AOTRAUMA.ORG Центр Илизарова  

Ортопедия и травматология Общие вопросы/General questions Help Информационные технологии в медицине
 вверх
 отправить
 поиск
 админ
 главная


Чрезвертельные переломы
Ортопедия и травматология Отправлено Дмитрий Бондарь 06 Март 2011, 00:35
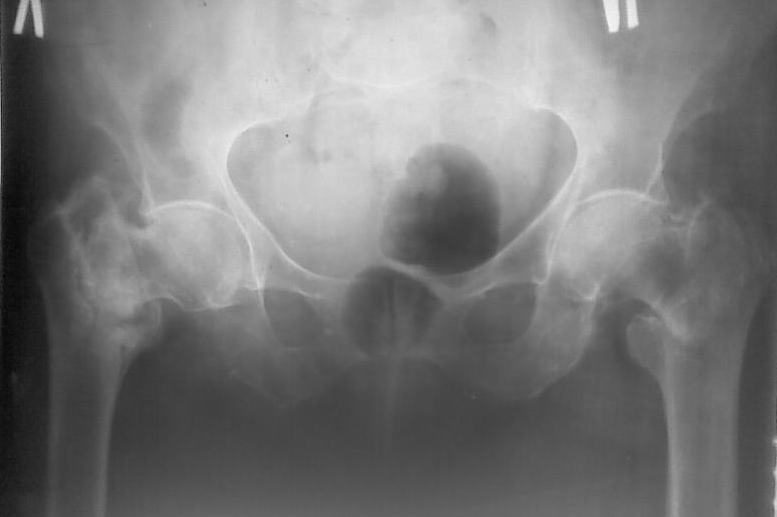
Поступила больная 80 лет, справа перелом свежий, слева - 4 летней давности.
Здравствуйте,уважаемые коллеги! Поступила больная 80 лет, справа перелом свежий, слева - нелеченный перелом 4х-летней давности. Больная проживает в частном доме, до последней травмы передвигалась с костылями, себя обслуживала.Соматически сохранна.
Помогите выбрать оптимальную тактику лечения (Гамма недоступна)
Наши варианты :
1. Справа DHS, слева - МВО, промежуток между операциями - 10 -12 суток
2. Справа DHS , слева - не трогать3. Справа DHS . слева протез Мура после скелетного вытяжения (?)
Я больше склоняюсь к третьему варианту,поскольку установка протеза позволит максимально быстро поднять больную.
С уважением Д.Б.

<  |  >

 

  • Сообщения о Ортопедия и травматология
  • Также Дмитрий Бондарь
  • Связаться с автором
  • Ответить

    Re: Чрезвертельные переломы
    Maxim Agalakov 06 Март 2011, 13:34
    Синтезируйте свежий перелом лучше Гамма (субъективно). а так - что есть, ко второму бедру лучше вернуться позже, как-то же она передвигалась это время. Скелетным вытяжением в этом возрасте вы ее скорее всего похороните (ТЭЛА, психика и т.д.)
    [ Ответить ]

    Re: Чрезвертельные переломы
    Дмитрий Бондарь 06 Март 2011, 20:31
    Скелетное вытяжение предлагал только в плане предоперационной подготовки. Гемма , как я писал недоступна (дорого. Поэтому,подумав, склоняюсь к варианту "Справа DHS , слева - не трогать"
    С уважением Д.Б.
    [ Ответить ]

    Re: Чрезвертельные переломы
    Алибек 07 Март 2011, 10:35
    Заманчиво избавить старушку от костылей.Но об этом -после операции справа.Step by step.
    [ Ответить ]

    Re: Чрезвертельные переломы
    Алибек 07 Март 2011, 10:39
    Заманчиво избавить старушку от костылей.Но об этом -после операции справа.Step by step.
    [ Ответить ]

    Re: Чрезвертельные переломы
    альберт кутявин 09 Март 2011, 17:43
    Согласен с Вами коллега при отсутствии гамма лучше вариант 2 DHS справа, слева не трогать и активизировать в послеоперационном периоде
    [ Ответить ]

    Re: Чрезвертельные переломы
    Олег Афанасьев 24 Март 2011, 02:59
    Приветствую Дмитрий!В Будапеште не было вопросов,у вас коллега чем оперировать 90 летнюю бабушку с маразмом,государство позаботилось!Как прошла операция,есть RO-гр.
    [ Ответить ]


    ( Ответить )

    Powered by Zope  Squishdot Powered MedLink
    Посетитель: 0017579
      "По форме правильно, а по существу - издевательство" В.И.Ленин
    ©2001-2019Orthoforum Coordinator.
    [ Главная | Отправить сообщение | Поиск | Админ ]