-Ключевского(производства г.Рыбинск)", а Ключевского-Зверева(производства г.Рыбинск). Стержни похожи на наши, но технология нет. Т.к. нет радиусного искривления гвоздя, выведения плоского стержня через большой вертел (по Звереву), да и не помешал бы серкляж. В данном наблюдении все сделано как говорится "гвоздь в кость". А с тактикой согласен полностью

      [ Ответить ]
    Re: перелом бедра
    Иван 19 Февраль 2011, 01:12
    Добрый вечер!Да это стержни прямоугольного сечения, "почти" Ярославский МОС-бюджетный вариант. скажите а как быстро больной дал осевую нагрузку? почему произошло смещение?
    [ Ответить ]

    Re: перелом бедра
    Юрий Алексеевич Булахтин 19 Февраль 2011, 05:08
    Уважаемый Роман!

    По моему мнению, Вам необходимо осознать, как говорят в Одессе, "две большие разницы" - правильно сделанный металлоостеосинтез морально устаревшей конструкцией является, в условиях ограниченного медснабжения, паллиативом не подлежащим наказанию при возникновении заложенных в методику осложнений. "Творчество" за рамками официальных установок, как вариант реализации в операционной идей гаражной ортопедии чревато уголовной ответственностью. То есть, если Вы, при разборе осложнений, не сможете указать на источник, где рекомендован остеосинтез бедра двумя не подходяшщими для этого по диаметру стержнями - будут проблемы.
    В отношении данного конкретного случая, согласен с теми, кто советует не спешить - не удаляя стержни восстановите длину сегмента любым доступным способом, исходя из Ваших возможностей и готовности пациента к сотрудничеству. Если он не дисциплинированный - можно обойтись скелетным вытяжением, а если социально адаптирован, то каким либо внешним аппаратом. Но потом обязательно кокситная повязка, так как она непременный этап такого остеосинтеза.

    С наилучшими пожеланиями,
    Юрий Алексеевич Булахтин
    Камчатский Военно-морской госпиталь
    [ Ответить ]

    Re: перелом бедра
    Николов Олег 19 Февраль 2011, 20:33
    Вот для таких пациентов у нас б/ушные штифты в помойку и не идут. Асоциальный элемент порой в них нуждается. Вот только если пациента забеспокоило укорочение конечности, то может он и не асоциален? Тогда откуда такой синтез? А какие интересно были у Вас расхождения по дальнейшей тактике?
    [ Ответить ]

    Re: перелом бедра
    Александр Артемьев 21 Февраль 2011, 02:22
    Здравствуйте.
    А в чём сейчас проблема? Сделали, как смогли, понятно. Перелом срастается. Укорочение никак не 5 см, гораздо меньше. Да вы его и не измеряли как положено. Клинически - не в зачет - больной ни ходить ни стоять не может правильно. Если сразу так сделали, то переделывать совсем туго будет. Пусть срастется, через полгодика удалите стержни, пусть походит, насладиться свободой... А дальше - если будут жалобы, то давайте обсудим. Но это будет уже другая история.
    [ Ответить ]

    Re: перелом бедра
    Ибрагимов 22 Февраль 2011, 14:13
    Добрый День!
    Оставить пациента в покое. Перелом срастается.А через год решить вопрос о коррекции укорочения(приблизительно 2-3см.)-если возникнет необходимость.
    [ Ответить ]


    ( Ответить )

    Powered by Zope  Squishdot Powered MedLink
    Посетитель: 0005793
      "По форме правильно, а по существу - издевательство" В.И.Ленин
    ©2001-2019Orthoforum Coordinator.
    [ Главная | Отправить сообщение | Поиск | Админ ]