AOTRAUMA.ORG Центр Илизарова  

Ортопедия и травматология Общие вопросы/General questions Help Информационные технологии в медицине
 вверх
 отправить
 поиск
 админ
 главная


перипротезный перелом
Ортопедия и травматология Отправлено Соболев Игорь 20 Февраль 2011, 12:20
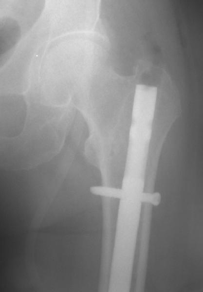
Поступила больная с перипротезным переломом
Перипротезный перелом у пациентки 67 лет . Эндопротезирование год назад . Сопутствующие нарушения ритма сердца и вес 120 кг при росте 185 .Думаю о мыщелковой пластинке с угловой стабильностью рыбинского исполнения остальное больной не потянуть . Заранее всем спасибо !

<  |  >

 

  • Сообщения о Ортопедия и травматология
  • Также Соболев Игорь
  • Связаться с автором
  • Ответить

    Re: перипротезный перелом
    Alexander Chelnokov 21 Февраль 2011, 14:12





















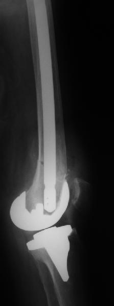
    То, что планируется - наиболее распространенный подход. Еще менее инвазивный вариант - закрытый антеградный интрамедуллярный остесинтез. Мы используем гвозди, которые выпускаются предприятием ЦИТО, т.е. недорогие. Там в дистальное отверстие можно ввести 3 винта (2 снаружи и один навстречу), еще и угловая стабильность получается.
    [ Ответить ]

    • Re: перипротезный перелом
      Отправитель: Александр 19 Апрель 2011, 19:56
      Александр Николаевич, сколько у вас таких клиентов? Каковы исходы? Только ли ЦИТОвские стержни использовали? Были ли с неправильно сросшимися переломами? У меня есть 2 клиента. Только переломы срослись у одного с вальгусом у другого с варусом. Планирую ту же схему через остеотомию.

      [ Ответить ]
      • Re: перипротезный перелом
        Отправитель: Alexander Chelnokov 20 Апрель 2011, 00:15
        сколько у вас таких клиентов? Каковы исходы?


        Больше 10 уже. Были 1 механическая неудача (сломалась очень тонкая ножка) и 1 глубокая инфекция.


        Только ли ЦИТОвские стержни использовали?


        Приходится индивидуально делать под конкретную ножку, с предпритием ЦИТО это получается за несколько дней и недорого.

        Были ли с неправильно сросшимися переломами? У меня есть 2 клиента. Только переломы срослись у одного с вальгусом у другого


        Были пока только переломы и несращения. С деформациями как-то не попадались пока.
        Нам каждый случай интересен, так что давай созвонимся-спишемся, возможно, получится что-то совместно сделать.

        [ Ответить ]
    Re: перипротезный перелом
    Ушаков Сергей 24 Февраль 2011, 11:01
    Уважаемый, Игорь! То что демонсрирует Александр Николаевич, высший пилотаж "neilinga" В нашей стране выполяется единичными спциалистами. Поэтому если не владеете методикой лучше пригласить к себе Челнокова. в случае накостного остеосинтеза, за который говорит ожирение и сопутствующая патология, не используте пластину Рыбинска. она не правильно предмоделирована и невесть из какого металла выполнена.поэтому неизвестно когда сломается при осевой нагрузке, и, кроме того,вы заведомо создадите вальгусную дефомацию, что повлечет за собой расшатывание компонентов. оптимальна в данном случае пластина "Synthes" скоминированными отверстиями. точно титан, идеально предмоделироана, винты надежно блокируются в отверстиях в отличие от Рыбинска.оперировать необходимо на спицевом дистракторе, спицы проводить перпендикулярно оси отломков. после репозиции под онтролем ЭОП чере два доступа пластину максимальной длины.дистальн заблокировать не менее 6 отверстий, проксимально-5.если нет возможности выполнить предложнные варианты, лучше пациентку перевести в отделение высшего уровня.Слишком высоки ставки. С уважением, Сергей.
    [ Ответить ]


    ( Ответить )

    Powered by Zope  Squishdot Powered MedLink
    Посетитель: 0001328
      "По форме правильно, а по существу - издевательство" В.И.Ленин
    ©2001-2019Orthoforum Coordinator.
    [ Главная | Отправить сообщение | Поиск | Админ ]