AOTRAUMA.ORG Центр Илизарова  

Ортопедия и травматология Общие вопросы/General questions Help Информационные технологии в медицине
 ВХОД ДЛЯ ПАЦИЕНТОВ
 вверх
 поиск
 админ
 главная


перелом луча, конфликтная ситуация
Ортопедия и травматология Прислано Дедок Михаил 02 Март 2011, 01:22
из МУЗ Узловская РБ
Уважаемые коллеги. Прошу обсудить случай лечения перелома дистального метаэпифиза лучевой кости. Ситуация скандальная и крайне неблагоприятная.
Больная с патологической обстоятельностью мышления, склонностью к сутяжничеству, патологическими умозаключениями, не поддающимися коррекции (см. психиатрию, правда офиц. диагноза нет).
В данном случае есть ряд ошибок с нашей стороны, прежде всего в отношении качества ведения документации (за что получил административное взыскание, по делом мне дураку). В остальном- придерживались в лечении подхода классический советской школы. Так как умную операцию…… сами знаете…
15.12- перелом луча в Москве. Там же репозиция, гипс. Дальнейшее лечение у нас в ЦРБ.
20.12.- вторичное смещение в гипсе 21.12- под внутривенным наркозом- репозиция, гипсовая лонгета.
Дальше начинается самое интересное. После репозиции больная заявила, что я (репозицию делал я) порвал ей все связки в суставе, посинел у нее 5 палец, якобы я за него тянул и т. д. На самом деле на 2 сутки после репозиции рука немного отекла и было незначительное сдавление гипсом, который был ослаблен.
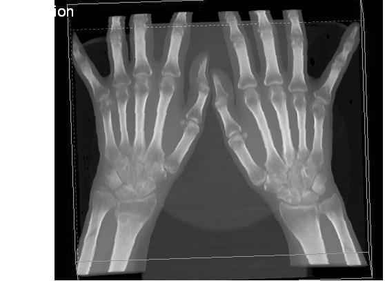
Дальнейшее лечение консервативное. Через 6 недель- гипс снят, назначено ЛФК. Пациентка крайне недовольна. Говорит, что на снимке у нее выступает кость, я ей сломал руку и.т.д. В общем началось. Пациентка прочитала в интернете наверное все, что есть по данной травме. По заключениями рентгенологов и консультанта из КДЦ областной больницы - стояние отломков допустимое. Объективно говоря- снижена высота лучевой кости, диастаз лучелоктевого сочленения, и не сросся шиловидный отросток. однако на РКТ при сравнении с другой стороной- разница незначительная.
Дальше в одной из больниц нашей области и одной из больниц Москвы (вроде бы КГБ 53) врачи сказали, что репозиция сделана плохо. Нужна операция (восстановить длину лучевой кости), даже один из них предложил РЕДРЕССАЦИЮ (хи-хи) с наложением аппарата Илизарова. Что это для данной больной- радость неописанная. (см. описание психического статуса).
Ничем другим, кроме зарабатывания дешевого авторитета объяснить данный факт не могу. Кстати, у больной еще нейропатия локтевого нерва. Для разрешения конфликта больная направлена на консультацию в ЦИТО на 03.03.11.

Теперь вопросы:
1.Прошу объективно оценить качество нашей репозиции на момент 21.12. (неужели так плохо?). Что на снимках при снятии гипса- сам вижу.
2. сравнить снимки РКТ (с двух сторон)- так ли велико укорочение лучевой кости и лучелоктевой диастаз.
3. Ваши мнения, в отношении целесообразности оперативного лечения учитывая ВСЕ вышеизложенное.
4. На всякий случай для суда- мог ли я тракцией в 2- 3 кг за 1 и 2 пальцы под внутривенным наркозом неправильно вколотить отломки и травмировать локтевой нерв.
Кстати, в США если врач пациенту говорит, что его плохо лечили- то этого врача лишают лицензии. У нас наооборот- обгадить другого милое дело. И это процветает. От себя же могу сказать, что никто в нашем отделении так не поступает. Коллеги, будьте осторожны в своих высказываниях. От осложнений и ошибок никто не застрахован.
А в данном случае многое будет зависеть от заключения консультантов поликлиники ЦИТО, куда больная направлена областным травматологом на 03.03 для решения вопроса о дальнейшей тактики лечения.
С уважением ко всему травматологическому сообществу Дедок Михаил.

Послать ответ

Имя
Email
Уведомление Сообщить мне по e-mail об ответах на это сообщение
Название
Комментарий
(Проверьте URL! Не забудьте написать http://!)
Кодировка
Если не знаете, что выбрать, выберите "Просто текст"!
Приложение
Можно приложить к сообщению файл c изображением, который затем будет доступен увидевшим сообщение.
Подготовка иллюстраций:
  • Рентгенограммы: черно-белые полутоновые изображения в формате JPEG (8 bit, greyscale) с разрешением от 300х200 до 1024х768 пикселов;
  • Клинические фотографии: полноцветные изображения в формате JPEG (24 bit, truecolor) с разрешением от 300х200 до 1024х768 пикселов;
  • Схемы и рисунки: черно-белые (2 bit) штриховые (line-art) изображения в формате GIF или compressed TIFF
  • Подберите степень сжатия файла JPEG и размер изображения таким образом, чтобы необходимые детали были различимы, но размер файла не превышал 75 кб.
  • Учтите, что текущая версия программного обеспечения Форума позволяет приложить к одному сообщению лишь один файл-вложение. Поэтому, если необходимо отправить несколько изображений, можно либо послать каждое как отдельное сообщение, либо в графическом редакторе объединить изображения в одно (сделать коллаж).
  • Если при подготовке изображений встречаются трудности, не стесняйтесь обратиться к координатору Форума.

  • Введите видимые символы в обратном порядке. Enter the above characters in reverse order (*Обязательно)
    В тексте сообщения можно использовать теги HTML <B> <I> <P> <A> <LI> <OL> <UL> <EM> <BR> <TT> <HR> <STRONG> <BLOCKQUOTE> <DIV .*> <DIV> <P .*>
  • Обратите внимание: Поля с жирными названиями обязательны.
  • Старайтесь отвечать в рамках обсуждаемой темы, а не начинать новые обсуждения.
  • Указывайте адекватную тему сообщения, чтобы было ясно, о чем оно.
  • Не послайте сообщений не по теме (оффтопик), раздраженных, грубых или обидных комментариев. Здесь это неуместно.
  • Powered by Zope  Squishdot Powered MedLink
    Посетитель: 0030340
      "По форме правильно, а по существу - издевательство" В.И.Ленин
    ©2001-2019Orthoforum Coordinator.
    [ Главная | Отправить сообщение | Поиск | Админ ]