AOTRAUMA.ORG Центр Илизарова  

Ортопедия и травматология Общие вопросы/General questions Help Информационные технологии в медицине
 ВХОД ДЛЯ ПАЦИЕНТОВ
 вверх
 поиск
 админ
 главная


Перелом бедра
Ортопедия и травматология Прислано Миронов Андрей 19 Февраль 2011, 12:40
из
Добрый день уважаемые коллеги. Неделю назад поступил пациент после ДТП. В тяжелом состоянии.
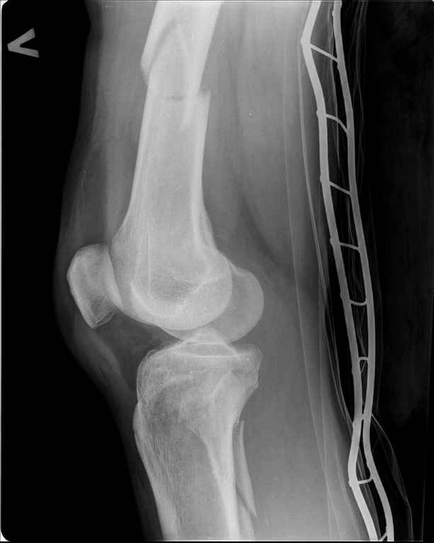
Ds: ТСТ. ЗЧМТ. СГМ. ЗТГК. О/фрагментарный перелом левого бедра. З/оскольчатый перелом с\3 левого плеча. Перелом левого локтевого отростка. З/перелом наружного мыщелка б/берцовой кости в/3 м/берцовой кости левой голени. при поступлении, ПХО раны левого бедра( рана 1х1см по наружной поверхности бедра в с/3) налажено скелетное вытяжение , и гипсовая лонгета на левую в/конечность. Находился в реанимации. 17.02.11 был прооперирован: БИОС левого плеча, о/синтез левого локтевого отростка по Веберу, БИОС левого бедра (длинная версия Fi-Can Sanatmetal диаметр 10мм), мыщелок голени трогать не стали. при остеосинтезе бедра возникли трудности при закрытй репозиции перелома в н/3, в связи с чем решили открыться внизу , отрепонировали без особого труда и выполнили блокирование во фронтальной плоскости 3-мя винтами + 1 винт спереди гвоздя (промазал). Убрал костодержатель, все нормально, контроль ЭОПом стояние отломков нормальное, зашились. На контрольной R-мме на утро выявлено вторичное смещение дистального отломка. Левая нога по сравнению со здоровой удлиннена до 2,5см( это за счет вальгусной установки гвоздя в проксимальном отделе, боялся свалиться на варус). Теперь думаем как поправить положение отломков в н/3, и зафиксировать так чтобы не съехало. Наше предложение расшиться в н/3 бедра, разблокироваться, перелом отрепонировать вновь и установить 1или 2отклоняющих винта в сагитальной плоскости, затем заблокироваться во фронтальной плоскости снова. Помогите советом, как выйти достойно из сложившейся ситуации. Заранее спасибо.

Послать ответ

Имя
Email
Уведомление Сообщить мне по e-mail об ответах на это сообщение
Название
Комментарий
(Проверьте URL! Не забудьте написать http://!)
Кодировка
Если не знаете, что выбрать, выберите "Просто текст"!
Приложение
Можно приложить к сообщению файл c изображением, который затем будет доступен увидевшим сообщение.
Подготовка иллюстраций:
  • Рентгенограммы: черно-белые полутоновые изображения в формате JPEG (8 bit, greyscale) с разрешением от 300х200 до 1024х768 пикселов;
  • Клинические фотографии: полноцветные изображения в формате JPEG (24 bit, truecolor) с разрешением от 300х200 до 1024х768 пикселов;
  • Схемы и рисунки: черно-белые (2 bit) штриховые (line-art) изображения в формате GIF или compressed TIFF
  • Подберите степень сжатия файла JPEG и размер изображения таким образом, чтобы необходимые детали были различимы, но размер файла не превышал 75 кб.
  • Учтите, что текущая версия программного обеспечения Форума позволяет приложить к одному сообщению лишь один файл-вложение. Поэтому, если необходимо отправить несколько изображений, можно либо послать каждое как отдельное сообщение, либо в графическом редакторе объединить изображения в одно (сделать коллаж).
  • Если при подготовке изображений встречаются трудности, не стесняйтесь обратиться к координатору Форума.

  • Введите видимые символы в обратном порядке. Enter the above characters in reverse order (*Обязательно)
    В тексте сообщения можно использовать теги HTML <B> <I> <P> <A> <LI> <OL> <UL> <EM> <BR> <TT> <HR> <STRONG> <BLOCKQUOTE> <DIV .*> <DIV> <P .*>
  • Обратите внимание: Поля с жирными названиями обязательны.
  • Старайтесь отвечать в рамках обсуждаемой темы, а не начинать новые обсуждения.
  • Указывайте адекватную тему сообщения, чтобы было ясно, о чем оно.
  • Не послайте сообщений не по теме (оффтопик), раздраженных, грубых или обидных комментариев. Здесь это неуместно.
  • Powered by Zope  Squishdot Powered MedLink
    Посетитель: 0000134
      "По форме правильно, а по существу - издевательство" В.И.Ленин
    ©2001-2019Orthoforum Coordinator.
    [ Главная | Отправить сообщение | Поиск | Админ ]